Besteiro Bruno, Gomes Filipa, Costa Cláudia, Portugal Raquel, Garrido Isabel, Almeida Jorge
Internal Medicine Department, Centro Hospitalar e Universitário de São João, Oporto, Portugal.
Oncology Department, Instituto Português de Oncologia de Coimbra, Coimbra, Portugal.
Case Rep Gastrointest Med. 2020 Aug 4;2020:7394928. doi: 10.1155/2020/7394928. eCollection 2020.
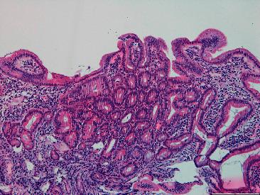
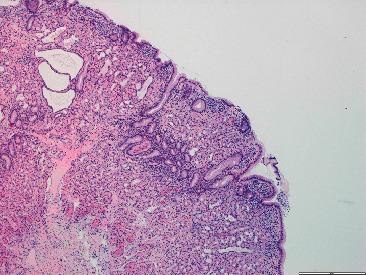
Gardner's syndrome is an autosomal dominant disease caused by a mutation in the gene with 20-30% of cases presenting de novo. This entity is a variant of familial adenomatous polyposis, with a prevalence of 3/100,000 habitants. It may present as early as 2 months of age with a variety of both colonic and extracolonic symptoms. We report a case of a 21-year-old man, without any known family history, presenting with microcytic hypochromic anemia and constitutional symptoms for two months. Ultimately, after the etiological study, Gardner syndrome diagnosis was established as an index primary familiar case. Gardner syndrome is a clinical challenge which requires a prompt suspicion in order to reach its diagnosis. Given the malignant evolution of adenomas in 100% of untreated patients, early identification of extraintestinal manifestations (identifiable prior to colonic symptoms) is of the essence. A consequent endoscopic study to confirm gastrointestinal involvement is essential for a more favorable prognosis.
加德纳综合征是一种常染色体显性疾病,由该基因的突变引起,20%至30%的病例为新发。该病症是家族性腺瘤性息肉病的一种变体,发病率为十万分之三。它最早可在2个月大时出现,伴有多种结肠和结肠外症状。我们报告一例21岁男性病例,无任何已知家族病史,出现小细胞低色素性贫血和全身症状达两个月。最终,经过病因学研究,加德纳综合征被诊断为原发性家族性病例。加德纳综合征是一项临床挑战,需要迅速怀疑以便做出诊断。鉴于100%未经治疗的患者腺瘤会发生恶性演变,早期识别肠外表现(在结肠症状出现之前即可识别)至关重要。因此,进行内镜检查以确认胃肠道受累对于获得更良好的预后至关重要。