Suppr超能文献

急性渗出性心包炎:新型冠状病毒肺炎的一种晚期并发症

Acute Effusive Pericarditis: A Late Complication of COVID-19.

作者信息

Fox Kelli, Prokup Jessica A, Butson Kyle, Jordan Kim

机构信息

Internal Medicine, OhioHealth Riverside Methodist Hospital, Columbus, USA.

出版信息

Cureus. 2020 Jul 8;12(7):e9074. doi: 10.7759/cureus.9074.

Abstract

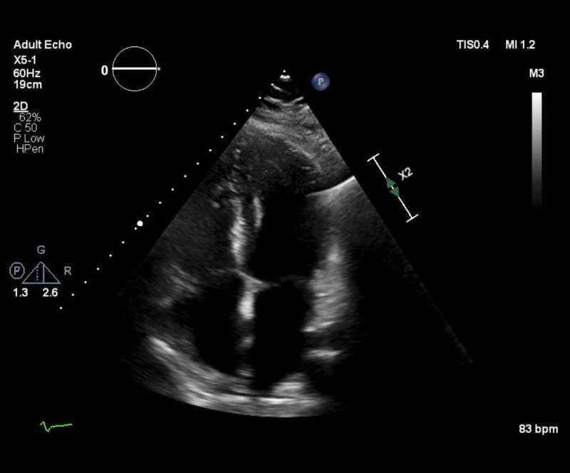
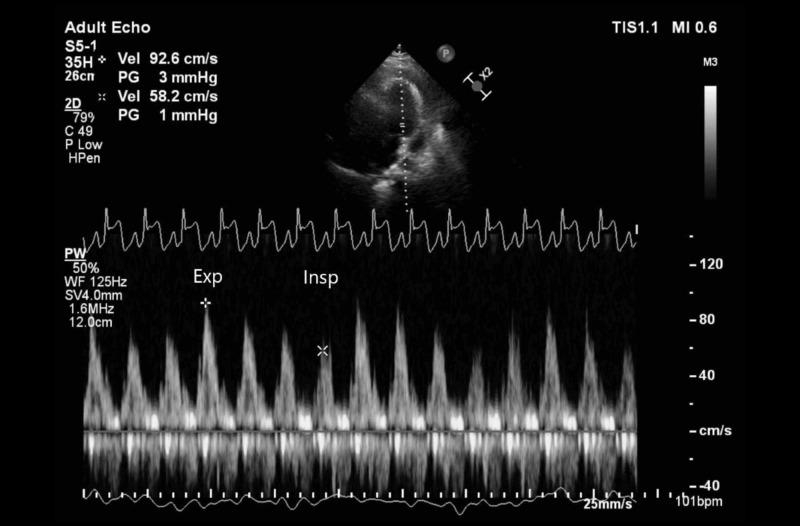
As the COVID-19 pandemic evolves, the medical community continues to discover novel clinical manifestations of the severe acute respiratory syndrome coronavirus 2 (SARS-CoV-2) virus. Often, extrapulmonary manifestations occur simultaneously with pulmonary disease. However, there is a paucity of literature describing the cardiac manifestations of COVID-19 in the absence of pulmonary findings. We report a rare case of acute pericarditis presenting with pericardial effusion and cardiac tamponade in a 43-year-old man diagnosed with COVID-19. This case emphasizes the importance of continued investigation regarding diagnosis and treatment of COVID-19 and its related symptoms.

摘要

随着新冠疫情的演变,医学界不断发现严重急性呼吸综合征冠状病毒2(SARS-CoV-2)的新临床表现。通常,肺外表现与肺部疾病同时出现。然而,在没有肺部表现的情况下,描述新冠病毒心脏表现的文献很少。我们报告了一例罕见病例,一名43岁确诊为新冠病毒感染的男性出现急性心包炎并伴有心包积液和心脏压塞。该病例强调了持续研究新冠病毒及其相关症状的诊断和治疗的重要性。

https://cdn.ncbi.nlm.nih.gov/pmc/blobs/0acf/7348211/2bd9cd548691/cureus-0012-00000009074-i01.jpg

相似文献

1
Acute Effusive Pericarditis: A Late Complication of COVID-19.
Cureus. 2020 Jul 8;12(7):e9074. doi: 10.7759/cureus.9074.
3
Breaking hearts and taking names: A case of sarcoidosis related effusive-constrictive pericarditis.
Respir Med. 2020 Mar;163:105879. doi: 10.1016/j.rmed.2020.105879. Epub 2020 Jan 23.
4
Coronavirus Disease 2019 (COVID-19) and Severe Pericardial Effusion: From Pathogenesis to Management: A Case Report Based Systematic Review.
Curr Probl Cardiol. 2022 Feb;47(2):100933. doi: 10.1016/j.cpcardiol.2021.100933. Epub 2021 Jul 24.
6
10
Coronavirus disease 2019 (COVID-19)-associated constrictive pericarditis.
BMJ Case Rep. 2021 May 11;14(5):e242018. doi: 10.1136/bcr-2021-242018.

