• 文献检索
  • 文档翻译
  • 深度研究
  • 学术资讯
  • Suppr Zotero 插件Zotero 插件
  • 邀请有礼
  • 套餐&价格
  • 历史记录
应用&插件
Suppr Zotero 插件Zotero 插件浏览器插件Mac 客户端Windows 客户端微信小程序
定价
高级版会员购买积分包购买API积分包
服务
文献检索文档翻译深度研究API 文档MCP 服务
关于我们
关于 Suppr公司介绍联系我们用户协议隐私条款
关注我们

Suppr 超能文献

核心技术专利:CN118964589B侵权必究
粤ICP备2023148730 号-1Suppr @ 2026

文献检索

告别复杂PubMed语法,用中文像聊天一样搜索,搜遍4000万医学文献。AI智能推荐,让科研检索更轻松。

立即免费搜索

文件翻译

保留排版,准确专业,支持PDF/Word/PPT等文件格式,支持 12+语言互译。

免费翻译文档

深度研究

AI帮你快速写综述,25分钟生成高质量综述,智能提取关键信息,辅助科研写作。

立即免费体验

肝脏巢状间质上皮肿瘤:一种治疗极其罕见恶性肿瘤的多学科方法。

Nested stromal epithelial tumor of the liver: A multidisciplinary approach to the treatment of an extremely rare malignancy.

作者信息

Mann Ryan, Kristenson Scott, Kitley Charles, Thoren Kendra

机构信息

Madigan Army Medical Center, 9040A Jackson Avenue, Tacoma WA, 98431, USA.

出版信息

Radiol Case Rep. 2020 Jun 12;15(8):1216-1220. doi: 10.1016/j.radcr.2020.05.030. eCollection 2020 Aug.

DOI:10.1016/j.radcr.2020.05.030
PMID:32566067
原文链接:https://pmc.ncbi.nlm.nih.gov/articles/PMC7299906/
Abstract

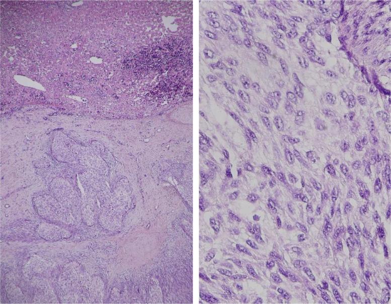
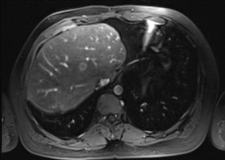
Nested stromal epithelial tumor (NSET) of the liver is an extremely rare and unusual liver neoplasm with limited evidence of best practice for management. We report a 28-year-old male with NSET managed with primary partial hepatectomy with subsequent disease recurrence with follow-up metastectomy and successful radiofrequency ablation (RFA). Management of NSET of the liver requires a multidisciplinary approach. RFA proves beneficial in a patient with disease recurrence following tumor resection. In order to validate the regular use of RFA, more long term studies would be required.

摘要

肝脏巢状间质上皮肿瘤(NSET)是一种极其罕见且不寻常的肝脏肿瘤,关于其最佳治疗方法的证据有限。我们报告了一名28岁的NSET男性患者,接受了一期部分肝切除术,随后疾病复发,进行了后续的转移灶切除术和成功的射频消融(RFA)。肝脏NSET的治疗需要多学科方法。对于肿瘤切除后疾病复发的患者,RFA被证明是有益的。为了验证RFA的常规使用,还需要更多的长期研究。

https://cdn.ncbi.nlm.nih.gov/pmc/blobs/46aa/7299906/73a044fc361d/gr6.jpg
https://cdn.ncbi.nlm.nih.gov/pmc/blobs/46aa/7299906/99b2816a3dcb/gr1.jpg
https://cdn.ncbi.nlm.nih.gov/pmc/blobs/46aa/7299906/383fb0eaac66/gr2.jpg
https://cdn.ncbi.nlm.nih.gov/pmc/blobs/46aa/7299906/347b512967a8/gr3.jpg
https://cdn.ncbi.nlm.nih.gov/pmc/blobs/46aa/7299906/4ca16beb467b/gr4.jpg
https://cdn.ncbi.nlm.nih.gov/pmc/blobs/46aa/7299906/0fa683eecedf/gr5.jpg
https://cdn.ncbi.nlm.nih.gov/pmc/blobs/46aa/7299906/73a044fc361d/gr6.jpg
https://cdn.ncbi.nlm.nih.gov/pmc/blobs/46aa/7299906/99b2816a3dcb/gr1.jpg
https://cdn.ncbi.nlm.nih.gov/pmc/blobs/46aa/7299906/383fb0eaac66/gr2.jpg
https://cdn.ncbi.nlm.nih.gov/pmc/blobs/46aa/7299906/347b512967a8/gr3.jpg
https://cdn.ncbi.nlm.nih.gov/pmc/blobs/46aa/7299906/4ca16beb467b/gr4.jpg
https://cdn.ncbi.nlm.nih.gov/pmc/blobs/46aa/7299906/0fa683eecedf/gr5.jpg
https://cdn.ncbi.nlm.nih.gov/pmc/blobs/46aa/7299906/73a044fc361d/gr6.jpg

