• 文献检索
  • 文档翻译
  • 深度研究
  • 学术资讯
  • Suppr Zotero 插件Zotero 插件
  • 邀请有礼
  • 套餐&价格
  • 历史记录
应用&插件
Suppr Zotero 插件Zotero 插件浏览器插件Mac 客户端Windows 客户端微信小程序
定价
高级版会员购买积分包购买API积分包
服务
文献检索文档翻译深度研究API 文档MCP 服务
关于我们
关于 Suppr公司介绍联系我们用户协议隐私条款
关注我们

Suppr 超能文献

核心技术专利:CN118964589B侵权必究
粤ICP备2023148730 号-1Suppr @ 2026

文献检索

告别复杂PubMed语法,用中文像聊天一样搜索,搜遍4000万医学文献。AI智能推荐,让科研检索更轻松。

立即免费搜索

文件翻译

保留排版,准确专业,支持PDF/Word/PPT等文件格式,支持 12+语言互译。

免费翻译文档

深度研究

AI帮你快速写综述,25分钟生成高质量综述,智能提取关键信息,辅助科研写作。

立即免费体验

中国大陆一例由眼眶蜂窝织炎引起的渗出性视网膜脱离病例报告。

A case report of exudative retinal detachment derived from orbital cellulitis in mainland China.

作者信息

Song Wei, Du Cheng, Zhang Yongjie

机构信息

Department of Ophthalmology, Jiaxing Hospital of Traditional Chinese Medicine, Zhongshan East Road 1501, Nanhu District, Jiaxing, 314001, Zhejiang Province, PR China.

出版信息

BMC Ophthalmol. 2020 Aug 17;20(1):332. doi: 10.1186/s12886-020-01596-6.

DOI:10.1186/s12886-020-01596-6
PMID:32807110
原文链接:https://pmc.ncbi.nlm.nih.gov/articles/PMC7433059/
Abstract

BACKGROUND

Orbital cellulitis is a rare cause of exudative retinal detachment. Hereby, we aimed to report the first case of exudative retinal detachment derived from orbital cellulitis in mainland China.

CASE PRESENTATION

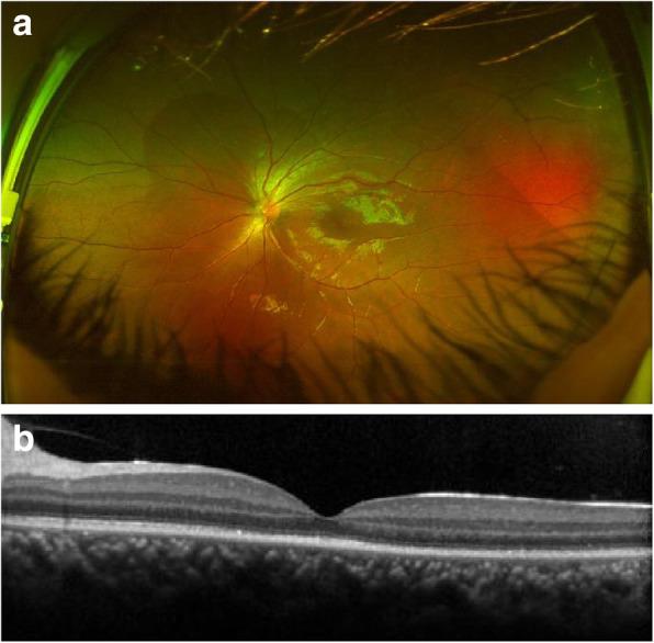
A 16-year-old girl developed severe left orbital cellulitis in 4 days. Two exudative retinal detachment lesions were presented in her left eye retina. Blood cultures were performed which identified Staphylococcus aureus. However, the cause for the orbital cellulitis was not idenitfied in this patient. Systemic application of antibiotics together with topical antibiotics and corticosteroid was effective to the improvement of orbital cellulitis and resolution of exudative retinal detachment.

CONCLUSIONS

The treatment of such clinical condition is that of orbital cellulitis in general. The exudative retinal detachment can resolve to a great extent upon cure of the underlying disease, followed by visual acuity recovery.

