• 文献检索
  • 文档翻译
  • 深度研究
  • 学术资讯
  • Suppr Zotero 插件Zotero 插件
  • 邀请有礼
  • 套餐&价格
  • 历史记录
应用&插件
Suppr Zotero 插件Zotero 插件浏览器插件Mac 客户端Windows 客户端微信小程序
定价
高级版会员购买积分包购买API积分包
服务
文献检索文档翻译深度研究API 文档MCP 服务
关于我们
关于 Suppr公司介绍联系我们用户协议隐私条款
关注我们

Suppr 超能文献

核心技术专利:CN118964589B侵权必究
粤ICP备2023148730 号-1Suppr @ 2026

文献检索

告别复杂PubMed语法,用中文像聊天一样搜索,搜遍4000万医学文献。AI智能推荐,让科研检索更轻松。

立即免费搜索

文件翻译

保留排版,准确专业,支持PDF/Word/PPT等文件格式,支持 12+语言互译。

免费翻译文档

深度研究

AI帮你快速写综述,25分钟生成高质量综述,智能提取关键信息,辅助科研写作。

立即免费体验

P2X7受体拮抗剂可使实验性溃疡性结肠炎后的回肠肌间神经元恢复。

P2X7 receptor antagonist recovers ileum myenteric neurons after experimental ulcerative colitis.

作者信息

Souza Roberta Figueiroa, Evangelinellis Mariá Munhoz, Mendes Cristina Eusébio, Righetti Marta, Lourenço Múcio Cevulla Silva, Castelucci Patricia

机构信息

Department of Anatomy, University of São Paulo, São Paulo 05508-900, Brazil.

Department of Surgery, Faculty of Veterinary Medicine and Animal Science, University of São Paulo, São Paulo 05508-900, Brazil.

出版信息

World J Gastrointest Pathophysiol. 2020 Jun 20;11(4):84-103. doi: 10.4291/wjgp.v11.i4.84.

DOI:10.4291/wjgp.v11.i4.84
PMID:32587788
原文链接:https://pmc.ncbi.nlm.nih.gov/articles/PMC7303980/
Abstract

BACKGROUND

The P2X7 receptor is expressed by enteric neurons and enteric glial cells. Studies have demonstrated that administration of a P2X7 receptor antagonist, brilliant blue G (BBG), prevents neuronal loss.

AIM

To report the effects of BBG in ileum enteric neurons immunoreactive (ir) following experimental ulcerative colitis in .

METHODS

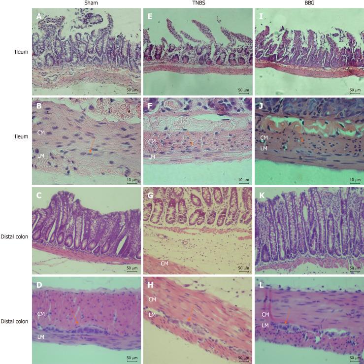
2,4,6-trinitrobenzene sulfonic acid (TNBS group, = 5) was injected into the distal colon. BBG (50 mg/kg, BBG group, = 5) or vehicle (sham group, = 5) was given subcutaneously 1 h after TNBS. The animals were euthanized after 24 h, and the ileum was removed. Immunohistochemistry was performed on the myenteric plexus to evaluate immunoreactivity for P2X7 receptor, neuronal nitric oxide synthase (nNOS), choline acetyltransferase (ChAT), HuC/D and glial fibrillary acidic protein.

RESULTS

The numbers of nNOS-, ChAT-, HuC/D-ir neurons and glial fibrillary acidic protein-ir glial cells were decreased in the TNBS group and recovered in the BBG group. The neuronal profile area (μm) demonstrated that nNOS-ir neurons decreased in the TNBS group and recovered in the BBG group. There were no differences in the profile areas of ChAT- and HuC/D-ir neurons.

CONCLUSION

Our data conclude that ileum myenteric neurons and glial cells were affected by ulcerative colitis and that treatment with BBG had a neuroprotective effect. Thus, these results demonstrate that the P2X7 receptor may be an important target in therapeutic strategies.

