Suppr超能文献

一名患有支气管扩张症的成人复发性肥厚性肺骨关节病

Recurrent hypertrophic pulmonary osteoarthropathy in an adult with bronchiectasis.

作者信息

Tekiteki Amelia, Good William R, Diggins Benjamin, Anderson Graeme, Wong Conroy A

机构信息

Department of Respiratory Medicine Middlemore Hospital, Counties Manukau DHB Auckland New Zealand.

Department of Medicine, Faculty of Medical and Health Sciences The University of Auckland Auckland New Zealand.

出版信息

Respirol Case Rep. 2020 Jun 23;8(6):e00602. doi: 10.1002/rcr2.602. eCollection 2020 Aug.

Abstract

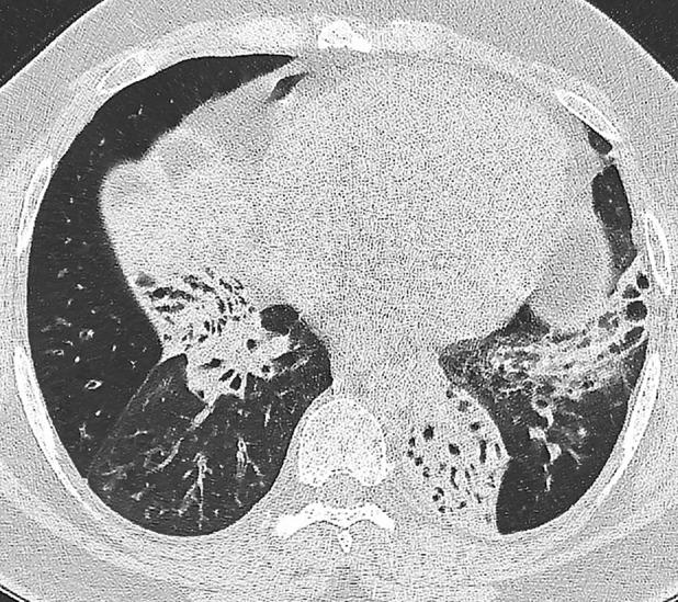
Hypertrophic pulmonary osteoarthropathy (HPOA) is a well-documented complication of pulmonary malignancy and cystic fibrosis (CF). However, HPOA associated with exacerbations of non-CF bronchiectasis has only been reported once previously in an adolescent. We describe a case of an adult patient with bronchiectasis and HPOA, whose joint symptoms flared during pulmonary exacerbations and improved with treatment of each exacerbation.

摘要

肥厚性肺骨关节病(HPOA)是一种已被充分记录的肺部恶性肿瘤和囊性纤维化(CF)的并发症。然而,与非CF支气管扩张症加重相关的HPOA此前仅在一名青少年中报道过一次。我们描述了一例患有支气管扩张症和HPOA的成年患者,其关节症状在肺部病情加重期间发作,并在每次病情加重得到治疗后有所改善。

https://cdn.ncbi.nlm.nih.gov/pmc/blobs/90a9/7308669/19a6948b690c/RCR2-8-e00602-g001.jpg

文献检索

告别复杂PubMed语法,用中文像聊天一样搜索,搜遍4000万医学文献。AI智能推荐,让科研检索更轻松。

立即免费搜索

文件翻译

保留排版,准确专业,支持PDF/Word/PPT等文件格式,支持 12+语言互译。

免费翻译文档

深度研究

AI帮你快速写综述,25分钟生成高质量综述,智能提取关键信息,辅助科研写作。

立即免费体验