Suppr超能文献

三倍频谐波产生显微镜可区分人乳腺组织活检中的恶性细胞分级。

Third Harmonic Generation microscopy distinguishes malignant cell grade in human breast tissue biopsies.

机构信息

Institute of Electronic Structure and Laser, Foundation for Research and Technology, 70013, Heraklion, Crete, Greece.

Medical School, University of Crete, 70013, Heraklion, Crete, Greece.

出版信息

Sci Rep. 2020 Jul 6;10(1):11055. doi: 10.1038/s41598-020-67857-y.

Abstract

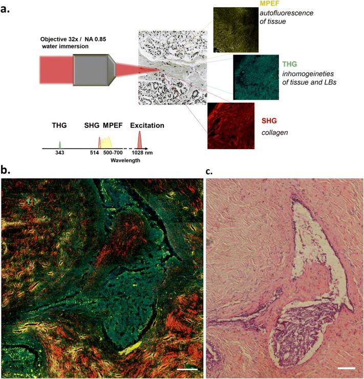
The ability to distinguish and grade malignant cells during surgical procedures in a fast, non-invasive and staining-free manner is of high importance in tumor management. To this extend, Third Harmonic Generation (THG), Second Harmonic Generation (SHG) and Fourier-Transform Infrared (FTIR) spectroscopy were applied to discriminate malignant from healthy cells in human breast tissue biopsies. Indeed, integration of non-linear processes into a single, unified microscopy platform offered complementary structural information within individual cells at the submicron level. Using a single laser beam, label-free THG imaging techniques provided important morphological information as to the mean nuclear and cytoplasmic area, cell volume and tissue intensity, which upon quantification could not only distinguish cancerous from benign breast tissues but also define disease severity. Simultaneously, collagen fibers that could be detected by SHG imaging showed a well structured continuity in benign tumor tissues, which were gradually disoriented along with disease severity. Combination of THG imaging with FTIR spectroscopy could provide a clearer distinction among the different grades of breast cancer, since FTIR analysis showed increased lipid concentrations in malignant tissues. Thus, the use of non-linear optical microscopy can be considered as powerful and harmless tool for tumor cell diagnostics even during real time surgery procedures.

摘要

在手术过程中快速、非侵入性且无需染色的方式区分和分级恶性细胞具有重要意义,这对肿瘤管理至关重要。为此,我们将三阶谐波产生(THG)、二次谐波产生(SHG)和傅里叶变换红外(FTIR)光谱应用于人类乳腺组织活检中区分恶性细胞和健康细胞。事实上,将非线性过程集成到单个统一的显微镜平台中,在亚微米水平上为单个细胞提供了互补的结构信息。使用单个激光束,无标记的 THG 成像技术提供了有关平均核和细胞质面积、细胞体积和组织强度的重要形态信息,通过定量分析,不仅可以区分癌症和良性乳腺组织,还可以定义疾病的严重程度。同时,通过 SHG 成像检测到的胶原纤维在良性肿瘤组织中表现出良好的结构连续性,随着疾病的严重程度逐渐失去方向。THG 成像与 FTIR 光谱的结合可以在不同等级的乳腺癌之间提供更清晰的区分,因为 FTIR 分析显示恶性组织中的脂质浓度增加。因此,即使在实时手术过程中,非线性光学显微镜也可以被视为一种强大且无害的肿瘤细胞诊断工具。

https://cdn.ncbi.nlm.nih.gov/pmc/blobs/db9e/7338369/1b05fa2b3981/41598_2020_67857_Fig1_HTML.jpg

文献AI研究员

20分钟写一篇综述,助力文献阅读效率提升50倍。

立即体验

用中文搜PubMed

大模型驱动的PubMed中文搜索引擎

马上搜索

文档翻译

学术文献翻译模型,支持多种主流文档格式。

立即体验