• 文献检索
  • 文档翻译
  • 深度研究
  • 学术资讯
  • Suppr Zotero 插件Zotero 插件
  • 邀请有礼
  • 套餐&价格
  • 历史记录
应用&插件
Suppr Zotero 插件Zotero 插件浏览器插件Mac 客户端Windows 客户端微信小程序
定价
高级版会员购买积分包购买API积分包
服务
文献检索文档翻译深度研究API 文档MCP 服务
关于我们
关于 Suppr公司介绍联系我们用户协议隐私条款
关注我们

Suppr 超能文献

核心技术专利:CN118964589B侵权必究
粤ICP备2023148730 号-1Suppr @ 2026

文献检索

告别复杂PubMed语法,用中文像聊天一样搜索,搜遍4000万医学文献。AI智能推荐,让科研检索更轻松。

立即免费搜索

文件翻译

保留排版,准确专业,支持PDF/Word/PPT等文件格式,支持 12+语言互译。

免费翻译文档

深度研究

AI帮你快速写综述,25分钟生成高质量综述,智能提取关键信息,辅助科研写作。

立即免费体验

一名老年免疫功能正常患者的原发性皮肤隐球菌病:病例报告

Primary Cutaneous Cryptococcosis in an Older Immunocompetent Patient: A Case Report.

作者信息

Choi Hoon, Kim Yong Il, Na Chan Ho, Kim Min Sung, Shin Bong Seok

机构信息

Department of Dermatology, Chosun University College of Medicine, Gwangju, Korea.

出版信息

Ann Geriatr Med Res. 2020 Jun;24(2):148-151. doi: 10.4235/agmr.20.0012. Epub 2020 Jun 5.

DOI:10.4235/agmr.20.0012
PMID:32743335
原文链接:https://pmc.ncbi.nlm.nih.gov/articles/PMC7370794/
Abstract

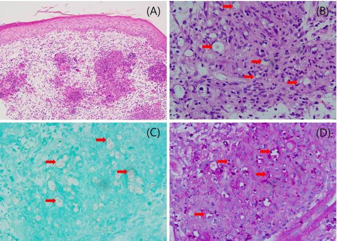
is an encapsulated yeast that can be found in pigeon droppings, hay, and dust. Primary cutaneous cryptococcosis (PCC) without systemic involvement is recognized as a distinct clinical condition and is rarely reported in immunocompetent patients. A 78-year-old woman with no history of other diseases except for hypertension presented with a painful diffuse erythematous plaque along with oozing on left forearm that had lasted for 7 weeks. She was treated with cefoperazone/sulbactam for 3 weeks under suspicion of bacterial cellulitis, although the lesions aggravated without any improvement. We performed bacterial and fungal cultures as well as incisional biopsy. The pathogen was identified as following sequence analysis of the internal transcribed spacer gene. The patient was treated with fluconazole 400 mg/day for 3 months, and there was no evidence of recurrence after 3 months of follow-up.

摘要

是一种包囊酵母菌,可在鸽粪、干草和灰尘中发现。无全身受累的原发性皮肤隐球菌病(PCC)被认为是一种独特的临床病症,在免疫功能正常的患者中很少有报道。一名78岁女性,除高血压外无其他疾病史,左前臂出现疼痛性弥漫性红斑斑块并伴有渗出,持续7周。因怀疑细菌性蜂窝织炎,她接受了3周的头孢哌酮/舒巴坦治疗,但病变加重且无任何改善。我们进行了细菌和真菌培养以及切开活检。经内部转录间隔区基因序列分析,病原体被鉴定为 。患者接受了每天400毫克氟康唑治疗3个月,随访3个月后无复发迹象。

https://cdn.ncbi.nlm.nih.gov/pmc/blobs/3f9e/7370794/e85ab9333cac/agmr-20-0012f3.jpg
https://cdn.ncbi.nlm.nih.gov/pmc/blobs/3f9e/7370794/84759955b844/agmr-20-0012f1.jpg
https://cdn.ncbi.nlm.nih.gov/pmc/blobs/3f9e/7370794/caadee1b090c/agmr-20-0012f2.jpg
https://cdn.ncbi.nlm.nih.gov/pmc/blobs/3f9e/7370794/e85ab9333cac/agmr-20-0012f3.jpg
https://cdn.ncbi.nlm.nih.gov/pmc/blobs/3f9e/7370794/84759955b844/agmr-20-0012f1.jpg
https://cdn.ncbi.nlm.nih.gov/pmc/blobs/3f9e/7370794/caadee1b090c/agmr-20-0012f2.jpg
https://cdn.ncbi.nlm.nih.gov/pmc/blobs/3f9e/7370794/e85ab9333cac/agmr-20-0012f3.jpg

