Suppr超能文献

利用胸部CT扫描图像鉴别新型冠状病毒肺炎感染与脂肪栓塞:1例临床病例

Use of chest CT-scan images to differentiate between SARS-CoV-2 infection and fat embolism: A clinical case.

作者信息

Agbelele Penance, Van Maris François, Sanguina Mario, Zerkly Bachar, Djebara Az-Eddine, Girard Pierre

机构信息

Orthopedic Surgery and Traumatology Department, South Oise Hospital Group, Creil, France.

Medical Imaging Department, South Oise Hospital Group, Creil, France.

出版信息

Radiol Case Rep. 2020 Oct;15(10):2047-2050. doi: 10.1016/j.radcr.2020.07.071. Epub 2020 Jul 30.

Abstract

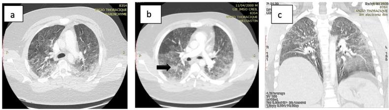
The authors present the case of a young man victim of a traffic accident during the SARS-CoV-2 confinement, having presented a fracture of the femoral shaft that was soon complicated by respiratory failure with oxygen desaturation. In this pandemic context, Covid-19 RT-PCR tests were carried out but returned negative. The CT images could suggest either a fatty embolism, a SARS-CoV-2 infection or both. The patient's condition improved significantly after going into intensive care and only symptomatic treatment. This case demonstrates the difficulty of differential interpretation of CT images between fatty embolism and SARS-CoV-2 infection.

摘要

作者介绍了一名年轻男子的病例,该男子在SARS-CoV-2疫情封锁期间遭遇交通事故,出现股骨干骨折,随后很快并发呼吸衰竭和氧饱和度下降。在这种大流行背景下,进行了新冠病毒逆转录聚合酶链反应(Covid-19 RT-PCR)检测,但结果为阴性。CT图像可能提示脂肪栓塞、SARS-CoV-2感染或两者皆有。患者在进入重症监护并仅接受对症治疗后病情显著改善。该病例表明脂肪栓塞和SARS-CoV-2感染在CT图像鉴别诊断上存在困难。

https://cdn.ncbi.nlm.nih.gov/pmc/blobs/dbfb/7475223/9ccef47100d2/gr1.jpg

文献AI研究员

20分钟写一篇综述,助力文献阅读效率提升50倍。

立即体验

用中文搜PubMed

大模型驱动的PubMed中文搜索引擎

马上搜索

文档翻译

学术文献翻译模型,支持多种主流文档格式。

立即体验