• 文献检索
  • 文档翻译
  • 深度研究
  • 学术资讯
  • Suppr Zotero 插件Zotero 插件
  • 邀请有礼
  • 套餐&价格
  • 历史记录
应用&插件
Suppr Zotero 插件Zotero 插件浏览器插件Mac 客户端Windows 客户端微信小程序
定价
高级版会员购买积分包购买API积分包
服务
文献检索文档翻译深度研究API 文档MCP 服务
关于我们
关于 Suppr公司介绍联系我们用户协议隐私条款
关注我们

Suppr 超能文献

核心技术专利:CN118964589B侵权必究
粤ICP备2023148730 号-1Suppr @ 2026

文献检索

告别复杂PubMed语法,用中文像聊天一样搜索,搜遍4000万医学文献。AI智能推荐,让科研检索更轻松。

立即免费搜索

文件翻译

保留排版,准确专业,支持PDF/Word/PPT等文件格式,支持 12+语言互译。

免费翻译文档

深度研究

AI帮你快速写综述,25分钟生成高质量综述,智能提取关键信息,辅助科研写作。

立即免费体验

瑞典活体供体机器人子宫移植试验受者手术结果及6个月随访

Outcome of Recipient Surgery and 6-Month Follow-Up of the Swedish Live Donor Robotic Uterus Transplantation Trial.

作者信息

Brännström Mats, Dahm-Kähler Pernilla, Ekberg Jana, Akouri Randa, Groth Klaus, Enskog Anders, Broecker Verena, Mölne Johan, Ayoubi Jean-Marc, Kvarnström Niclas

机构信息

Department of Obstetrics & Gynecology, Sahlgrenska Academy, University of Gothenburg, SE-41345 Göteborg, Sweden.

Department of Transplantation, Sahlgrenska Academy, University of Gothenburg, SE-41345 Göteborg, Sweden.

出版信息

J Clin Med. 2020 Jul 22;9(8):2338. doi: 10.3390/jcm9082338.

DOI:10.3390/jcm9082338
PMID:32707899
原文链接:https://pmc.ncbi.nlm.nih.gov/articles/PMC7464615/
Abstract

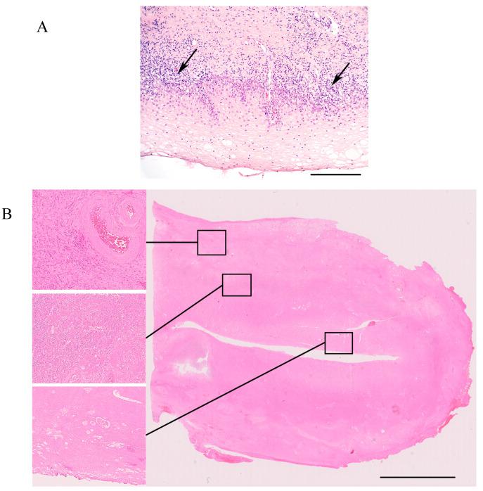
Uterus transplantation has proved to be a feasible treatment for uterine factor infertility. Herein, we report on recipient outcome in the robotic uterus transplantation trial of 2017-2019. The eight recipients had congenital uterine aplasia. The donors were six mothers, one sister, and one family friend. Donor surgery was by robotic-assisted laparoscopy. Recipient surgery was by laparotomy and vascular anastomoses to the external iliacs. The duration (median (ranges)) of recipient surgery, blood loss, measured (left/right) uterine artery blood flow after reperfusion, and length of hospital stay were 5.15 h (4.5-6.6), 300 mL (150-600), 43.5 mL/min (20-125)/37.5 mL/min (10-98), and 6 days (5-9), respectively. Postoperative uterine perfusion evaluated by color Doppler showed open anastomoses but restricted blood distribution in two cases. Repeated cervical biopsies in these two cases initially showed ischemia and, later, necrosis. Endometrial growth was not seen, and hysterectomy was later performed, with pathology showing partly viable myometrium and fibrosis but necrosis towards the cavity. The other six patients acquired regular menstrual cyclicity. Surgery was performed in two patients to correct vaginal stenosis. Reversible rejection episodes were seen in two patients. In conclusion, the rate of viable uterine grafts during the initial 6-months of the present study (75%) leaves room for improvement in the inclusion/exclusion criteria of donors and in surgical techniques. Initial low blood flow may indicate subsequent graft failure.