摘要

背景

P2X7受体由肠神经元和肠胶质细胞表达。研究表明,给予P2X7受体拮抗剂亮蓝G(BBG)可预防神经元丢失。

目的

报告BBG对实验性溃疡性结肠炎后回肠肠神经元免疫反应性(ir)的影响。

方法

将2,4,6-三硝基苯磺酸(TNBS组,n = 5)注入结肠远端。TNBS注射1小时后皮下给予BBG(50mg/kg,BBG组,n = 5)或溶剂(假手术组,n = 5)。24小时后对动物实施安乐死并取出回肠。对肌间神经丛进行免疫组织化学,以评估P2X7受体、神经元型一氧化氮合酶(nNOS)、胆碱乙酰转移酶(ChAT)、HuC/D和胶质纤维酸性蛋白的免疫反应性。

结果

TNBS组中nNOS、ChAT、HuC/D免疫反应性神经元以及胶质纤维酸性蛋白免疫反应性胶质细胞数量减少,而BBG组中恢复。神经元轮廓面积(μm)显示,TNBS组中nNOS免疫反应性神经元减少,BBG组中恢复。ChAT和HuC/D免疫反应性神经元的轮廓面积无差异。

结论

我们的数据表明,回肠肌间神经丛神经元和胶质细胞受到溃疡性结肠炎的影响,而BBG治疗具有神经保护作用。因此,这些结果表明P2X7受体可能是治疗策略中的一个重要靶点。

https://cdn.ncbi.nlm.nih.gov/pmc/blobs/fc98/7303980/27b6559af441/WJGP-11-84-g010.jpg
https://cdn.ncbi.nlm.nih.gov/pmc/blobs/fc98/7303980/b9b2ce5d596e/WJGP-11-84-g001.jpg
https://cdn.ncbi.nlm.nih.gov/pmc/blobs/fc98/7303980/ae6a646c3d84/WJGP-11-84-g002.jpg
https://cdn.ncbi.nlm.nih.gov/pmc/blobs/fc98/7303980/e696eca245eb/WJGP-11-84-g003.jpg
https://cdn.ncbi.nlm.nih.gov/pmc/blobs/fc98/7303980/4857f550a413/WJGP-11-84-g005.jpg
https://cdn.ncbi.nlm.nih.gov/pmc/blobs/fc98/7303980/c672e1cb21f9/WJGP-11-84-g007.jpg
https://cdn.ncbi.nlm.nih.gov/pmc/blobs/fc98/7303980/57a409c8a62e/WJGP-11-84-g008.jpg
https://cdn.ncbi.nlm.nih.gov/pmc/blobs/fc98/7303980/50264b9c0447/WJGP-11-84-g009.jpg
https://cdn.ncbi.nlm.nih.gov/pmc/blobs/fc98/7303980/27b6559af441/WJGP-11-84-g010.jpg
https://cdn.ncbi.nlm.nih.gov/pmc/blobs/fc98/7303980/b9b2ce5d596e/WJGP-11-84-g001.jpg
https://cdn.ncbi.nlm.nih.gov/pmc/blobs/fc98/7303980/ae6a646c3d84/WJGP-11-84-g002.jpg
https://cdn.ncbi.nlm.nih.gov/pmc/blobs/fc98/7303980/e696eca245eb/WJGP-11-84-g003.jpg
https://cdn.ncbi.nlm.nih.gov/pmc/blobs/fc98/7303980/4857f550a413/WJGP-11-84-g005.jpg
https://cdn.ncbi.nlm.nih.gov/pmc/blobs/fc98/7303980/c672e1cb21f9/WJGP-11-84-g007.jpg
https://cdn.ncbi.nlm.nih.gov/pmc/blobs/fc98/7303980/57a409c8a62e/WJGP-11-84-g008.jpg
https://cdn.ncbi.nlm.nih.gov/pmc/blobs/fc98/7303980/50264b9c0447/WJGP-11-84-g009.jpg
https://cdn.ncbi.nlm.nih.gov/pmc/blobs/fc98/7303980/27b6559af441/WJGP-11-84-g010.jpg

