Suppr超能文献

白细胞介素-2增强子内抗原受体反应元件的表征

Characterization of antigen receptor response elements within the interleukin-2 enhancer.

作者信息

Durand D B, Shaw J P, Bush M R, Replogle R E, Belagaje R, Crabtree G R

机构信息

Department of Pathology, Stanford University School of Medicine, California 94305.

出版信息

Mol Cell Biol. 1988 Apr;8(4):1715-24. doi: 10.1128/mcb.8.4.1715-1724.1988.

Abstract

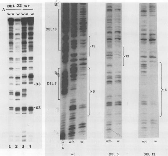
T-cell activation and induction of interleukin-2 (IL-2) expression in human T lymphocytes require both interaction of foreign antigen with the T-cell antigen receptor and protein kinase C (PKC) stimulation. Agents such as phorbol 12-myristate 13-acetate (PMA) that stimulate PKC augment the effects of antigen but are not sufficient for IL-2 activation. By analysis of deletion mutants, we identified three DNA sequences extending from -73 to -89, -217 to -255, and -263 to -279, designated IL-2 sites A, D, and E, respectively, that are required for maximal induction of IL-2 expression. One of these regions, site E, interacted with a protein (NF-IL-2E) present only in the nuclei of cells which have been stimulated. The other two sequences interacted with a protein (NF-IL-2A) that is constitutively expressed in T cells. When multiple tandem copies of either the E site or the A site were placed upstream of the gamma-fibrinogen promoter, they activated expression via this promoter in response to signals initiated at the antigen receptor but not following PMA stimulation. For this reason, we denoted them antigen receptor response elements. The uncoupling of antigen receptor and PKC requirements in these studies indicates that these signal pathways are, at least in part, distinct and integrated at the level of the gene.

摘要

人T淋巴细胞中T细胞活化及白细胞介素-2(IL-2)表达的诱导需要外来抗原与T细胞抗原受体的相互作用以及蛋白激酶C(PKC)的刺激。诸如佛波醇12-肉豆蔻酸酯13-乙酸酯(PMA)等刺激PKC的试剂可增强抗原的作用,但不足以激活IL-2。通过对缺失突变体的分析,我们鉴定出三个DNA序列,分别从-73延伸至-89、从-217延伸至-255以及从-263延伸至-279,分别命名为IL-2位点A、D和E,它们是IL-2表达最大诱导所必需的。这些区域之一,位点E,与仅存在于受刺激细胞细胞核中的一种蛋白质(NF-IL-2E)相互作用。另外两个序列与T细胞中组成性表达的一种蛋白质(NF-IL-2A)相互作用。当E位点或A位点的多个串联拷贝置于γ-纤维蛋白原启动子上游时,它们会响应抗原受体引发的信号通过该启动子激活表达,但在PMA刺激后则不会。因此,我们将它们称为抗原受体反应元件。这些研究中抗原受体和PKC需求的解偶联表明,这些信号通路至少在部分上是不同的,并且在基因水平上是整合的。

https://cdn.ncbi.nlm.nih.gov/pmc/blobs/949a/363332/6ce536645ea4/molcellb00064-0347-a.jpg

文献检索

告别复杂PubMed语法,用中文像聊天一样搜索,搜遍4000万医学文献。AI智能推荐,让科研检索更轻松。

立即免费搜索

文件翻译

保留排版,准确专业,支持PDF/Word/PPT等文件格式,支持 12+语言互译。

免费翻译文档

深度研究

AI帮你快速写综述,25分钟生成高质量综述,智能提取关键信息,辅助科研写作。

立即免费体验