Suppr超能文献

伪装成巨细胞动脉炎的颞动脉蒙克贝格内侧钙化性硬化症:病例报告及文献综述

Monckeberg Medial Calcific Sclerosis of the Temporal Artery Masquerading as Giant Cell Arteritis: Case Reports and Literature Review.

作者信息

Cuevas Castillo Francisco J, Sujanani Sunam, Chetram Vishaka K, Elfishawi Mohanad, Abrudescu Adriana

机构信息

Medicine, Icahn School of Medicine, Mount Sinai/Queens Hospital Center, New York, USA.

Internal Medicine, NYC Health + Hospitals/Queens, New York, USA.

出版信息

Cureus. 2020 Jul 15;12(7):e9210. doi: 10.7759/cureus.9210.

Abstract

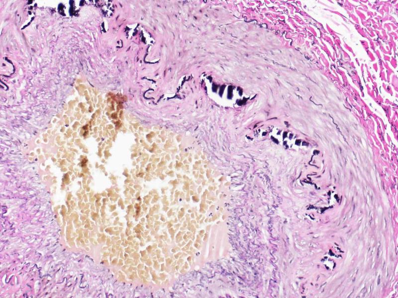
Monckeberg medial calcific sclerosis (MCS) is an infrequent finding in the temporal artery and can clinically present almost indistinguishably from giant cell arteritis (GCA). To our knowledge, there have been only two case reports of suspected GCA found to be MCS only after a temporal artery biopsy (TAB). Herein, we present two cases. The first case is a 69-year-old female with hypertension, type-2 diabetes mellitus, and chronic headaches who presented with left temporal headaches and scalp tenderness. She had a prominently dilated, tortuous, and tender left temporal artery. Initial labs showed a leukocyte count of 11.1x10/L, erythrocyte sedimentation rate (ESR) of 29 mm/hr, and C-reactive protein (CRP) of 5.8 mg/L. The patient was started on prednisone 60 mg for presumptive GCA. Left TAB was negative for inflammatory changes, with findings consistent with MCS. Steroids were discontinued, and symptoms resolved. The second case is a 67-year-old male with hypertension, asthma, hyperlipidemia, status-post left eye cataract phacoemulsification, with intraocular lens insertion one-month prior, who presented with left eye blurriness in the inferior visual field and intermittent headache for 15 days. Left ophthalmoscopy showed retinal pallor and edema. Initial labs revealed ESR of 25 mm/hr, CRP of 11.2 mg/L, leukocyte count of 13.01x10/L. The patient was given solumedrol 120 mg once and prednisone 70 mg daily for presumptive GCA. Left TAB was negative for GCA but reported damaged elastic fibers by calcification consistent with MCS. Partial visual blurriness remained, and steroids were discontinued. This report accentuates the importance of MCS as a temporal GCA simulator. Physicians should be aware that TAB potentially changes management and may help surface underlying conditions.

摘要

蒙克贝格内侧钙化性硬化症(MCS)在颞动脉中并不常见,临床上其表现几乎与巨细胞动脉炎(GCA)无法区分。据我们所知,仅有两例疑似GCA的病例报告,经颞动脉活检(TAB)后才发现是MCS。在此,我们报告两例病例。第一例是一位69岁女性,患有高血压、2型糖尿病和慢性头痛,出现左侧颞部头痛和头皮压痛。她的左侧颞动脉明显扩张、迂曲且有压痛。初始实验室检查显示白细胞计数为11.1×10⁹/L,红细胞沉降率(ESR)为29mm/小时,C反应蛋白(CRP)为5.8mg/L。该患者因疑似GCA开始服用泼尼松60mg。左侧TAB炎症改变为阴性,结果与MCS一致。停用类固醇后,症状缓解。第二例是一位67岁男性,患有高血压、哮喘、高脂血症,左眼白内障超声乳化吸除术后状态,1个月前植入人工晶状体,出现左眼下方视野模糊和间歇性头痛15天。左眼检眼镜检查显示视网膜苍白和水肿。初始实验室检查显示ESR为25mm/小时,CRP为11.2mg/L,白细胞计数为13.01×10⁹/L。该患者因疑似GCA给予甲泼尼龙120mg一次,泼尼松70mg每日。左侧TAB GCA为阴性,但报告有钙化导致的弹性纤维损伤,与MCS一致。部分视力模糊仍存在,停用类固醇。本报告强调了MCS作为颞部GCA模拟物的重要性。医生应意识到TAB可能会改变治疗方案,并有助于发现潜在疾病。

https://cdn.ncbi.nlm.nih.gov/pmc/blobs/b867/7387070/c61868064645/cureus-0012-00000009210-i01.jpg