摘要

背景

眼眶蜂窝织炎是渗出性视网膜脱离的罕见病因。在此,我们旨在报告中国大陆首例由眼眶蜂窝织炎引起的渗出性视网膜脱离病例。

病例介绍

一名16岁女孩在4天内患上严重的左眼眶蜂窝织炎。其左眼视网膜出现两个渗出性视网膜脱离病灶。进行了血培养,鉴定出金黄色葡萄球菌。然而,该患者眼眶蜂窝织炎的病因未明确。全身应用抗生素以及局部应用抗生素和皮质类固醇对改善眼眶蜂窝织炎和消退渗出性视网膜脱离有效。

结论

这种临床情况的治疗一般为眼眶蜂窝织炎的治疗。潜在疾病治愈后,渗出性视网膜脱离可在很大程度上消退,随后视力恢复。

https://cdn.ncbi.nlm.nih.gov/pmc/blobs/c323/7433059/1ac98e4149ee/12886_2020_1596_Fig2_HTML.jpg
https://cdn.ncbi.nlm.nih.gov/pmc/blobs/c323/7433059/7ef3cfb7ac6d/12886_2020_1596_Fig1_HTML.jpg
https://cdn.ncbi.nlm.nih.gov/pmc/blobs/c323/7433059/1ac98e4149ee/12886_2020_1596_Fig2_HTML.jpg
https://cdn.ncbi.nlm.nih.gov/pmc/blobs/c323/7433059/7ef3cfb7ac6d/12886_2020_1596_Fig1_HTML.jpg
https://cdn.ncbi.nlm.nih.gov/pmc/blobs/c323/7433059/1ac98e4149ee/12886_2020_1596_Fig2_HTML.jpg

相似文献

1
A case report of exudative retinal detachment derived from orbital cellulitis in mainland China.中国大陆一例由眼眶蜂窝织炎引起的渗出性视网膜脱离病例报告。
BMC Ophthalmol. 2020 Aug 17;20(1):332. doi: 10.1186/s12886-020-01596-6.
2
Orbital cellulitis with exudative retinal detachment.眼眶蜂窝织炎伴渗出性视网膜脱离。
Br J Ophthalmol. 1957 May;41(5):317-9. doi: 10.1136/bjo.41.5.317.
3
Bilateral exudative retinal detachment in a child with orbital pseudotumor.一名患有眼眶假瘤的儿童出现双侧渗出性视网膜脱离。
J Pediatr Ophthalmol Strabismus. 2007 May-Jun;44(3):183-6. doi: 10.3928/0191-3913-20070301-14.
4
EXUDATIVE RETINAL DETACHMENT AS THE PRESENTING FEATURE OF TUBEROUS SCLEROSIS COMPLEX.渗出性视网膜脱离作为结节性硬化症复合体的首发特征
Retin Cases Brief Rep. 2016 Spring;10(2):121-6. doi: 10.1097/ICB.0000000000000155.
5
Spontaneously resolved exudative retinal detachment caused by orbital cellulitis in an immunocompromised adult.免疫功能低下的成年人眼眶蜂窝织炎所致自发性消退的渗出性视网膜脱离
Eye (Lond). 2014 Jan;28(1):109-10. doi: 10.1038/eye.2013.243. Epub 2013 Nov 15.
6
Orbital cellulitis with panophthalmitis and scleral necrosis - a case report.眶蜂窝织炎伴全眼球炎和巩膜坏死-病例报告。
BMC Ophthalmol. 2023 Nov 13;23(1):452. doi: 10.1186/s12886-023-03193-9.
7
Exudative retinal detachment in COVID-19 - associated rhino-orbital mucormycosis - A rare clinical finding.COVID-19 相关的鼻-眶-脑毛霉菌病伴渗出性视网膜脱离——一种罕见的临床表现。
Indian J Ophthalmol. 2021 Sep;69(9):2535-2537. doi: 10.4103/ijo.IJO_1729_21.
8
Bilateral exudative retinal detachments as the presenting features of idiopathic orbital inflammation.双侧渗出性视网膜脱离作为特发性眼眶炎症的表现特征。
Clin Exp Ophthalmol. 2005 Dec;33(6):671-4. doi: 10.1111/j.1442-9071.2005.01126.x.
9
[Exudative retinal detachment in intraorbital echinococcal cyst].[眼眶棘球蚴囊肿所致渗出性视网膜脱离]
Klin Monbl Augenheilkd. 1994 Aug;205(2):109-11. doi: 10.1055/s-2008-1045501.
10
Atypical presentations of orbital cellulitis caused by methicillin-resistant Staphylococcus aureus.耐甲氧西林金黄色葡萄球菌引起的眼眶蜂窝织炎的非典型表现。
Ophthalmology. 2012 Jun;119(6):1238-43. doi: 10.1016/j.ophtha.2012.01.010. Epub 2012 Mar 9.

