Suppr超能文献

自制金属箭头导致的经眶穿透性颅脑损伤:一例报告。

Transorbital-penetrating intracranial injury due to a homemade metal arrow: A case report.

作者信息

Prasetyo Eko, Oley Maximillian Christian, Sumual Vera, Faruk Muhammad

机构信息

Division of Neurosurgery, Department of Surgery, Faculty of Medicine, University Sam Ratulangi, Manado, Indonesia.

Division of Neurosurgery, Department of Surgery, R. D. Kandou Hospital, Manado, Indonesia.

出版信息

Ann Med Surg (Lond). 2020 Jul 28;57:183-189. doi: 10.1016/j.amsu.2020.07.049. eCollection 2020 Sep.

Abstract

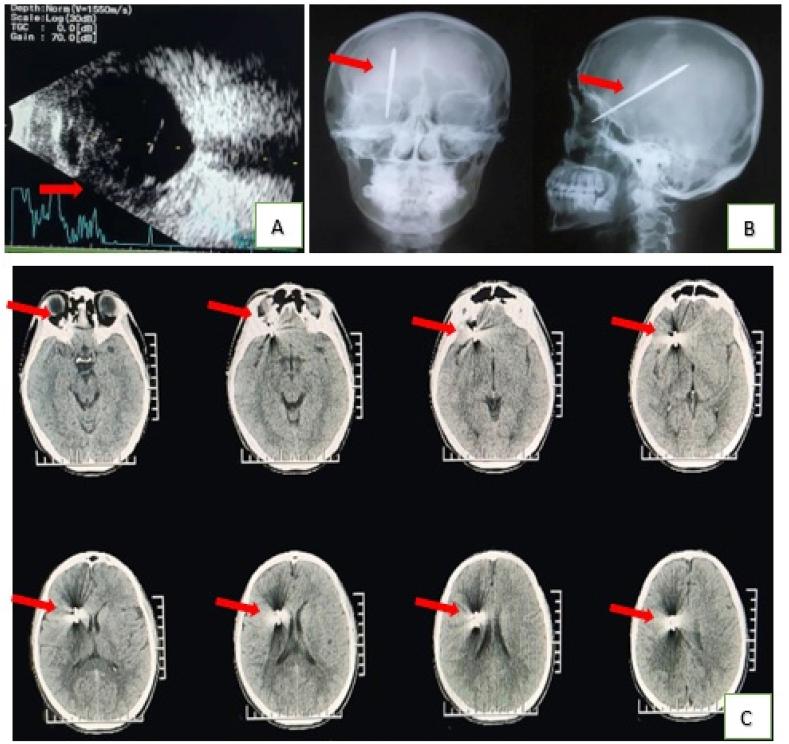
A transorbital-penetrating intracranial injury (TOPI) is an unusual traumatic brain injury. This rare injury has the potential to result in serious and fatal brain damage with a high mortality rate and requires prompt multidisciplinary surgical intervention. Here, we describe an interesting case in which a patient who presented with accidental penetrating injuries of the brain was found to have a transorbital-penetrating intracranial injury (TOPI). We chose an anterior approach to the foreign body above the entrance wound for removal in a retrograde manner with fluoroscopic guidance. The patient remained well with no complications and was discharged on postoperative day 10. Reasonable diagnostic imaging, surgical planning, and careful post-surgery management can increase patients successful outcomes.

摘要

经眶穿透性颅内损伤(TOPI)是一种不常见的创伤性脑损伤。这种罕见的损伤有可能导致严重的致命性脑损伤,死亡率很高,需要迅速进行多学科手术干预。在此,我们描述了一个有趣的病例,一名因意外脑部穿透伤就诊的患者被发现患有经眶穿透性颅内损伤(TOPI)。我们选择在入口伤口上方以逆行方式在荧光透视引导下从前路取出异物。患者恢复良好,无并发症,术后第10天出院。合理的诊断性影像学检查、手术规划和仔细的术后管理可以提高患者的成功预后。

https://cdn.ncbi.nlm.nih.gov/pmc/blobs/9535/7398978/59cee28da79f/gr1.jpg

文献AI研究员

20分钟写一篇综述,助力文献阅读效率提升50倍。

立即体验

用中文搜PubMed

大模型驱动的PubMed中文搜索引擎

马上搜索

文档翻译

学术文献翻译模型,支持多种主流文档格式。

立即体验