Department of Gynecology and Obstetrics, Shanghai Jiao Tong University Affiliated Sixth People's Hospital, 600 Yishan Road, Shanghai, 200233, PR China.
Department of Gynecology and Obstetrics, Shanghai Eighth People's Hospital, Affiliated to Jiangsu University, Shanghai, 200233, PR China.
Oncogene. 2020 Aug;39(34):5633-5648. doi: 10.1038/s41388-020-1384-3. Epub 2020 Jul 13.
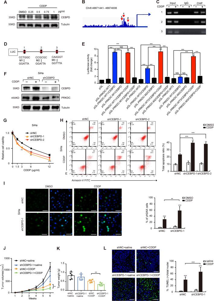
Cervical cancer (CC) remains highest in the mortality of female reproductive system cancers, while cisplatin (CDDP) resistance is the one of main reasons for the lethality. Preceding evidence has supported that karyopherins are associated with chemoresistance. In this study, we simultaneously compared CDDP-incomplete responders with CDDP-complete responders of CC patients and CDDP-insensitive CC cell lines with CDDP-sensitive group. We finally identified that DNA-PKcs (PRKDC) was related to CDDP sensitivity after overlapping in CC sample tissues and CC cell lines. Further functional assay revealed that targeting PRKDC by shRNA and NU7026 (specific PRKDC inhibitor) could enhance CDDP sensitivity in vitro and in vivo, which was mediated by impairing DNA damage repair pathway in CC. Mechanistically, we found that PRKDC was transcriptionally upregulated by CCAAT/enhancer-binding protein delta (CEBPD), while intriguingly, CDDP treatment strengthened the transcriptional activity of CEBPD to PRKDC. We further disclosed that Importin 4 (IPO4) augmented the nuclear translocation of CEBPD through nuclear localization signals (NLS) to activate PRKDC-mediated DNA damage repair in response to CDDP. Moreover, we demonstrated that IPO4 and CEBPD knockdown improved CDDP-induced cytotoxicity in vitro and in vivo. Together, we shed the novel insight into the role of IPO4 in chemosensitivity and provide a clinical translational potential to enhance CC chemosensitivity since the IPO4-CEBPD-PRKDC axis is actionable via NU7026 (PRKDC inhibitor) or targeting IPO4 in combination with CDDP.
宫颈癌(CC)仍然是女性生殖系统癌症死亡率最高的癌症,而顺铂(CDDP)耐药是其致命的原因之一。先前的证据表明,核输入蛋白与化疗耐药有关。在这项研究中,我们同时比较了 CC 患者中 CDDP 不完全反应者与 CDDP 完全反应者、CC 细胞系中 CDDP 不敏感者与 CDDP 敏感者。我们最终确定,在 CC 样本组织和 CC 细胞系中重叠后,DNA 依赖性蛋白激酶(DNA-PKcs)(PRKDC)与 CDDP 敏感性相关。进一步的功能测定显示,通过 shRNA 和 NU7026(特异性 PRKDC 抑制剂)靶向 PRKDC 可以增强 CC 中体外和体内的 CDDP 敏感性,这是通过损害 CC 中的 DNA 损伤修复途径介导的。在机制上,我们发现 PRKDC 被 CCAAT/增强子结合蛋白δ(CEBPD)转录上调,而有趣的是,CDDP 处理增强了 CEBPD 对 PRKDC 的转录活性。我们进一步揭示了 Importin 4(IPO4)通过核定位信号(NLS)增强 CEBPD 的核转位,以激活 PRKDC 介导的 DNA 损伤修复,以应对 CDDP。此外,我们证明了 IPO4 和 CEBPD 的敲低可提高体外和体内 CDDP 诱导的细胞毒性。总之,我们揭示了 IPO4 在化疗敏感性中的新作用,并提供了临床转化潜力,可通过 NU7026(PRKDC 抑制剂)或靶向 IPO4 联合 CDDP 来增强 CC 的化疗敏感性,因为 IPO4-CEBPD-PRKDC 轴可通过 NU7026(PRKDC 抑制剂)或靶向 IPO4 联合 CDDP 来靶向。