摘要

子宫移植已被证明是治疗子宫因素不孕症的一种可行方法。在此,我们报告2017 - 2019年机器人子宫移植试验中受者的结局。8名受者患有先天性子宫发育不全。供者为6名母亲、1名姐妹和1名家庭朋友。供者手术采用机器人辅助腹腔镜手术。受者手术采用剖腹术并与髂外血管进行血管吻合。受者手术持续时间(中位数(范围))、失血量、再灌注后测量的(左/右)子宫动脉血流量以及住院时间分别为5.15小时(4.5 - 6.6小时)、300毫升(150 - 600毫升)、43.5毫升/分钟(20 - 125毫升/分钟)/37.5毫升/分钟(10 - 98毫升/分钟)和6天(5 - 9天)。彩色多普勒评估的术后子宫灌注显示吻合口通畅,但2例患者血液分布受限。这2例患者反复进行宫颈活检,最初显示缺血,后来出现坏死。未见子宫内膜生长,随后进行了子宫切除术,病理显示部分存活的肌层和纤维化,但向宫腔方向有坏死。其他6名患者出现了规律的月经周期。2名患者进行了手术以纠正阴道狭窄。2名患者出现了可逆性排斥反应。总之,在本研究的最初6个月中,存活子宫移植物的比例(75%)表明在供者的纳入/排除标准和手术技术方面仍有改进空间。最初的低血流量可能预示着随后的移植物失败。

https://cdn.ncbi.nlm.nih.gov/pmc/blobs/c775/7464615/3baddec15d52/jcm-09-02338-g002.jpg
https://cdn.ncbi.nlm.nih.gov/pmc/blobs/c775/7464615/9547a5822f4a/jcm-09-02338-g001.jpg
https://cdn.ncbi.nlm.nih.gov/pmc/blobs/c775/7464615/3baddec15d52/jcm-09-02338-g002.jpg
https://cdn.ncbi.nlm.nih.gov/pmc/blobs/c775/7464615/9547a5822f4a/jcm-09-02338-g001.jpg
https://cdn.ncbi.nlm.nih.gov/pmc/blobs/c775/7464615/3baddec15d52/jcm-09-02338-g002.jpg