相似文献

1
Primary Cutaneous Cryptococcosis in an Older Immunocompetent Patient: A Case Report.一名老年免疫功能正常患者的原发性皮肤隐球菌病:病例报告
Ann Geriatr Med Res. 2020 Jun;24(2):148-151. doi: 10.4235/agmr.20.0012. Epub 2020 Jun 5.
2
Primary Cutaneous Cryptococcosis due to in an Immunocompetent Host Treated with Itraconazole and Drainage: Case Report and Review of the Literature.免疫功能正常宿主因新型隐球菌感染引发原发性皮肤隐球菌病,采用伊曲康唑及引流治疗:病例报告与文献综述
Case Rep Dermatol. 2021 Feb 4;13(1):89-97. doi: 10.1159/000512289. eCollection 2021 Jan-Apr.
3
Primary Cutaneous Cryptococcosis in an Immunocompetent Patient: Diagnostic Workflow and Choice of Treatment.免疫功能正常患者的原发性皮肤隐球菌病:诊断流程与治疗选择
Diagnostics (Basel). 2023 Oct 7;13(19):3149. doi: 10.3390/diagnostics13193149.
4
Primary cutaneous cryptococcosis in an immunocompetent patient due to Cryptococcus gattii molecular type VGI in Brazil: a case report and review of literature.巴西一名免疫功能正常患者因加蒂隐球菌分子型VGI感染导致的原发性皮肤隐球菌病:病例报告及文献复习
Mycoses. 2014 Jul;57(7):442-7. doi: 10.1111/myc.12176. Epub 2014 Feb 24.
5
Cryptococcosis mimicking cutaneous cellulitis in a patient suffering from rheumatoid arthritis: a case report. cryptococcosis 模仿类风湿关节炎患者的皮肤蜂窝织炎:一例报告。
BMC Infect Dis. 2010 Aug 11;10:239. doi: 10.1186/1471-2334-10-239.
6
Disseminated infection with Cryptococcus neoformans var neoformans in an 8 years immunocompetent girl.一名8岁免疫功能正常女孩发生新型隐球菌新型变种的播散性感染。
Indian J Pediatr. 2005 Jan;72(1):85.
7
Disseminated cutaneous cryptococcosis in an immunocompetent elderly long-term pigeon fancier.免疫功能正常的老年长期养鸽者的播散性皮肤隐球菌病。
J Dermatol. 2020 May;47(5):551-553. doi: 10.1111/1346-8138.15280. Epub 2020 Feb 24.
8
Rapid direct identification of Cryptococcus neoformans from pigeon droppings by nested PCR using CNLAC1 gene.利用 CNLAC1 基因的巢式 PCR 快速直接鉴定鸽粪中的新型隐球菌。
Poult Sci. 2012 Aug;91(8):1983-9. doi: 10.3382/ps.2012-02307.
9
Mediastinal Small Cell Carcinoma with Primary Cutaneous Cryptococcosis: A Rare Case Report.纵隔小细胞癌合并原发性皮肤隐球菌病:一例罕见病例报告
Infect Drug Resist. 2021 Sep 9;14:3693-3697. doi: 10.2147/IDR.S325826. eCollection 2021.
10
Invasive fungal infection by Cryptococcus neoformans var. grubii with bone marrow and meningeal involvement in a HIV-infected patient: a case report.新型隐球菌变种格卢氏菌骨髓和脑膜侵犯合并 HIV 感染患者的侵袭性真菌感染:一例报告。
BMC Infect Dis. 2019 Mar 4;19(1):220. doi: 10.1186/s12879-019-3831-8.

引用本文的文献

1
Mediastinal Small Cell Carcinoma with Primary Cutaneous Cryptococcosis: A Rare Case Report.纵隔小细胞癌合并原发性皮肤隐球菌病:一例罕见病例报告
Infect Drug Resist. 2021 Sep 9;14:3693-3697. doi: 10.2147/IDR.S325826. eCollection 2021.

本文引用的文献

1
Skin Infection Associated with Shaving Activity in a 75-year-old Man.一名75岁男性因剃须活动引发的皮肤感染
Ann Geriatr Med Res. 2018 Dec;22(4):204-207. doi: 10.4235/agmr.18.0034. Epub 2018 Dec 31.
2
The Spectrum of Interactions between and Bacteria.与细菌之间的相互作用谱
J Fungi (Basel). 2019 Apr 12;5(2):31. doi: 10.3390/jof5020031.
3
Multiple cutaneous swellings in an immunocompetent host--cryptococcosis overlooked.免疫功能正常宿主中的多发性皮肤肿块——被忽视的隐球菌病。
Braz J Infect Dis. 2011 Jul-Aug;15(4):394-6.
4
When primary antifungal therapy fails.当一线抗真菌治疗失败时。
Clin Infect Dis. 2008 May 1;46(9):1426-33. doi: 10.1086/587101.
5
Primary cutaneous cryptococcosis: a distinct clinical entity.原发性皮肤隐球菌病:一种独特的临床实体。
Clin Infect Dis. 2003 Feb 1;36(3):337-47. doi: 10.1086/345956. Epub 2003 Jan 17.
6
Practice guidelines for the management of cryptococcal disease. Infectious Diseases Society of America.隐球菌病管理实践指南。美国传染病学会。
Clin Infect Dis. 2000 Apr;30(4):710-8. doi: 10.1086/313757. Epub 2000 Apr 20.
7
Primary cutaneous cryptococcosis: review and morphologic study.原发性皮肤隐球菌病:综述与形态学研究
Am J Clin Pathol. 1972 Jan;57(1):13-22. doi: 10.1093/ajcp/57.1.13.