• 文献检索
  • 文档翻译
  • 深度研究
  • 学术资讯
  • Suppr Zotero 插件Zotero 插件
  • 邀请有礼
  • 套餐&价格
  • 历史记录
应用&插件
Suppr Zotero 插件Zotero 插件浏览器插件Mac 客户端Windows 客户端微信小程序
定价
高级版会员购买积分包购买API积分包
服务
文献检索文档翻译深度研究API 文档MCP 服务
关于我们
关于 Suppr公司介绍联系我们用户协议隐私条款
关注我们

Suppr 超能文献

核心技术专利:CN118964589B侵权必究
粤ICP备2023148730 号-1Suppr @ 2026

文献检索

告别复杂PubMed语法,用中文像聊天一样搜索,搜遍4000万医学文献。AI智能推荐,让科研检索更轻松。

立即免费搜索

文件翻译

保留排版,准确专业,支持PDF/Word/PPT等文件格式,支持 12+语言互译。

免费翻译文档

深度研究

AI帮你快速写综述,25分钟生成高质量综述,智能提取关键信息,辅助科研写作。

立即免费体验

术中放射引导在复发性默克尔细胞癌中的应用

Use of Intraoperative Radioguidance in Recurrent Merkel Carcinoma.

作者信息

Beniey Michèle, Destrempes Naomie, Coulombe Geneviève, El Khoury Mona, Nassif Edgard

机构信息

Department of General Surgery, Department of Surgery, Université de Montréal, Montreal, QC, Canada.

Faculty of Medicine, Université de Montréal, Montreal, QC, Canada.

出版信息

Case Rep Surg. 2020 Jun 16;2020:1789185. doi: 10.1155/2020/1789185. eCollection 2020.

DOI:10.1155/2020/1789185
PMID:32637182
原文链接:https://pmc.ncbi.nlm.nih.gov/articles/PMC7321529/
Abstract

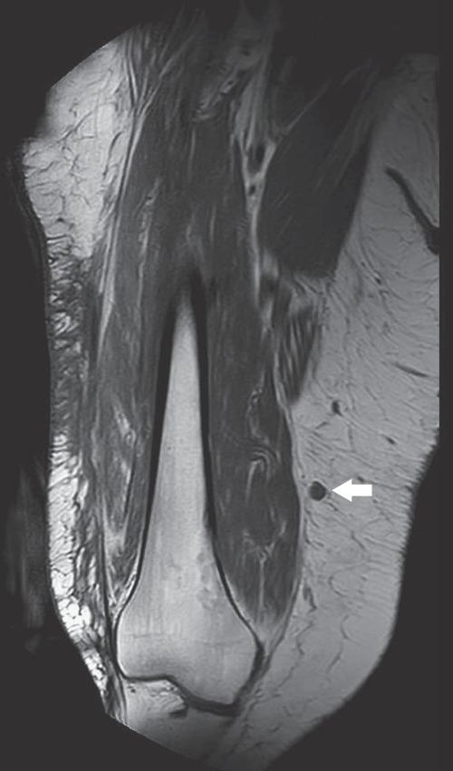
Merkel cell carcinoma is a rapidly progressive nonmelanoma skin cancer with a high risk of recurrence. When recurrence occurs, it is associated with poor prognosis and there is a lack of guidelines for the management of such cases. This article describes a challenging case in which the innovative use of iodine-125 radioactive seeds permitted us to precisely identify and resect two nonpalpable recurrent nodules. The safety and accuracy of the surgical procedure were compromised by the presence of scar tissue following two past resections and two courses of radiotherapy. Radioactive seed localization is a well-known procedure in breast cancer, demonstrating potential for an extended application in other cancer types and in complex clinical situations.