相似文献

1
Outcome of Recipient Surgery and 6-Month Follow-Up of the Swedish Live Donor Robotic Uterus Transplantation Trial.瑞典活体供体机器人子宫移植试验受者手术结果及6个月随访
J Clin Med. 2020 Jul 22;9(8):2338. doi: 10.3390/jcm9082338.
2
Live birth after robotic-assisted live donor uterus transplantation.机器人辅助活体供者子宫移植术后活产。
Acta Obstet Gynecol Scand. 2020 Sep;99(9):1222-1229. doi: 10.1111/aogs.13853. Epub 2020 Apr 12.
3
Selecting living donors for uterus transplantation: lessons learned from two transplantations resulting in menstrual functionality and another attempt, aborted after organ retrieval.子宫移植活体供体的选择:从两例实现月经功能的移植手术及另一例在器官获取后中止的尝试中吸取的经验教训。
Arch Gynecol Obstet. 2018 Mar;297(3):675-684. doi: 10.1007/s00404-017-4626-z. Epub 2017 Dec 21.
4
Modified human uterus transplantation using ovarian veins for venous drainage: the first report of surgically successful robotic-assisted uterus procurement and follow-up for 12 months.改良式用人造子宫移植术采用卵巢静脉进行静脉引流:首例机器人辅助子宫获取术成功报告及 12 个月随访。
Fertil Steril. 2017 Aug;108(2):346-356.e1. doi: 10.1016/j.fertnstert.2017.05.039.
5
Evolution of surgical steps in robotics-assisted donor surgery for uterus transplantation: results of the eight cases in the Swedish trial.机器人辅助供体子宫移植手术步骤的演变:瑞典试验中 8 例的结果。
Fertil Steril. 2020 Nov;114(5):1097-1107. doi: 10.1016/j.fertnstert.2020.05.027. Epub 2020 Aug 19.
6
Hysterectomy after uterus transplantation and detailed analyses of graft failures.子宫移植后子宫切除术和移植物失败的详细分析。
Acta Obstet Gynecol Scand. 2022 Mar;101(3):355-363. doi: 10.1111/aogs.14304. Epub 2021 Dec 14.
7
Laparotomy or minimal invasive surgery in uterus transplantation: a comparison.剖腹手术与微创子宫移植术的比较。
Fertil Steril. 2019 Jul;112(1):11-18. doi: 10.1016/j.fertnstert.2019.05.038.
8
Livebirth after uterus transplantation from a deceased donor in a recipient with uterine infertility.因子宫性不孕行同种异体子宫移植术后活产 1 例
Lancet. 2019 Dec 22;392(10165):2697-2704. doi: 10.1016/S0140-6736(18)31766-5. Epub 2018 Dec 4.
9
Laparoscopic-Assisted Uterus Retrieval From Live Organ Donors for Uterine Transplant: Our Experience of Two Patients.腹腔镜辅助活体供者子宫切取术用于子宫移植:两例患者的经验。
J Minim Invasive Gynecol. 2018 May-Jun;25(4):622-631. doi: 10.1016/j.jmig.2018.01.009. Epub 2018 Jan 31.
10
Novel Anastomotic Technique for Uterine Transplant Using Utero-ovarian Veins for Venous Drainage and Internal Iliac Arteries for Perfusion in Two Laparoscopically Harvested Uteri.利用子宫卵巢静脉进行静脉引流和髂内动脉进行灌注的新型子宫移植吻合技术,应用于两个腹腔镜采集的子宫中。
J Minim Invasive Gynecol. 2019 May-Jun;26(4):628-635. doi: 10.1016/j.jmig.2018.11.021. Epub 2018 Dec 29.

引用本文的文献

1
Uterus transplantation: A clinical breakthrough after systematic preclinical research.子宫移植:系统临床前研究后的一项临床突破。
Reprod Med Biol. 2025 Feb 11;24(1):e12636. doi: 10.1002/rmb2.12636. eCollection 2025 Jan-Dec.
2
The costs per live birth after uterus transplantation: results of the Swedish live donor trial.子宫移植后每例活产的成本:瑞典活体供体试验的结果
Hum Reprod. 2025 Feb 1;40(2):310-318. doi: 10.1093/humrep/deae272.
3
Uterus transplantation: A bibliometric review of six-decade study from 1960 to 2024.子宫移植:对1960年至2024年六十年研究的文献计量学综述

