Department of Neurosurgery, Renmin Hospital of Wuhan University, No.238, jiefang Road, Wuchang District, Wuhan, 430060, Hubei Province, China.
Central Laboratory, Renmin Hospital of Wuhan University, Wuhan, China.
J Exp Clin Cancer Res. 2020 Jul 16;39(1):137. doi: 10.1186/s13046-020-01641-8.
Hypoxia, a fundamental characteristic of glioma, is considered to promote tumor malignancy by inducing process of epithelial mesenchymal transition (EMT). Ferritin Light Chain (FTL) is one of the iron metabolism regulators and is overexpressed in glioma. However, relationship between hypoxia and FTL expression and its role in regulating EMT remains unclear.
Immunohistochemistry (IHC), western blot and public datasets were used to evaluate FTL level in glioma. Wound healing, transwell assays, CCK8, annexin V staining assay were used to measure migration, invasion, proliferation and apoptosis of glioma cells in vitro. Interaction between HIF1A and FTL was assessed by luciferase reporter and Chromatin immunoprecipitation (ChIP) assays. Subcutaneous xenograft model was established to investigate in vivo growth.
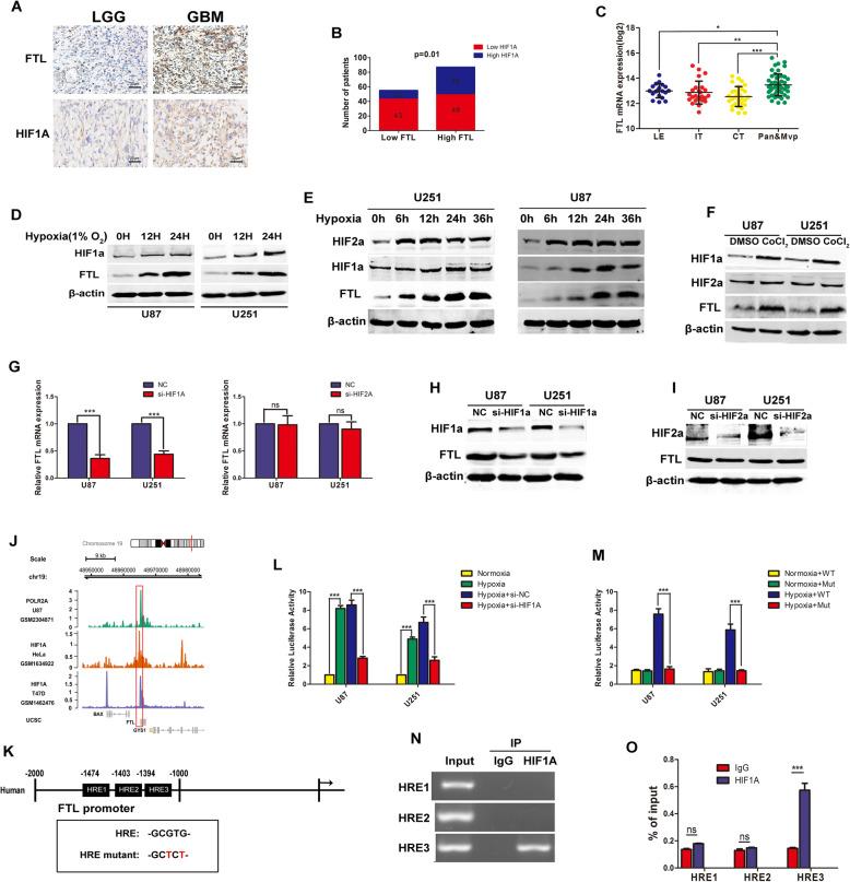
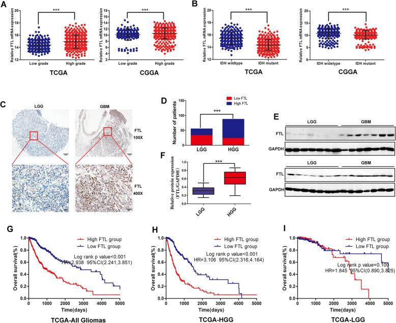
FTL expression was enriched in high grade glioma (HGG) and its expression significantly associated with IDH1/2 wildtype and unfavorable prognosis of glioma patients. FTL expression positively correlated with HIF1A in glioma tissues and obviously increased in U87 and U251 cells under hypoxia in a time-dependent manner. Mechanistically, HIF-1α regulates FTL expression by directly binding to HRE-3 in FTL promoter region. Furthermore, we found that knockdown FTL dramatically repressed EMT and reduced migration and invasion of glioma by regulating AKT/GSK3β/ β-catenin signaling both in vitro and in vivo. Moreover, our study found downregulation FTL decreased the survival rate and increased the apoptosis of glioma cells treated with temozolomide (TMZ). FTL expression segregated glioma patients who were treated with TMZ or with high MGMT promoter methylation into survival groups in TCGA dataset. Patients with methylated MGMT who had high FTL expression presented similar prognosis with patients with unmethylated MGMT.
Our study strongly suggested that hypoxia-inducible FTL was a regulator of EMT and acted not only as a prognostic marker but also a novel biomarker of response to TMZ in glioma.
缺氧是胶质瘤的基本特征,被认为通过诱导上皮间质转化(EMT)过程来促进肿瘤恶性程度。铁蛋白轻链(FTL)是铁代谢调节剂之一,在胶质瘤中过度表达。然而,缺氧与 FTL 表达的关系及其在调节 EMT 中的作用尚不清楚。
免疫组织化学(IHC)、western blot 和公共数据集用于评估胶质瘤中 FTL 水平。划痕愈合、Transwell 测定、CCK8、Annexin V 染色测定用于测量胶质瘤细胞的体外迁移、侵袭、增殖和凋亡。通过荧光素酶报告和染色质免疫沉淀(ChIP)测定评估 HIF1A 与 FTL 之间的相互作用。建立皮下异种移植模型以研究体内生长。
FTL 表达在高级别胶质瘤(HGG)中富集,其表达与 IDH1/2 野生型和胶质瘤患者不良预后显著相关。FTL 表达与胶质瘤组织中的 HIF1A 呈正相关,在缺氧条件下,U87 和 U251 细胞中的表达明显增加,呈时间依赖性。机制上,HIF-1α 通过直接结合 FTL 启动子区域的 HRE-3 调节 FTL 表达。此外,我们发现下调 FTL 通过调节 AKT/GSK3β/β-catenin 信号通路,显著抑制 EMT,并减少胶质瘤的迁移和侵袭,无论是在体外还是体内。此外,我们的研究发现下调 FTL 降低了替莫唑胺(TMZ)治疗的胶质瘤细胞的存活率并增加了其凋亡。在 TCGA 数据集,FTL 表达将接受 TMZ 治疗或高 MGMT 启动子甲基化的胶质瘤患者分为存活组。具有甲基化 MGMT 的患者,其 FTL 表达较高者与未甲基化 MGMT 的患者具有相似的预后。
我们的研究强烈表明,缺氧诱导的 FTL 是 EMT 的调节剂,不仅作为预后标志物,而且作为胶质瘤对 TMZ 反应的新型生物标志物。