相似文献

2
Predictive value of positive temporal artery biopsies in patients with clinically suspected giant cell arteritis considering temporal artery ultrasound findings.
Graefes Arch Clin Exp Ophthalmol. 2019 Oct;257(10):2279-2284. doi: 10.1007/s00417-019-04430-y. Epub 2019 Aug 15.
3
An Unusual Case of Giant Cell Arteritis.
Cureus. 2022 Jul 1;14(7):e26483. doi: 10.7759/cureus.26483. eCollection 2022 Jul.
4
From Temporal Cell Arteritis to Giant Cell Aortitis Presenting as a Constitutional Syndrome: A Case Report.
Cureus. 2023 Jan 25;15(1):e34181. doi: 10.7759/cureus.34181. eCollection 2023 Jan.
5
The effect of clinical features and glucocorticoids on biopsy findings in giant cell arteritis.
BMC Musculoskelet Disord. 2016 Aug 24;17(1):363. doi: 10.1186/s12891-016-1225-2.
6
Baseline clinical predictors of an ultimate giant cell arteritis diagnosis in patients referred to temporal artery biopsy.
Clin Rheumatol. 2016 Jul;35(7):1817-22. doi: 10.1007/s10067-016-3221-1. Epub 2016 Mar 1.
7
The role of unilateral temporal artery biopsy.
Ophthalmology. 2003 Mar;110(3):543-8; discussion 548. doi: 10.1016/S0161-6420(02)01758-X.
10
A Case of Giant Cell Arteritis Presenting After COVID-19 Vaccination: Is It Just a Coincidence?
Cureus. 2022 Jan 25;14(1):e21608. doi: 10.7759/cureus.21608. eCollection 2022 Jan.

引用本文的文献

2
Mönckeberg's Disease With Calcified Lower Limb Ischemia in Saudi Arabia: A Rare Case Report and Literature Review.
Cureus. 2023 Apr 30;15(4):e38345. doi: 10.7759/cureus.38345. eCollection 2023 Apr.
3
Monckeberg's Medial Sclerosis as a Cause for Headache and Facial Pain.
Curr Pain Headache Rep. 2021 Jun 4;25(8):50. doi: 10.1007/s11916-021-00965-0.

本文引用的文献

1
Large-vessel giant cell arteritis: diagnosis, monitoring and management.
Rheumatology (Oxford). 2018 Feb 1;57(suppl_2):ii32-ii42. doi: 10.1093/rheumatology/kex424.
2
Radiographic manifestations of Mönckeberg arteriosclerosis in the head and neck region.
Imaging Sci Dent. 2016 Mar;46(1):53-6. doi: 10.5624/isd.2016.46.1.53. Epub 2016 Mar 24.
3
Temporal arteritis with erythrocyte sedimentation rate <50 mm/h: a clinical reminder.
Clin Interv Aging. 2016 Feb 23;11:185-8. doi: 10.2147/CIA.S40919. eCollection 2016.
4
Monckeberg's Arteriosclerosis in Temporal Arteritis Suspect.
Ophthalmology. 2015 Jun;122(6):1186. doi: 10.1016/j.ophtha.2014.12.023.
5
Medial vascular calcification revisited: review and perspectives.
Eur Heart J. 2014 Jun 14;35(23):1515-25. doi: 10.1093/eurheartj/ehu163. Epub 2014 Apr 16.
6
Calciphylaxis: a review.
J Am Col Certif Wound Spec. 2011 Mar 27;2(4):66-72. doi: 10.1016/j.jcws.2011.03.001. eCollection 2010 Dec.
7
Mönckeberg medial calcific sclerosis mimicking giant cell arteritis clinically.
Can J Ophthalmol. 2013 Feb;48(1):71-2. doi: 10.1016/j.jcjo.2012.09.013.
8
Vascular calcifications as a marker of increased cardiovascular risk: a meta-analysis.
Vasc Health Risk Manag. 2009;5(1):185-97. doi: 10.2147/vhrm.s4822. Epub 2009 Apr 8.
9
Media calcification and intima calcification are distinct entities in chronic kidney disease.
Clin J Am Soc Nephrol. 2008 Nov;3(6):1599-605. doi: 10.2215/CJN.02120508. Epub 2008 Sep 24.

文献AI研究员

20分钟写一篇综述,助力文献阅读效率提升50倍。

立即体验

用中文搜PubMed

大模型驱动的PubMed中文搜索引擎

马上搜索

文档翻译

学术文献翻译模型,支持多种主流文档格式。

立即体验