Suppr超能文献

摄入致幻的裸盖菇素蘑菇后自伤性经眶颅内异物。

Self-inflicted transorbital intracranial foreign body following ingestion of hallucinogenic psilocybin mushrooms.

作者信息

Blanton Abigail M, Parikh Pooja, Zhou Scott, Mohamed Mohamed, Ufret-Vincenty Rafael L, Mancini Ronald

机构信息

UT Southwestern Medical Center, 5323 Harry Hines Blvd, Dallas, TX, 75390, USA.

Department of Ophthalmology, USA.

出版信息

Am J Ophthalmol Case Rep. 2025 Jun 2;39:102359. doi: 10.1016/j.ajoc.2025.102359. eCollection 2025 Sep.

Abstract

PURPOSE

Self-inflicted penetrating orbital trauma is a rare ophthalmologic emergency requiring timely intervention and neurological monitoring to identify and treat any possible intracranial complications and to prevent irreversible vision loss. This case report aims to describe a fatal case of self-inflicted ocular trauma following the consumption of psilocybin mushrooms, necessitating urgent multidisciplinary care by the ophthalmology and neurosurgery services.

OBSERVATIONS

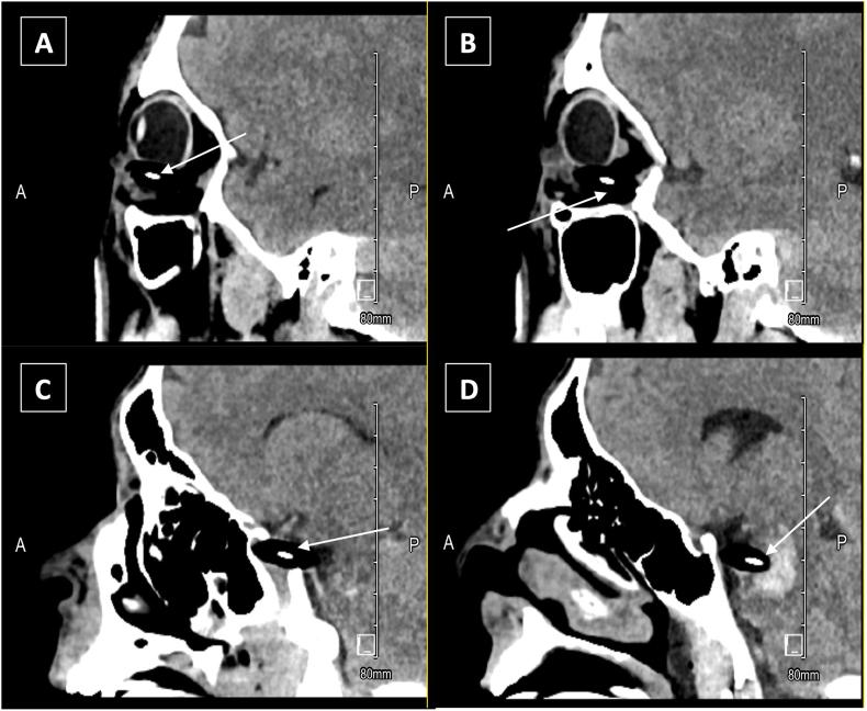
A 21-year-old Hispanic male presented urgently to the emergency department (ED) after self-inflicted ocular trauma with a wood-cased pencil, which was embedded in the upper eyelid and transversed the left orbit, extending to the pons, as depicted on computed tomography (CT). Physical examination of the left eye was difficult due to the risk of displacement of the pencil within the brainstem and concern for further damage. The pencil was successfully removed via fluoroscopy-guided neuro-interventional catheterization and stenting. Following the removal of the foreign body, there was no apparent damage to the globe, and a canthotomy/cantholysis was performed due to increased retro-orbital pressure. The neurovascular damage sustained by the trauma led to a progressive neurological decline in the following days and, ultimately, a fatal outcome.

CONCLUSIONS AND IMPORTANCE

With growing support in the literature for psilocybin and its therapeutic medicinal benefits for conditions such as depression and anxiety, this report details a case of self-inflicted trans-orbital trauma with brainstem injury following ingestion of this psychoactive hallucinogen along with the proper medical and surgical management.

摘要

目的

自我造成的穿透性眼眶外伤是一种罕见的眼科急症,需要及时干预和神经监测,以识别和治疗任何可能的颅内并发症,并防止不可逆转的视力丧失。本病例报告旨在描述一例食用裸盖菇素蘑菇后发生的自我造成的眼部外伤致死病例,需要眼科和神经外科服务进行紧急多学科护理。

观察结果

一名21岁的西班牙裔男性在使用木质铅笔自我造成眼部外伤后紧急前往急诊科(ED),计算机断层扫描(CT)显示铅笔嵌入上眼睑并横穿左眼眼眶,延伸至脑桥。由于铅笔在脑干内移位的风险以及担心进一步损伤,对左眼进行体格检查很困难。通过荧光透视引导的神经介入导管插入术和支架置入术成功取出了铅笔。取出异物后,眼球没有明显损伤,由于眶后压力增加,进行了眦切开术/眦松解术。外伤造成的神经血管损伤在接下来的几天导致神经系统逐渐衰退,最终导致死亡。

结论与重要性

随着文献中对裸盖菇素及其对抑郁症和焦虑症等疾病的治疗益处的支持不断增加,本报告详细介绍了一例摄入这种精神活性致幻剂后发生的自我造成的经眶外伤并伴有脑干损伤的病例以及适当的医疗和手术处理。

https://cdn.ncbi.nlm.nih.gov/pmc/blobs/c23c/12175717/f8f5f1d6460d/gr1.jpg

文献AI研究员

20分钟写一篇综述,助力文献阅读效率提升50倍。

立即体验

用中文搜PubMed

大模型驱动的PubMed中文搜索引擎

马上搜索

文档翻译

学术文献翻译模型,支持多种主流文档格式。

立即体验