摘要

默克尔细胞癌是一种进展迅速的非黑色素瘤皮肤癌,复发风险高。当复发发生时,其预后较差,且缺乏针对此类病例的管理指南。本文描述了一个具有挑战性的病例,其中创新性地使用碘 - 125放射性粒子使我们能够精确识别并切除两个不可触及的复发性结节。由于过去两次切除和两个疗程的放疗后存在瘢痕组织,手术的安全性和准确性受到了影响。放射性粒子定位在乳腺癌中是一种广为人知的操作,显示出在其他癌症类型和复杂临床情况中扩展应用的潜力。

https://cdn.ncbi.nlm.nih.gov/pmc/blobs/9d98/7321529/80d6ca0b1076/CRIS2020-1789185.003.jpg
https://cdn.ncbi.nlm.nih.gov/pmc/blobs/9d98/7321529/930949cba570/CRIS2020-1789185.001.jpg
https://cdn.ncbi.nlm.nih.gov/pmc/blobs/9d98/7321529/e339b5685cc1/CRIS2020-1789185.002.jpg
https://cdn.ncbi.nlm.nih.gov/pmc/blobs/9d98/7321529/80d6ca0b1076/CRIS2020-1789185.003.jpg
https://cdn.ncbi.nlm.nih.gov/pmc/blobs/9d98/7321529/930949cba570/CRIS2020-1789185.001.jpg
https://cdn.ncbi.nlm.nih.gov/pmc/blobs/9d98/7321529/e339b5685cc1/CRIS2020-1789185.002.jpg
https://cdn.ncbi.nlm.nih.gov/pmc/blobs/9d98/7321529/80d6ca0b1076/CRIS2020-1789185.003.jpg

相似文献

1
Use of Intraoperative Radioguidance in Recurrent Merkel Carcinoma.术中放射引导在复发性默克尔细胞癌中的应用
Case Rep Surg. 2020 Jun 16;2020:1789185. doi: 10.1155/2020/1789185. eCollection 2020.
2
Novel Uses of Radioactive Seeds in Surgical Oncology: A Case Series.放射性粒子在外科肿瘤学中的新用途:病例系列
Cureus. 2019 Sep 20;11(9):e5706. doi: 10.7759/cureus.5706.
3
Preoperative Radioactive Seed Localization for Nonpalpable Breast Lesions: Technique, Pitfalls, and Solutions.不可触及乳腺病变的术前放射性粒子定位:技术、陷阱与解决方案
Radiographics. 2015 Sep-Oct;35(5):1319-34. doi: 10.1148/rg.2015140293. Epub 2015 Aug 14.
4
Radioactive seed localization for nonpalpable breast lesions: review of 1,000 consecutive procedures at a single institution.放射性粒子定位在触诊阴性乳腺病变中的应用:单一机构 1000 例连续病例的回顾性研究。
Ann Surg Oncol. 2011 Oct;18(11):3096-101. doi: 10.1245/s10434-011-1910-1. Epub 2011 Sep 27.
5
Preoperative Localization of Recurrence in the Thyroidectomy Bed Using a Radioactive Iodine Seed.放射性碘籽在甲状腺切除床复发灶中的术前定位。
Otolaryngol Head Neck Surg. 2018 Aug;159(2):394-397. doi: 10.1177/0194599818772049. Epub 2018 Apr 24.
6
Robot-assisted Sistrunk's operation, total thyroidectomy, and neck dissection via a transaxillary and retroauricular (TARA) approach in papillary carcinoma arising in thyroglossal duct cyst and thyroid gland.经腋后(TARA)入路机器人辅助施行 Sistrunk 手术、甲状腺全切除术和颈淋巴结清扫术治疗甲状舌管囊肿和甲状腺起源的乳头状癌
Ann Surg Oncol. 2012 Dec;19(13):4259-61. doi: 10.1245/s10434-012-2674-y. Epub 2012 Oct 16.
7
Intraoperative 3D Navigation for Single or Multiple 125I-Seed Localization in Breast-Preserving Cancer Surgery.保乳癌手术中用于单个或多个¹²⁵I粒子定位的术中三维导航
Clin Nucl Med. 2016 May;41(5):e216-20. doi: 10.1097/RLU.0000000000001081.
8
Preoperative radioactive seed localization of nonpalpable soft tissue masses: an established localization technique with a new application.术前对不可触及的软组织肿块进行放射性粒子定位:一种具有新应用的既定定位技术。
Skeletal Radiol. 2017 Feb;46(2):209-216. doi: 10.1007/s00256-016-2529-x. Epub 2016 Nov 24.
9
Radioguidance for nonpalpable primary lesions and sentinel lymph node(s).不可触及的原发性病变及前哨淋巴结的放射性引导
Am J Surg. 2001 Oct;182(4):404-6. doi: 10.1016/s0002-9610(01)00716-4.
10
Complete remission of Merkel cell carcinoma on the upper lip treated with radiation monotherapy and a literature review of Japanese cases.放射单药治疗上唇默克尔细胞癌完全缓解及日本病例文献综述
World J Surg Oncol. 2015 Apr 17;13:152. doi: 10.1186/s12957-015-0564-z.