相似文献

1
P2X7 receptor antagonist recovers ileum myenteric neurons after experimental ulcerative colitis.P2X7受体拮抗剂可使实验性溃疡性结肠炎后的回肠肌间神经元恢复。
World J Gastrointest Pathophysiol. 2020 Jun 20;11(4):84-103. doi: 10.4291/wjgp.v11.i4.84.
2
Effects of a P2X7 receptor antagonist on myenteric neurons in the distal colon of an experimental rat model of ulcerative colitis.P2X7 受体拮抗剂对溃疡性结肠炎实验大鼠模型远端结肠肌间神经元的影响。
Histochem Cell Biol. 2022 Jan;157(1):65-81. doi: 10.1007/s00418-021-02039-z. Epub 2021 Oct 9.
3
Effects of experimental ulcerative colitis on myenteric neurons in P2X7-knockout mice.实验性溃疡性结肠炎对 P2X7 敲除小鼠肌间神经元的影响。
Histochem Cell Biol. 2023 Oct;160(4):321-339. doi: 10.1007/s00418-023-02208-2. Epub 2023 Jun 12.
4
Differential effects of experimental ulcerative colitis on P2X7 receptor expression in enteric neurons.实验性溃疡性结肠炎对肠神经元中P2X7受体表达的不同影响。
Histochem Cell Biol. 2015 Feb;143(2):171-84. doi: 10.1007/s00418-014-1270-6. Epub 2014 Sep 9.
5
Study of the roles of caspase-3 and nuclear factor kappa B in myenteric neurons in a P2X7 receptor knockout mouse model of ulcerative colitis.研究 P2X7 受体敲除溃疡性结肠炎小鼠模型中肌间神经元中半胱天冬酶-3 和核因子 κB 的作用。
World J Gastroenterol. 2023 Jun 14;29(22):3440-3468. doi: 10.3748/wjg.v29.i22.3440.
6
Blockage of the P2X7 Receptor Attenuates Harmful Changes Produced by Ischemia and Reperfusion in the Myenteric Plexus.P2X7 受体阻断减轻缺血再灌注对肌间神经丛产生的有害变化。
Dig Dis Sci. 2019 Jul;64(7):1815-1829. doi: 10.1007/s10620-019-05496-8. Epub 2019 Feb 7.
7
Effects of probenecid and brilliant blue G on rat enteric glial cells following intestinal ischemia and reperfusion.丙磺舒和亮蓝G对大鼠肠缺血再灌注后肠胶质细胞的影响。
Acta Histochem. 2023 Jan;125(1):151985. doi: 10.1016/j.acthis.2022.151985. Epub 2022 Dec 7.
8
Submucosal neurons and enteric glial cells expressing the P2X7 receptor in rat experimental colitis.大鼠实验性结肠炎中表达P2X7受体的黏膜下神经元和肠胶质细胞
Acta Histochem. 2017 Jun;119(5):481-494. doi: 10.1016/j.acthis.2017.05.001. Epub 2017 May 11.
9
Morphological Characterization of the Myenteric Plexus of the Ileum and Distal colon of Dogs Affected by Muscular Dystrophy.患有肌肉萎缩症的犬回肠和结肠远端肌间神经丛的形态学特征
Anat Rec (Hoboken). 2018 Apr;301(4):673-685. doi: 10.1002/ar.23708. Epub 2017 Nov 11.
10
Expression of the P2X₂ receptor in different classes of ileum myenteric neurons in the female obese ob/ob mouse.肥胖型 ob/ob 雌性小鼠回肠肌间神经元中 P2X₂ 受体的表达。
World J Gastroenterol. 2012 Sep 14;18(34):4693-703. doi: 10.3748/wjg.v18.i34.4693.

引用本文的文献

1
Mechanisms of enteric neuropathy in diverse contexts of gastrointestinal dysfunction.胃肠道功能障碍不同背景下的肠道神经病变机制。
Neurogastroenterol Motil. 2025 Aug;37(8):e14870. doi: 10.1111/nmo.14870. Epub 2024 Jul 22.
2
Toll-like receptor 3 signaling drives enteric glial cells against dextran sulfate sodium-induced colitis in mice.Toll 样受体 3 信号通路驱动肠胶质细胞对抗葡聚糖硫酸钠诱导的小鼠结肠炎。
J Mol Histol. 2024 Apr;55(2):201-210. doi: 10.1007/s10735-024-10184-7. Epub 2024 Feb 20.
3
Study of the roles of caspase-3 and nuclear factor kappa B in myenteric neurons in a P2X7 receptor knockout mouse model of ulcerative colitis.