本文引用的文献

1
Effectiveness and Safety of Intravitreal Dexamethasone Implant (Ozurdex) in Patients with Diabetic Macular Edema: A Real-World Experience.玻璃体内注射地塞米松植入剂(Ozurdex)治疗糖尿病性黄斑水肿患者的有效性和安全性:一项真实世界研究。
Ophthalmologica. 2019;241(1):9-16. doi: 10.1159/000492132. Epub 2018 Nov 8.
2
DEXAMETHASONE IMPLANT FOR DIABETIC MACULAR EDEMA IN NAIVE COMPARED WITH REFRACTORY EYES: The International Retina Group Real-Life 24-Month Multicenter Study. The IRGREL-DEX Study.地塞米松植入物治疗初治与难治性糖尿病性黄斑水肿眼的比较:国际视网膜专家组真实世界 24 个月多中心研究。IRGREL-DEX 研究。
Retina. 2019 Jan;39(1):44-51. doi: 10.1097/IAE.0000000000002196.
3
Progression of diabetic retinopathy severity after treatment with dexamethasone implant: a 24-month cohort study the 'DR-Pro-DEX Study'.
地塞米松植入物治疗后糖尿病视网膜病变严重程度的进展:一项 24 个月的队列研究——“DR-Pro-DEX 研究”。
Acta Diabetol. 2018 Jun;55(6):541-547. doi: 10.1007/s00592-018-1117-z. Epub 2018 Mar 1.
4
Orbital cellulitis.眶蜂窝织炎。
Surv Ophthalmol. 2018 Jul-Aug;63(4):534-553. doi: 10.1016/j.survophthal.2017.12.001. Epub 2017 Dec 15.
5
Exudative retinal detachment.渗出性视网膜脱离。
Surv Ophthalmol. 2017 Nov-Dec;62(6):723-769. doi: 10.1016/j.survophthal.2017.05.001. Epub 2017 May 13.
6
Spontaneously resolved exudative retinal detachment caused by orbital cellulitis in an immunocompromised adult.免疫功能低下的成年人眼眶蜂窝织炎所致自发性消退的渗出性视网膜脱离
Eye (Lond). 2014 Jan;28(1):109-10. doi: 10.1038/eye.2013.243. Epub 2013 Nov 15.
7
Our experience using primary oral antibiotics in the management of orbital cellulitis in a tertiary referral centre.我们在一家三级转诊中心使用初级口服抗生素治疗眶蜂窝织炎的经验。
Eye (Lond). 2009 Mar;23(3):612-5. doi: 10.1038/eye.2008.44. Epub 2008 Feb 29.
8
Orbital cellulitis associated with combined retinal and choroidal detachments.伴有视网膜和脉络膜联合脱离的眼眶蜂窝织炎。
Eye (Lond). 2007 Jul;21(7):1009-10. doi: 10.1038/sj.eye.6702815. Epub 2007 Apr 20.
9
Orbital cellulitis with exudative retinal detachment.眼眶蜂窝织炎伴渗出性视网膜脱离。
Br J Ophthalmol. 1957 May;41(5):317-9. doi: 10.1136/bjo.41.5.317.