• 文献检索
  • 文档翻译
  • 深度研究
  • 学术资讯
  • Suppr Zotero 插件Zotero 插件
  • 邀请有礼
  • 套餐&价格
  • 历史记录
应用&插件
Suppr Zotero 插件Zotero 插件浏览器插件Mac 客户端Windows 客户端微信小程序
定价
高级版会员购买积分包购买API积分包
服务
文献检索文档翻译深度研究API 文档MCP 服务
关于我们
关于 Suppr公司介绍联系我们用户协议隐私条款
关注我们

Suppr 超能文献

核心技术专利:CN118964589B侵权必究
粤ICP备2023148730 号-1Suppr @ 2026

文献检索

告别复杂PubMed语法,用中文像聊天一样搜索,搜遍4000万医学文献。AI智能推荐,让科研检索更轻松。

立即免费搜索

文件翻译

保留排版,准确专业,支持PDF/Word/PPT等文件格式,支持 12+语言互译。

免费翻译文档

深度研究

AI帮你快速写综述,25分钟生成高质量综述,智能提取关键信息,辅助科研写作。

立即免费体验

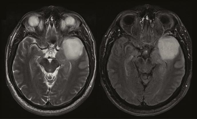
用于无创检测异柠檬酸脱氢酶(IDH)突变的1p/19q非共缺失型胶质瘤的T2/液体衰减反转恢复序列(FLAIR)不匹配征象:有效性及病理生理学

T2/FLAIR-mismatch sign for noninvasive detection of IDH-mutant 1p/19q non-codeleted gliomas: validity and pathophysiology.

作者信息

Foltyn Martha, Nieto Taborda Karen Natalia, Neuberger Ulf, Brugnara Gianluca, Reinhardt Annekathrin, Stichel Damian, Heiland Sabine, Herold-Mende Christel, Unterberg Andreas, Debus Jürgen, von Deimling Andreas, Wick Wolfgang, Bendszus Martin, Kickingereder Philipp

机构信息

Department of Neuroradiology, University of Heidelberg Medical Center, Heidelberg, Germany.

Department of Neuropathology, University of Heidelberg Medical Center, Heidelberg, Germany.

出版信息

Neurooncol Adv. 2020 Jan 10;2(1):vdaa004. doi: 10.1093/noajnl/vdaa004. eCollection 2020 Jan-Dec.

DOI:10.1093/noajnl/vdaa004
PMID:32642675
原文链接:https://pmc.ncbi.nlm.nih.gov/articles/PMC7212872/
Abstract

BACKGROUND

This study aimed to assess the validity and pathophysiology of the T2/FLAIR-mismatch sign for noninvasive identification of isocitrate dehydrogenase (IDH)-mutant 1p/19q non-codeleted glioma.

METHODS

Magnetic resonance imaging scans from 408 consecutive patients with newly diagnosed glioma (113 lower-grade gliomas and 295 glioblastomas) were evaluated for the presence of T2/FLAIR-mismatch sign by 2 independent reviewers. Sensitivity, specificity, accuracy, positive predictive value (PPV), and negative predictive value (NPV) were calculated to assess the performance of the T2/FLAIR-mismatch sign for identifying IDH-mutant 1p/19q non-codeleted tumors. An exploratory analysis of differences in contrast-enhancing tumor volumes, apparent diffusion coefficient (ADC) values, and relative cerebral blood volume (rCBV) values in IDH-mutant gliomas with versus without the presence of a T2/FLAIR-mismatch sign (as well as analysis of spatial differences within tumors with the presence of a T2/FLAIR-mismatch sign) was performed.

RESULTS

The T2/FLAIR-mismatch sign was present in 12 cases with lower-grade glioma (10.6%), all of them being IDH-mutant 1p/19q non-codeleted tumors (sensitivity = 10.9%, specificity = 100%, PPV = 100%, NPV = 3.0%, accuracy = 13.3%). There was a substantial interrater agreement to identify the T2/FLAIR-mismatch sign (Cohen's kappa = 0.75 [95% CI, 0.57-0.93]). The T2/FLAIR-mismatch sign was not identified in any other molecular subgroup, including IDH-mutant glioblastoma cases ( = 5). IDH-mutant gliomas with a T2/FLAIR-mismatch sign showed significantly higher ADC ( < .0001) and lower rCBV values ( = .0123) as compared to IDH-mutant gliomas without a T2/FLAIR-mismatch sign. Moreover, in IDH-mutant gliomas with T2/FLAIR-mismatch sign the ADC values were significantly lower in the FLAIR-hyperintense rim as compared to the FLAIR-hypointense core of the tumor ( = .0005).

