Suppr超能文献

加德纳综合征

Gardner's Syndrome.

作者信息

Panjwani Sapna, Bagewadi Anjana, Keluskar Vaishali, Arora Saurabh

机构信息

Department of Oral Medicine and Radiology, Institute of Dental Studies and Technologies, Kadrabad, Modinagar, Ghaziabad, Uttar Pradesh, India.

出版信息

J Clin Imaging Sci. 2011;1:65. doi: 10.4103/2156-7514.92187. Epub 2011 Dec 31.

Abstract

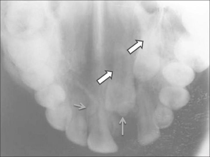
Gardner's syndrome is an autosomal dominant disease and is a subtype of familial adenomatous polyposis. It is characterized by adenomatous intestinal polyps, multiple osteomas in the skull, maxillae, mandible, and multiple cutaneous and subcutaneous masses (epidermoids and desmoid). Intestinal polyps, if not treated, have 100% chance of becoming malignant. We report a case of a 25-year-old female patient with Gardner's syndrome, with clinical manifestations including impacted supernumerary teeth, odontomes, sebaceous cyst on the scalp, and osteomas. It is important for the general dental practitioners to be aware of the clinical and radiological characteristics of Gardner's syndrome.

摘要

加德纳综合征是一种常染色体显性疾病,是家族性腺瘤性息肉病的一种亚型。其特征为肠道腺瘤性息肉、颅骨、上颌骨、下颌骨的多发性骨瘤以及多发性皮肤和皮下肿物(表皮样囊肿和硬纤维瘤)。肠道息肉若不治疗,恶变几率为100%。我们报告一例25岁加德纳综合征女性患者,临床表现包括阻生多生牙、牙瘤、头皮皮脂腺囊肿和骨瘤。普通牙科医生了解加德纳综合征的临床和放射学特征很重要。

https://cdn.ncbi.nlm.nih.gov/pmc/blobs/93f9/3279692/5b2e4e48f42e/JCIS-1-65-g002.jpg

文献检索

告别复杂PubMed语法,用中文像聊天一样搜索,搜遍4000万医学文献。AI智能推荐,让科研检索更轻松。

立即免费搜索

文件翻译

保留排版,准确专业,支持PDF/Word/PPT等文件格式,支持 12+语言互译。

免费翻译文档

深度研究

AI帮你快速写综述,25分钟生成高质量综述,智能提取关键信息,辅助科研写作。

立即免费体验