本文引用的文献

1
Evaluation of fluorescence-guided surgery agents in a murine model of soft tissue fibrosarcoma.在软组织纤维肉瘤小鼠模型中对荧光引导手术试剂的评估。
J Surg Oncol. 2018 May;117(6):1179-1187. doi: 10.1002/jso.24950. Epub 2017 Dec 28.
2
Surgical resection improves median overall survival with marginal improvement in long-term survival when compared with definitive radiotherapy in Merkel cell carcinoma: A propensity score matched analysis of the National Cancer Database.与根治性放疗相比,手术切除可改善 Merkel 细胞癌患者的中位总生存期,长期生存也有轻微改善:基于国家癌症数据库的倾向评分匹配分析。
Am J Surg. 2018 Mar;215(3):384-387. doi: 10.1016/j.amjsurg.2017.10.045. Epub 2017 Nov 11.
3
Nondestructive tissue analysis for ex vivo and in vivo cancer diagnosis using a handheld mass spectrometry system.
使用手持式质谱系统进行离体和体内癌症诊断的无损组织分析。
Sci Transl Med. 2017 Sep 6;9(406). doi: 10.1126/scitranslmed.aan3968.
4
Use of Sentinel Lymph Node Dissection After Neoadjuvant Chemotherapy in Patients with Node-Positive Breast Cancer at Diagnosis: Practice Patterns of American Society of Breast Surgeons Members.新辅助化疗后诊断为淋巴结阳性乳腺癌患者使用前哨淋巴结清扫术:美国乳腺外科学会成员的实践模式。
Ann Surg Oncol. 2017 Oct;24(10):2925-2934. doi: 10.1245/s10434-017-5958-4. Epub 2017 Aug 1.
5
Computer navigation-assisted surgery for musculoskeletal tumors: a closer look into the learning curve.计算机导航辅助下的肌肉骨骼肿瘤手术:深入探究学习曲线
Eur J Orthop Surg Traumatol. 2017 Aug;27(6):851-858. doi: 10.1007/s00590-017-2004-y. Epub 2017 Jun 24.
6
Intraoperative optical coherence tomography for soft tissue sarcoma differentiation and margin identification.术中光学相干断层扫描用于软组织肉瘤的鉴别及切缘识别。
Lasers Surg Med. 2017 Mar;49(3):240-248. doi: 10.1002/lsm.22633. Epub 2017 Mar 20.
7
Preoperative radioactive seed localization of nonpalpable soft tissue masses: an established localization technique with a new application.术前对不可触及的软组织肿块进行放射性粒子定位:一种具有新应用的既定定位技术。
Skeletal Radiol. 2017 Feb;46(2):209-216. doi: 10.1007/s00256-016-2529-x. Epub 2016 Nov 24.
8
Radioactive seed localization for excision of non-palpable in-transit metastatic melanoma.放射性粒子定位用于不可触及的途中转移性黑色素瘤的切除
Radiol Case Rep. 2015 Nov 6;1(2):54-7. doi: 10.2484/rcr.v1i2.8. eCollection 2006.
9
Improved Axillary Evaluation Following Neoadjuvant Therapy for Patients With Node-Positive Breast Cancer Using Selective Evaluation of Clipped Nodes: Implementation of Targeted Axillary Dissection.使用夹闭淋巴结的选择性评估对淋巴结阳性乳腺癌患者新辅助治疗后腋窝评估进行改进:靶向腋窝清扫的实施
J Clin Oncol. 2016 Apr 1;34(10):1072-8. doi: 10.1200/JCO.2015.64.0094. Epub 2016 Jan 25.
10
Radio-guided occult lesion localisation using iodine 125 Seeds "ROLLIS" to guide surgical removal of an impalpable posterior chest wall melanoma metastasis.使用碘125种子“ROLLIS”进行放射性引导隐匿性病变定位,以指导手术切除不可触及的后胸壁黑色素瘤转移灶。
J Med Radiat Sci. 2015 Sep;62(3):230-3. doi: 10.1002/jmrs.125. Epub 2015 Sep 3.