CONCLUSIONS

This study confirms the high specificity of the T2/FLAIR-mismatch sign for noninvasive identification of IDH-mutant 1p/19q non-codeleted gliomas; however, sensitivity is low and applicability is limited to lower-grade gliomas. Whether the higher ADC and lower rCBV values in IDH-mutant gliomas with a T2/FLAIR-mismatch sign (as compared to those without) translate into a measurable prognostic effect requires investigation in future studies. Moreover, spatial differences in ADC values between the core and rim of tumors with a T2/FLAIR-mismatch sign potentially reflect specific distinctions in tumor cellularity and microenvironment.

摘要

背景

本研究旨在评估T2/液体衰减反转恢复序列(FLAIR)不匹配征对无创识别异柠檬酸脱氢酶(IDH)突变型1p/19q非共缺失型胶质瘤的有效性及病理生理学特征。

方法

由2名独立的评估者对408例新诊断胶质瘤患者(113例低级别胶质瘤和295例胶质母细胞瘤)的磁共振成像扫描进行评估,以确定是否存在T2/FLAIR不匹配征。计算敏感性、特异性、准确性、阳性预测值(PPV)和阴性预测值(NPV),以评估T2/FLAIR不匹配征对识别IDH突变型1p/19q非共缺失型肿瘤的性能。对有和无T2/FLAIR不匹配征的IDH突变型胶质瘤的强化肿瘤体积、表观扩散系数(ADC)值和相对脑血容量(rCBV)值的差异进行探索性分析(以及对存在T2/FLAIR不匹配征的肿瘤内的空间差异进行分析)。

结果

12例低级别胶质瘤(10.6%)存在T2/FLAIR不匹配征,所有这些病例均为IDH突变型1p/19q非共缺失型肿瘤(敏感性=10.9%,特异性=100%,PPV=100%,NPV=3.0%,准确性=13.3%)。在识别T2/FLAIR不匹配征方面,评估者间有高度一致性(Cohen's kappa=0.75[95%CI,0.57-0.93])。在任何其他分子亚组中均未发现T2/FLAIR不匹配征,包括IDH突变型胶质母细胞瘤病例(n=5)。与无T2/FLAIR不匹配征的IDH突变型胶质瘤相比,有T2/FLAIR不匹配征的IDH突变型胶质瘤显示出显著更高的ADC值(P<0.0001)和更低的rCBV值(P=0.0123)。此外,在有T2/FLAIR不匹配征的IDH突变型胶质瘤中,与肿瘤的FLAIR低信号核心相比,FLAIR高信号边缘的ADC值显著更低(P=0.0005)。

结论

本研究证实了T2/FLAIR不匹配征对无创识别IDH突变型1p/19q非共缺失型胶质瘤具有高特异性;然而,敏感性较低且适用性仅限于低级别胶质瘤。与无T2/FLAIR不匹配征的IDH突变型胶质瘤相比,有T2/FLAIR不匹配征的IDH突变型胶质瘤中更高的ADC值和更低的rCBV值是否转化为可测量的预后效应,需要在未来的研究中进行探究。此外,有T2/FLAIR不匹配征的肿瘤核心与边缘之间ADC值的空间差异可能反映了肿瘤细胞密度和微环境的特定差异。

https://cdn.ncbi.nlm.nih.gov/pmc/blobs/ba27/7212872/e33999b59b3c/vdaa004f0005.jpg
https://cdn.ncbi.nlm.nih.gov/pmc/blobs/ba27/7212872/757f89cf1324/vdaa004f0001.jpg
https://cdn.ncbi.nlm.nih.gov/pmc/blobs/ba27/7212872/68d8795c59d2/vdaa004f0002.jpg
https://cdn.ncbi.nlm.nih.gov/pmc/blobs/ba27/7212872/bd8b3537c619/vdaa004f0003.jpg
https://cdn.ncbi.nlm.nih.gov/pmc/blobs/ba27/7212872/29678abf9fc6/vdaa004f0004.jpg
https://cdn.ncbi.nlm.nih.gov/pmc/blobs/ba27/7212872/e33999b59b3c/vdaa004f0005.jpg
https://cdn.ncbi.nlm.nih.gov/pmc/blobs/ba27/7212872/757f89cf1324/vdaa004f0001.jpg
https://cdn.ncbi.nlm.nih.gov/pmc/blobs/ba27/7212872/68d8795c59d2/vdaa004f0002.jpg
https://cdn.ncbi.nlm.nih.gov/pmc/blobs/ba27/7212872/bd8b3537c619/vdaa004f0003.jpg
https://cdn.ncbi.nlm.nih.gov/pmc/blobs/ba27/7212872/29678abf9fc6/vdaa004f0004.jpg
https://cdn.ncbi.nlm.nih.gov/pmc/blobs/ba27/7212872/e33999b59b3c/vdaa004f0005.jpg