相似文献

1
Nested stromal epithelial tumor of the liver: A multidisciplinary approach to the treatment of an extremely rare malignancy.肝脏巢状间质上皮肿瘤:一种治疗极其罕见恶性肿瘤的多学科方法。
Radiol Case Rep. 2020 Jun 12;15(8):1216-1220. doi: 10.1016/j.radcr.2020.05.030. eCollection 2020 Aug.
2
Nested stromal-epithelial tumor (NSET) of the liver: a case report of an extremely rare tumor.肝内巢状间质-上皮性肿瘤(NSET):一种极其罕见肿瘤的病例报告。
Pathol Res Pract. 2010 Apr 15;206(4):282-6. doi: 10.1016/j.prp.2009.04.012. Epub 2009 May 31.
3
Nested (ossifying) stromal epithelial tumor of the liver: case report.肝脏巢状(骨化性)间质上皮瘤:病例报告
Pediatr Dev Pathol. 2009 May-Jun;12(3):233-6. doi: 10.2350/08-03-0437.1.
4
Clinical short-term results of radiofrequency ablation in primary and secondary liver tumors.原发性和继发性肝肿瘤射频消融的临床短期结果
Am J Surg. 1999 Apr;177(4):303-6. doi: 10.1016/s0002-9610(99)00043-4.
5
Calcifying nested stromal-epithelial tumors of the liver: a clinicopathologic, immunohistochemical, and molecular genetic study of 9 cases with a long-term follow-up.肝脏钙化性巢状间质-上皮性肿瘤:9 例长期随访的临床病理、免疫组织化学和分子遗传学研究。
Am J Surg Pathol. 2009 Jul;33(7):976-83. doi: 10.1097/PAS.0b013e31819c1ab3.
6
Are liver nested stromal epithelial tumors always low aggressive?肝巢状间质上皮肿瘤是否总是低度侵袭性?
World J Gastroenterol. 2017 Dec 14;23(46):8248-8255. doi: 10.3748/wjg.v23.i46.8248.
7
Patterns of recurrence following selective intraoperative radiofrequency ablation as an adjunct to hepatic resection for colorectal liver metastases.选择性术中射频消融辅助肝切除治疗结直肠癌肝转移后的复发模式。
J Surg Oncol. 2014 Nov;110(6):734-8. doi: 10.1002/jso.23689. Epub 2014 Jun 25.
8
Liver Transplantation for Unresectable Calcifying Nested Stromal Epithelial Tumor: Case Report With a 1-Year Follow-Up and Review of Literature.不可切除的钙化性巢状间质上皮肿瘤的肝移植:病例报告及1年随访并文献复习
Front Surg. 2022 May 2;9:875782. doi: 10.3389/fsurg.2022.875782. eCollection 2022.
9
Nested stromal-epithelial tumour of the liver: An unusual liver entity.肝脏巢状间质-上皮肿瘤:一种罕见的肝脏病变。
World J Hepatol. 2014 Mar 27;6(3):155-9. doi: 10.4254/wjh.v6.i3.155.
10
Nested Stromal-epithelial Tumor of Liver with Recurrent Extrahepatic Metastasis: Role of Fluorodeoxyglucose Positron Emission Tomography/Computed Tomography.肝内巢状间质-上皮肿瘤伴肝外转移复发:氟脱氧葡萄糖正电子发射断层扫描/计算机断层扫描的作用
Indian J Nucl Med. 2017 Oct-Dec;32(4):372-373. doi: 10.4103/ijnm.IJNM_60_17.

本文引用的文献

1
Contrast-Enhanced Ultrasound of Focal Liver Lesions.肝脏局灶性病变的超声造影
AJR Am J Roentgenol. 2015 Jul;205(1):W56-66. doi: 10.2214/AJR.14.14203.
2
Nested stromal-epithelial tumour of the liver: An unusual liver entity.肝脏巢状间质-上皮肿瘤:一种罕见的肝脏病变。
World J Hepatol. 2014 Mar 27;6(3):155-9. doi: 10.4254/wjh.v6.i3.155.
3
Desmoplastic nested spindle cell tumor of the liver in an adult.成人肝脏促纤维增生性丛状梭形细胞肿瘤。
Ann Diagn Pathol. 2010 Feb;14(1):44-9. doi: 10.1016/j.anndiagpath.2009.03.009. Epub 2009 Oct 31.
4
Nested stromal-epithelial tumor (NSET) of the liver: a case report of an extremely rare tumor.肝内巢状间质-上皮性肿瘤(NSET):一种极其罕见肿瘤的病例报告。
Pathol Res Pract. 2010 Apr 15;206(4):282-6. doi: 10.1016/j.prp.2009.04.012. Epub 2009 May 31.
5
Calcifying nested stromal-epithelial tumors of the liver: a clinicopathologic, immunohistochemical, and molecular genetic study of 9 cases with a long-term follow-up.肝脏钙化性巢状间质-上皮性肿瘤:9 例长期随访的临床病理、免疫组织化学和分子遗传学研究。
Am J Surg Pathol. 2009 Jul;33(7):976-83. doi: 10.1097/PAS.0b013e31819c1ab3.
6
Nested stromal epithelial tumor of the liver: six cases of a distinctive pediatric neoplasm with frequent calcifications and association with cushing syndrome.肝脏巢状间质上皮肿瘤:6例具有频繁钙化且与库欣综合征相关的独特儿科肿瘤。
Am J Surg Pathol. 2005 Jan;29(1):10-20. doi: 10.1097/01.pas.0000147398.03015.9e.
7
Ossifying malignant mixed epithelial and stromal tumor of the liver: a case report of a previously undescribed tumor.肝脏骨化性恶性混合上皮和间质肿瘤:一例既往未描述肿瘤的病例报告
Cancer. 2002 Feb 15;94(4):1018-22.