本文引用的文献

1
Transient Receptor Potential Vanilloid 4 Regulation of Adenosine Triphosphate Release by the Adenosine Triphosphate Transporter Vesicular Nucleotide Transporter, a Novel Therapeutic Target for Gastrointestinal Baroreception and Chronic Inflammation.瞬时受体电位香草酸 4 通过三磷酸腺苷转运体囊泡核苷酸转运蛋白调节三磷酸腺苷释放,这是胃肠道压力感受和慢性炎症的新治疗靶点。
Digestion. 2020;101(1):6-11. doi: 10.1159/000504021. Epub 2019 Nov 26.
2
Blockage of the P2X7 Receptor Attenuates Harmful Changes Produced by Ischemia and Reperfusion in the Myenteric Plexus.P2X7 受体阻断减轻缺血再灌注对肌间神经丛产生的有害变化。
Dig Dis Sci. 2019 Jul;64(7):1815-1829. doi: 10.1007/s10620-019-05496-8. Epub 2019 Feb 7.
3
研究 P2X7 受体敲除溃疡性结肠炎小鼠模型中肌间神经元中半胱天冬酶-3 和核因子 κB 的作用。
World J Gastroenterol. 2023 Jun 14;29(22):3440-3468. doi: 10.3748/wjg.v29.i22.3440.
4
Effects of experimental ulcerative colitis on myenteric neurons in P2X7-knockout mice.实验性溃疡性结肠炎对 P2X7 敲除小鼠肌间神经元的影响。
Histochem Cell Biol. 2023 Oct;160(4):321-339. doi: 10.1007/s00418-023-02208-2. Epub 2023 Jun 12.
5
Pyroptosis and Its Role in Autoimmune Disease: A Potential Therapeutic Target.细胞焦亡及其在自身免疫性疾病中的作用:一个潜在的治疗靶点。
Front Immunol. 2022 May 25;13:841732. doi: 10.3389/fimmu.2022.841732. eCollection 2022.
6
Enteric nervous system and inflammatory bowel diseases: Correlated impacts and therapeutic approaches through the P2X7 receptor.肠神经系统与炎症性肠病:P2X7 受体相关影响及治疗方法。
World J Gastroenterol. 2021 Dec 14;27(46):7909-7924. doi: 10.3748/wjg.v27.i46.7909.
7
Understanding the Role of Purinergic P2X7 Receptors in the Gastrointestinal System: A Systematic Review.了解嘌呤能P2X7受体在胃肠道系统中的作用:一项系统综述
Front Pharmacol. 2021 Dec 20;12:786579. doi: 10.3389/fphar.2021.786579. eCollection 2021.
8
In focus in HCB.聚焦于六氯苯。
Histochem Cell Biol. 2022 Jan;157(1):1-5. doi: 10.1007/s00418-021-02064-y.
Are We Close to Targeting Enteric Glia in Gastrointestinal Diseases and Motility Disorders?
我们离针对肠道神经胶质细胞治疗胃肠道疾病和运动障碍还有多远?
Gastroenterology. 2018 Aug;155(2):245-251. doi: 10.1053/j.gastro.2018.06.050. Epub 2018 Jun 30.
4
Submucosal neurons and enteric glial cells expressing the P2X7 receptor in rat experimental colitis.大鼠实验性结肠炎中表达P2X7受体的黏膜下神经元和肠胶质细胞
Acta Histochem. 2017 Jun;119(5):481-494. doi: 10.1016/j.acthis.2017.05.001. Epub 2017 May 11.
5
P2X7 receptor promotes intestinal inflammation in chemically induced colitis and triggers death of mucosal regulatory T cells.P2X7 受体促进化学诱导结肠炎中的肠道炎症,并引发黏膜调节性 T 细胞死亡。
Biochim Biophys Acta Mol Basis Dis. 2017 Jun;1863(6):1183-1194. doi: 10.1016/j.bbadis.2017.03.004. Epub 2017 Mar 7.
6
The dual anti-inflammatory and antioxidant activities of natural honey promote cell proliferation and neural regeneration in a rat model of colitis.天然蜂蜜的双重抗炎和抗氧化活性可促进结肠炎大鼠模型中的细胞增殖和神经再生。
Acta Histochem. 2016 Jul;118(6):588-595. doi: 10.1016/j.acthis.2016.06.006. Epub 2016 Jul 1.
7
Enteric purinergic signaling: Shaping the "brain in the gut".肠道嘌呤能信号传导:塑造“肠道中的大脑”
Neuropharmacology. 2015 Aug;95:477-8. doi: 10.1016/j.neuropharm.2015.04.021. Epub 2015 May 14.
8
Genetic and pharmacological inactivation of the purinergic P2RX7 receptor dampens inflammation but increases tumor incidence in a mouse model of colitis-associated cancer.嘌呤能 P2RX7 受体的遗传和药理学失活可抑制炎症,但会增加结肠炎相关癌症小鼠模型中的肿瘤发生率。
Cancer Res. 2015 Mar 1;75(5):835-45. doi: 10.1158/0008-5472.CAN-14-1778. Epub 2015 Jan 6.
9
Involvement of the P2X7 purinergic receptor in colonic motor dysfunction associated with bowel inflammation in rats.P2X7嘌呤能受体参与大鼠肠道炎症相关的结肠运动功能障碍
PLoS One. 2014 Dec 30;9(12):e116253. doi: 10.1371/journal.pone.0116253. eCollection 2014.
10
Differential effects of experimental ulcerative colitis on P2X7 receptor expression in enteric neurons.实验性溃疡性结肠炎对肠神经元中P2X7受体表达的不同影响。
Histochem Cell Biol. 2015 Feb;143(2):171-84. doi: 10.1007/s00418-014-1270-6. Epub 2014 Sep 9.