Suppr超能文献

短转子间钉的远端锁定:静态、动态还是不锁定?文献综述及决策算法

Distal interlocking for short trochanteric nails: static, dynamic or no locking? Review of the literature and decision algorithm.

作者信息

Buruian Alexei, Silva Gomes Francisco, Roseiro Tiago, Vale Claudia, Carvalho André, Seiça Emanuel, Mendes Antonio, Pereira Carlos

机构信息

Hospital Distrital da Figueira da Foz, Figueira Da Foz, Portugal.

出版信息

EFORT Open Rev. 2020 Aug 1;5(7):421-429. doi: 10.1302/2058-5241.5.190045. eCollection 2020 Jul.

Abstract

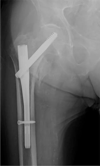
Pertrochanteric hip fractures are among the most common and the use of short cephalomedullary nails as the treatment of choice is increasing.A systematic review regarding distal locking options for short cephalomedullary nails was undertaken using Medline/PubMed®, Embase® and Cochrane Library® in order to evaluate current indications, associated complications and to provide treatment recommendations.The results seem to support the use of distal static locking for unstable fractures, dynamic locking for length stable/rotational unstable fractures and no locking for stable fractures.Complications associated with distal locking include iatrogenic fractures, thigh pain, delayed union and nonunion, implant failure, screw loosening and breaking, drill bit breaking, soft tissue irritation, femoral artery branch injury, intramuscular haematoma and compartment syndrome. It is also associated with longer operative time and radiation exposure.In unlocked constructs, dorsomedial comminution and nail/medullary canal mismatch contribute to peri-implant fractures. Anterior cortical impingement is associated with cut-out and nonunion.Most studies comparing distally locked and unlocked nails report a short follow-up.Distal locking mode should be based on the fracture's stability. Cite this article: 2020;5:421-429. DOI: 10.1302/2058-5241.5.190045.

摘要

转子周围髋部骨折是最常见的骨折之一,使用短髓内钉作为首选治疗方法的情况正在增加。我们使用Medline/PubMed®、Embase®和Cochrane图书馆®对短髓内钉的远端锁定选择进行了系统评价,以评估当前的适应证、相关并发症并提供治疗建议。结果似乎支持对不稳定骨折采用远端静态锁定,对长度稳定/旋转不稳定骨折采用动态锁定,对稳定骨折不进行锁定。与远端锁定相关的并发症包括医源性骨折、大腿疼痛、延迟愈合和不愈合、植入物失败、螺钉松动和断裂、钻头断裂、软组织刺激、股动脉分支损伤、肌内血肿和骨筋膜室综合征。它还与更长的手术时间和辐射暴露有关。在非锁定结构中,背内侧粉碎和钉/髓腔不匹配会导致植入物周围骨折。前皮质撞击与穿出和不愈合有关。大多数比较远端锁定和非锁定髓内钉的研究报告的随访时间较短。远端锁定方式应基于骨折的稳定性。引用本文:2020;5:421 - 429。DOI:10.1302/2058 - 5241.5.190045。

https://cdn.ncbi.nlm.nih.gov/pmc/blobs/7f0a/7407850/186aebb58ecc/eor-5-421-g001.jpg

文献AI研究员

20分钟写一篇综述,助力文献阅读效率提升50倍。

立即体验

用中文搜PubMed

大模型驱动的PubMed中文搜索引擎

马上搜索

文档翻译

学术文献翻译模型,支持多种主流文档格式。

立即体验