相似文献

1
T2/FLAIR-mismatch sign for noninvasive detection of IDH-mutant 1p/19q non-codeleted gliomas: validity and pathophysiology.用于无创检测异柠檬酸脱氢酶(IDH)突变的1p/19q非共缺失型胶质瘤的T2/液体衰减反转恢复序列(FLAIR)不匹配征象:有效性及病理生理学
Neurooncol Adv. 2020 Jan 10;2(1):vdaa004. doi: 10.1093/noajnl/vdaa004. eCollection 2020 Jan-Dec.
2
The T2-FLAIR-mismatch sign as an imaging biomarker for IDH and 1p/19q status in diffuse low-grade gliomas: a systematic review with a Bayesian approach to evaluation of diagnostic test performance.T2-FLAIR 错配征象作为弥漫性低级别胶质瘤 IDH 和 1p/19q 状态的影像学生物标志物:一项基于贝叶斯方法评估诊断试验性能的系统评价。
Neurosurg Focus. 2019 Dec 1;47(6):E13. doi: 10.3171/2019.9.FOCUS19660.
3
The Histopathologic and Radiologic Features of T2-FLAIR Mismatch Sign in IDH-Mutant 1p/19q Non-codeleted Astrocytomas.IDH 突变 1p/19q 非共缺失星形细胞瘤中 T2-FLAIR 不匹配信号的组织病理学和影像学特征。
World Neurosurg. 2021 May;149:e253-e260. doi: 10.1016/j.wneu.2021.02.042. Epub 2021 Feb 18.
4
T2-FLAIR Mismatch, an Imaging Biomarker for IDH and 1p/19q Status in Lower-grade Gliomas: A TCGA/TCIA Project.T2-FLAIR 错配:用于 IDH 和 1p/19q 状态检测的低级别胶质瘤影像学生物标志物:TCGA/TCIA 项目。
Clin Cancer Res. 2017 Oct 15;23(20):6078-6085. doi: 10.1158/1078-0432.CCR-17-0560. Epub 2017 Jul 27.
5
Advanced imaging parameters improve the prediction of diffuse lower-grade gliomas subtype, IDH mutant with no 1p19q codeletion: added value to the T2/FLAIR mismatch sign.高级影像学参数可提高弥漫性低级别胶质瘤 IDH 突变型无 1p19q 联合缺失亚型的预测准确性:T2/FLAIR 不匹配征象的附加价值。
Eur Radiol. 2020 Feb;30(2):844-854. doi: 10.1007/s00330-019-06395-2. Epub 2019 Aug 24.
6
Predicting 1p/19q codeletion status using diffusion-, susceptibility-, perfusion-weighted, and conventional MRI in IDH-mutant lower-grade gliomas.使用弥散加权成像、磁敏感加权成像、灌注加权成像和常规 MRI 预测 IDH 突变型低级别胶质瘤的 1p/19q 共缺失状态。
Acta Radiol. 2021 Dec;62(12):1657-1665. doi: 10.1177/0284185120973624. Epub 2020 Nov 22.
7
The T2-FLAIR mismatch sign as an imaging marker for non-enhancing IDH-mutant, 1p/19q-intact lower-grade glioma: a validation study.T2-FLAIR 不匹配征象作为非强化 IDH 突变、1p/19q 完整型低级别胶质瘤的影像学标志物:一项验证性研究。
Neuro Oncol. 2018 Sep 3;20(10):1393-1399. doi: 10.1093/neuonc/noy048.
8
MRI Scoring Systems for Predicting Isocitrate Dehydrogenase Mutation and Chromosome 1p/19q Codeletion in Adult-type Diffuse Glioma Lacking Contrast Enhancement.MRI 评分系统在缺乏对比增强的成人弥漫性胶质瘤中预测异柠檬酸脱氢酶突变和染色体 1p/19q 共缺失的应用
Radiology. 2024 May;311(2):e233120. doi: 10.1148/radiol.233120.
9
The T2-FLAIR mismatch sign as a predictor of IDH-mutant, 1p/19q-noncodeleted lower-grade gliomas: a systematic review and diagnostic meta-analysis.T2-FLAIR 不匹配征象作为 IDH 突变、1p/19q 非共缺失的低级别胶质瘤的预测指标:系统评价和诊断荟萃分析。
Eur Radiol. 2021 Jul;31(7):5289-5299. doi: 10.1007/s00330-020-07467-4. Epub 2021 Jan 6.
10
Combining hyperintense FLAIR rim and radiological features in identifying IDH mutant 1p/19q non-codeleted lower-grade glioma.联合 FLAIR 环征高信号和影像学特征识别 IDH 突变 1p/19q 非共缺失低级别胶质瘤。
Eur Radiol. 2022 Jun;32(6):3869-3879. doi: 10.1007/s00330-021-08500-w. Epub 2022 Jan 25.