本文引用的文献

1
Evolution of surgical steps in robotics-assisted donor surgery for uterus transplantation: results of the eight cases in the Swedish trial.机器人辅助供体子宫移植手术步骤的演变:瑞典试验中 8 例的结果。
Fertil Steril. 2020 Nov;114(5):1097-1107. doi: 10.1016/j.fertnstert.2020.05.027. Epub 2020 Aug 19.
2
First birth from a deceased donor uterus in the United States: from severe graft rejection to successful cesarean delivery.美国首例已故供者子宫内孕育活产:从严重移植排斥到成功剖宫产分娩。
Am J Obstet Gynecol. 2020 Aug;223(2):143-151. doi: 10.1016/j.ajog.2020.03.001. Epub 2020 Mar 7.
3
Adapting surgical skills from robotic-assisted radical hysterectomy in cervical cancer to uterine transplantation: a look to an optimistic future!
Acta Obstet Gynecol Scand. 2025 Mar;104(3):437-451. doi: 10.1111/aogs.14977. Epub 2024 Nov 23.
4
Living-Donor Uterus Transplantation: A Clinical Review.活体供体子宫移植:临床综述
J Clin Med. 2024 Jan 29;13(3):775. doi: 10.3390/jcm13030775.
5
Uterine transplantation and donation in transgender individuals; proof of concept.变性者的子宫移植与捐赠;概念验证
Int J Transgend Health. 2021 May 28;22(4):349-359. doi: 10.1080/26895269.2021.1915635. eCollection 2021.
6
Long-term Course of Kidney Function in Uterus Transplant Recipients Under Treatment With Tacrolimus and After Transplantectomy: Results of the First Clinical Cohort.接受他克莫司治疗及移植肾切除术后子宫移植受者的肾功能长期病程:首个临床队列研究结果
Transplant Direct. 2023 Sep 28;9(10):e1525. doi: 10.1097/TXD.0000000000001525. eCollection 2023 Oct.
7
Comment on "Birth of a Healthy Baby 9 years after a Surgically Successful Deceased Donor Uterus Transplant".评《成功进行尸体供体子宫移植术后9年诞下健康婴儿》
Ann Surg Open. 2022 May 26;3(2):e172. doi: 10.1097/AS9.0000000000000172. eCollection 2022 Jun.
8
Uterus Transplantation as a Surgical Innovation.子宫移植:手术创新。
J Bioeth Inq. 2023 Sep;20(3):367-378. doi: 10.1007/s11673-023-10272-5. Epub 2023 Jun 29.
9
Uterus transplantation: from research, through human trials and into the future.子宫移植:从研究到临床试验再到未来。
Hum Reprod Update. 2023 Sep 5;29(5):521-544. doi: 10.1093/humupd/dmad012.
10
Differences between living and deceased donation in human uterus transplantation: A narrative review.人体子宫移植中活体捐赠与尸体捐赠的差异:一项叙述性综述。
Int J Reprod Biomed. 2023 Apr 14;21(3):193-204. doi: 10.18502/ijrm.v21i3.13195. eCollection 2023 Mar.
将宫颈癌机器人辅助根治性子宫切除术的手术技能应用于子宫移植:展望乐观的未来!
J Robot Surg. 2020 Dec;14(6):841-847. doi: 10.1007/s11701-020-01058-7. Epub 2020 Feb 22.
4
Laparotomy or minimal invasive surgery in uterus transplantation: a comparison.剖腹手术与微创子宫移植术的比较。
Fertil Steril. 2019 Jul;112(1):11-18. doi: 10.1016/j.fertnstert.2019.05.038.
5
Cumulative live birth rate prognosis based on the number of aspirated oocytes in previous ART cycles.基于前次辅助生殖技术(ART)周期中抽吸的卵母细胞数量预测累积活产率。
Hum Reprod. 2019 Jan 1;34(1):171-180. doi: 10.1093/humrep/dey341.
6
Livebirth after uterus transplantation from a deceased donor in a recipient with uterine infertility.因子宫性不孕行同种异体子宫移植术后活产 1 例
Lancet. 2019 Dec 22;392(10165):2697-2704. doi: 10.1016/S0140-6736(18)31766-5. Epub 2018 Dec 4.
7
Revaluation and lessons learned from the first 9 cases of a Czech uterus transplantation trial: Four deceased donor and 5 living donor uterus transplantations.捷克首例 9 例子宫移植试验的再评估及经验教训:4 例尸肾供体和 5 例活体供体子宫移植。
Am J Transplant. 2019 Mar;19(3):855-864. doi: 10.1111/ajt.15096. Epub 2018 Oct 9.
8
First live birth after uterus transplantation in the United States.美国首例子宫移植后活产。
Am J Transplant. 2018 May;18(5):1270-1274. doi: 10.1111/ajt.14737. Epub 2018 Apr 12.
9
Selecting living donors for uterus transplantation: lessons learned from two transplantations resulting in menstrual functionality and another attempt, aborted after organ retrieval.子宫移植活体供体的选择:从两例实现月经功能的移植手术及另一例在器官获取后中止的尝试中吸取的经验教训。
Arch Gynecol Obstet. 2018 Mar;297(3):675-684. doi: 10.1007/s00404-017-4626-z. Epub 2017 Dec 21.
10
Modified human uterus transplantation using ovarian veins for venous drainage: the first report of surgically successful robotic-assisted uterus procurement and follow-up for 12 months.改良式用人造子宫移植术采用卵巢静脉进行静脉引流:首例机器人辅助子宫获取术成功报告及 12 个月随访。
Fertil Steril. 2017 Aug;108(2):346-356.e1. doi: 10.1016/j.fertnstert.2017.05.039.