引用本文的文献

1
[Clinical features of pericarditis in patients with SARS-CoV-2].
Rev Med Inst Mex Seguro Soc. 2023 Dec 18;61(Suppl 2):S269-S274.
2
A fatal Candida albicans pericarditis presenting with cardiac tamponade after COVID-19 infection and cardiothoracic surgery.
J Clin Lab Anal. 2023 Oct;37(19-20):e24968. doi: 10.1002/jcla.24968. Epub 2023 Oct 6.
3
Acute Pericarditis as the Primary Presentation of COVID-19 Infection followed by Guillain-Barre Syndrome in a Healthy Young Man: A Case Report.
Open Respir Med J. 2022 Dec 12;16:e187430642210190. doi: 10.2174/18743064-v16-e221020-2022-8. eCollection 2022.
5
Subacute Cardiac Tamponade in a COVID-19 Patient Despite Negative Testing.
Cureus. 2022 Sep 12;14(9):e29090. doi: 10.7759/cureus.29090. eCollection 2022 Sep.
6
Pericardial Tamponade following Asymptomatic SARS-CoV-2 Infection: A Diagnostic Journey.
Case Rep Cardiol. 2022 Sep 22;2022:1332844. doi: 10.1155/2022/1332844. eCollection 2022.
8
A Systematic Review of COVID-19 and Pericarditis.
Cureus. 2022 Aug 12;14(8):e27948. doi: 10.7759/cureus.27948. eCollection 2022 Aug.
9
Acute pericarditis after COVID 19 in a peritoneal dialysis patient.
CEN Case Rep. 2022 Nov;11(4):487-489. doi: 10.1007/s13730-022-00705-2. Epub 2022 May 4.
10
A Case of Acute Pericarditis After COVID-19 Vaccination.
Front Allergy. 2021 Oct 1;2:733466. doi: 10.3389/falgy.2021.733466. eCollection 2021.

本文引用的文献

1
Acute Pericarditis and Cardiac Tamponade in a Patient with COVID-19: A Therapeutic Challenge.
Eur J Case Rep Intern Med. 2020 May 6;7(6):001701. doi: 10.12890/2020_001701. eCollection 2020.
3
Postmortem Lung Findings in a Patient With Asthma and Coronavirus Disease 2019.
Chest. 2020 Sep;158(3):e99-e101. doi: 10.1016/j.chest.2020.04.032. Epub 2020 Apr 28.
4
COVID-19 myopericarditis: It should be kept in mind in today's conditions.
Am J Emerg Med. 2020 Jul;38(7):1547.e5-1547.e6. doi: 10.1016/j.ajem.2020.04.080. Epub 2020 Apr 28.
6
A Moderate Case of COVID-19 Viral Pneumonia During the SARS-CoV-2 Pandemic.
Dtsch Arztebl Int. 2020 Mar 27;117(13):219. doi: 10.3238/arztebl.2020.0219.
7
Cardiac Tamponade Secondary to COVID-19.
JACC Case Rep. 2020 Jul 15;2(9):1326-1330. doi: 10.1016/j.jaccas.2020.04.009. Epub 2020 Apr 23.
8
Life-threatening cardiac tamponade complicating myo-pericarditis in COVID-19.
Eur Heart J. 2020 Jun 7;41(22):2130. doi: 10.1093/eurheartj/ehaa253.
9
Cardiac Involvement in a Patient With Coronavirus Disease 2019 (COVID-19).
JAMA Cardiol. 2020 Jul 1;5(7):819-824. doi: 10.1001/jamacardio.2020.1096.
10
ANA testing in the presence of acute and chronic infections.
J Immunoassay Immunochem. 2016;37(5):439-52. doi: 10.1080/15321819.2016.1174136.

文献AI研究员

20分钟写一篇综述,助力文献阅读效率提升50倍。

立即体验

用中文搜PubMed

大模型驱动的PubMed中文搜索引擎

马上搜索

文档翻译

学术文献翻译模型,支持多种主流文档格式。

立即体验