引用本文的文献

1
Quantitative susceptibility mapping study of deep gray matter iron content in glioma patients.胶质瘤患者深部灰质铁含量的定量磁化率图谱研究
Quant Imaging Med Surg. 2025 May 1;15(5):4655-4668. doi: 10.21037/qims-2024-2704. Epub 2025 Apr 28.
2
Establishment and validation of a nomogram for predicting IDH-wildtype glioblastomas in nonenhancing adult-type diffuse gliomas.预测非强化型成人型弥漫性胶质瘤中异柠檬酸脱氢酶野生型胶质母细胞瘤的列线图的建立与验证
Neurooncol Adv. 2025 Feb 8;7(1):vdaf035. doi: 10.1093/noajnl/vdaf035. eCollection 2025 Jan-Dec.
3
Deep learning-based quantification of T2-FLAIR mismatch sign: extending IDH mutation prediction in adult-type diffuse lower-grade glioma.

本文引用的文献

1
Automated quantitative tumour response assessment of MRI in neuro-oncology with artificial neural networks: a multicentre, retrospective study.基于人工神经网络的 MRI 神经肿瘤学中肿瘤自动定量反应评估:多中心回顾性研究。
Lancet Oncol. 2019 May;20(5):728-740. doi: 10.1016/S1470-2045(19)30098-1. Epub 2019 Apr 2.
2
Neuroimaging-Based Classification Algorithm for Predicting 1p/19q-Codeletion Status in -Mutant Lower Grade Gliomas.基于神经影像学的分类算法,用于预测 - 突变型低级别胶质瘤中的 1p/19q 缺失状态。
AJNR Am J Neuroradiol. 2019 Mar;40(3):426-432. doi: 10.3174/ajnr.A5957. Epub 2019 Jan 31.
3
There is an exception to every rule-T2-FLAIR mismatch sign in gliomas.
基于深度学习的T2-FLAIR错配征定量分析:扩展成人型弥漫性低级别胶质瘤中异柠檬酸脱氢酶(IDH)突变预测
Eur Radiol. 2025 Mar 7. doi: 10.1007/s00330-025-11475-7.
4
Comprehensive multicentre retrospective analysis for predicting isocitrate dehydrogenase-mutant lower-grade gliomas.用于预测异柠檬酸脱氢酶突变型低级别胶质瘤的多中心综合回顾性分析
Ann Clin Transl Neurol. 2025 Feb;12(2):255-266. doi: 10.1002/acn3.52251. Epub 2024 Nov 18.
5
Diffusion MRI is superior to quantitative T2-FLAIR mismatch in predicting molecular subtypes of human non-enhancing gliomas.在预测人类非强化型胶质瘤的分子亚型方面,扩散加权磁共振成像优于定量T2液体衰减反转恢复序列不匹配。
Neuroradiology. 2024 Dec;66(12):2153-2162. doi: 10.1007/s00234-024-03475-z. Epub 2024 Oct 8.
6
Beyond T2-FLAIR mismatch sign in isocitrate dehydrogenase mutant 1p19q non-codeleted astrocytoma: Analysis of tumor core and evolution with multiparametric magnetic resonance imaging.异柠檬酸脱氢酶突变型1p19q非共缺失星形细胞瘤中超越T2-FLAIR不匹配征象的研究:基于多参数磁共振成像的肿瘤核心及演变分析
Neurooncol Adv. 2024 Jul 18;6(1):vdae065. doi: 10.1093/noajnl/vdae065. eCollection 2024 Jan-Dec.
7
Identifying IDH-mutant and 1p/19q noncodeleted astrocytomas from nonenhancing gliomas: Manual recognition followed by artificial intelligence recognition.从非强化型胶质瘤中识别异柠檬酸脱氢酶(IDH)突变型和1p/19q未缺失型星形细胞瘤:先人工识别,再人工智能识别。
