Suppr超能文献

一名患有-KDD的肺腺癌患者中的新型致癌驱动因素及对阿法替尼的反应

A Novel Oncogenic Driver in a Lung Adenocarcinoma Patient Harboring an -KDD and Response to Afatinib.

作者信息

Chen Dong, Li Xing-Liang, Wu Biao, Zheng Xiao-Bin, Wang Wen-Xian, Chen Hua-Fei, Dong Yi-Yu, Xu Chun-Wei, Fang Mei-Yu

机构信息

Department of Pathology, Zhejiang Rongjun Hospital, Jiaxing, China.

Department of Tumor Molecular Laboratory, Zhejiang Rongjun Hospital, Jiaxing, China.

出版信息

Front Oncol. 2020 Jun 16;10:867. doi: 10.3389/fonc.2020.00867. eCollection 2020.

Abstract

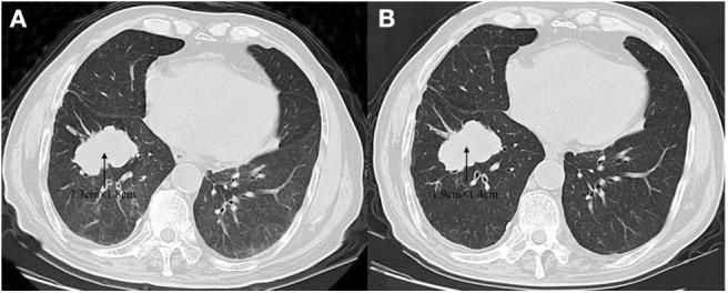
Oncogenic mutations in the epidermal growth factor receptor () occur frequently in patients with lung cancer. These mutations may serve as critical predictive biomarkers in patients with non-small cell lung cancer (NSCLC). Among them, exon 18-25 kinase domain duplication (-KDD) mutations have been identified as a novel gene subtype in NSCLC. We reported a rare case of a 59-year-old male diagnosed with adenocarcinoma. A biopsy revealed an -KDD identified by the next generation sequencing (NGS). Effective treatment outcome has been observed after administration with afatinib. This case highlights that comprehensive NGS technique is valuable in detecting novel genetic mutations in tumors.

摘要

表皮生长因子受体()的致癌突变在肺癌患者中频繁发生。这些突变可能是非小细胞肺癌(NSCLC)患者的关键预测生物标志物。其中,外显子18 - 25激酶结构域重复(-KDD)突变已被确定为NSCLC中的一种新型基因亚型。我们报告了一例罕见病例,一名59岁男性被诊断为腺癌。活检显示通过下一代测序(NGS)鉴定出-KDD。给予阿法替尼后观察到了有效的治疗效果。该病例突出了全面的NGS技术在检测肿瘤新基因突变方面的价值。

https://cdn.ncbi.nlm.nih.gov/pmc/blobs/06e5/7325976/2938aedffc10/fonc-10-00867-g0001.jpg

文献检索

告别复杂PubMed语法,用中文像聊天一样搜索,搜遍4000万医学文献。AI智能推荐,让科研检索更轻松。

立即免费搜索

文件翻译

保留排版,准确专业,支持PDF/Word/PPT等文件格式,支持 12+语言互译。

免费翻译文档

深度研究

AI帮你快速写综述,25分钟生成高质量综述,智能提取关键信息,辅助科研写作。

立即免费体验