Neurooncol Adv. 2024 Feb 1;6(1):vdae013. doi: 10.1093/noajnl/vdae013. eCollection 2024 Jan-Dec.
8
Quantification of T2-FLAIR Mismatch in Nonenhancing Diffuse Gliomas Using Digital Subtraction.利用数字减影技术对非增强性弥漫性胶质瘤 T2-FLAIR 不匹配进行定量分析。
AJNR Am J Neuroradiol. 2024 Feb 7;45(2):188-197. doi: 10.3174/ajnr.A8094.
9
The T2-FLAIR mismatch sign in oncologic neuroradiology: History, current use, emerging data, and future directions.肿瘤神经影像学中的 T2-FLAIR 不匹配征象:历史、当前应用、新出现的数据及未来方向。
Neuroradiol J. 2024 Aug;37(4):441-453. doi: 10.1177/19714009231212375. Epub 2023 Nov 4.
10
T2-FLAIR mismatch sign correlates with C-methionine uptake in lower-grade diffuse gliomas.T2-FLAIR 错配征象与低级别弥漫性胶质瘤的 C-蛋氨酸摄取相关。
J Neurooncol. 2023 Aug;164(1):257-265. doi: 10.1007/s11060-023-04417-0. Epub 2023 Aug 17.
每个规则都有例外——胶质瘤中的T2-FLAIR不匹配征象。
Neuroradiology. 2019 Feb;61(2):225-227. doi: 10.1007/s00234-018-2148-4. Epub 2018 Dec 18.
4
Radiographic assessment of contrast enhancement and T2/FLAIR mismatch sign in lower grade gliomas: correlation with molecular groups.低级别胶质瘤中对比增强和 T2/FLAIR 不匹配征象的影像学评估:与分子亚群的相关性。
J Neurooncol. 2019 Jan;141(2):327-335. doi: 10.1007/s11060-018-03034-6. Epub 2018 Dec 7.
5
Voxel-wise radiogenomic mapping of tumor location with key molecular alterations in patients with glioma.基于体素的基因组学图谱分析肿瘤位置与胶质瘤患者关键分子改变的关系。
Neuro Oncol. 2018 Oct 9;20(11):1517-1524. doi: 10.1093/neuonc/noy134.
6
Machine Learning-Based Radiomics for Molecular Subtyping of Gliomas.基于机器学习的脑胶质瘤分子亚型的放射组学研究
Clin Cancer Res. 2018 Sep 15;24(18):4429-4436. doi: 10.1158/1078-0432.CCR-17-3445. Epub 2018 May 22.
7
The T2-FLAIR mismatch sign as an imaging marker for non-enhancing IDH-mutant, 1p/19q-intact lower-grade glioma: a validation study.T2-FLAIR 不匹配征象作为非强化 IDH 突变、1p/19q 完整型低级别胶质瘤的影像学标志物:一项验证性研究。
Neuro Oncol. 2018 Sep 3;20(10):1393-1399. doi: 10.1093/neuonc/noy048.
8
Radiomics, Metabolic, and Molecular MRI for Brain Tumors.用于脑肿瘤的放射组学、代谢和分子磁共振成像
Semin Neurol. 2018 Feb;38(1):32-40. doi: 10.1055/s-0037-1618600. Epub 2018 Mar 16.
9
DNA methylation-based classification of central nervous system tumours.基于 DNA 甲基化的中枢神经系统肿瘤分类。
Nature. 2018 Mar 22;555(7697):469-474. doi: 10.1038/nature26000. Epub 2018 Mar 14.
10
MRI Features Can Predict 1p/19q Status in Intracranial Gliomas.MRI 特征可预测颅内胶质瘤的 1p/19q 状态。
AJNR Am J Neuroradiol. 2018 Apr;39(4):687-692. doi: 10.3174/ajnr.A5572. Epub 2018 Mar 8.