• 文献检索
  • 文档翻译
  • 深度研究
  • 学术资讯
  • Suppr Zotero 插件Zotero 插件
  • 邀请有礼
  • 套餐&价格
  • 历史记录
应用&插件
Suppr Zotero 插件Zotero 插件浏览器插件Mac 客户端Windows 客户端微信小程序
定价
高级版会员购买积分包购买API积分包
服务
文献检索文档翻译深度研究API 文档MCP 服务
关于我们
关于 Suppr公司介绍联系我们用户协议隐私条款
关注我们

Suppr 超能文献

核心技术专利:CN118964589B侵权必究
粤ICP备2023148730 号-1Suppr @ 2026

文献检索

告别复杂PubMed语法,用中文像聊天一样搜索,搜遍4000万医学文献。AI智能推荐,让科研检索更轻松。

立即免费搜索

文件翻译

保留排版,准确专业,支持PDF/Word/PPT等文件格式,支持 12+语言互译。

免费翻译文档

深度研究

AI帮你快速写综述,25分钟生成高质量综述,智能提取关键信息,辅助科研写作。

立即免费体验

新型冠状病毒肺炎与重症肌无力并存:一例病例报告及文献综述

COVID-19 Presentation in Association with Myasthenia Gravis: A Case Report and Review of the Literature.

作者信息

Aksoy Elif, Oztutgan Turgut

机构信息

Department of Pulmonology, Kolan International Hospital, Merkez, Kaptanpaşa Mahallesi Okmeydanı Kavşağı, Darülaceze Cd. No. 14, 34384 Okmeydanı Şişli, İstanbul, Turkey.

出版信息

Case Rep Infect Dis. 2020 Aug 17;2020:8845844. doi: 10.1155/2020/8845844. eCollection 2020.

DOI:10.1155/2020/8845844
PMID:32850160
原文链接:https://pmc.ncbi.nlm.nih.gov/articles/PMC7436352/
Abstract

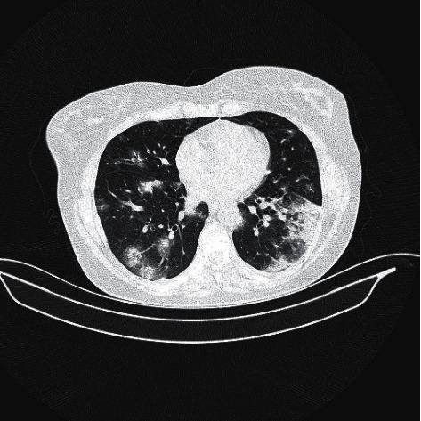
Currently, there are scarce data on how COVID-19 affects people with myasthenia gravis. Theoretically, there is a higher risk of experiencing severe manifestations of COVID-19 due to the common use of immunosuppressive drugs and potential respiratory failure in relation to respiratory muscle weakness. This is one of the early cases of COVID-19 reported in association with myasthenia gravis. Here, we highlight the prognosis, discuss the pathophysiological mechanisms, and prompt the consideration of convalescent plasma therapy in myasthenia gravis patients with concomitant COVID-19.

摘要

目前,关于新冠病毒病(COVID-19)如何影响重症肌无力患者的数据很少。从理论上讲,由于免疫抑制药物的普遍使用以及与呼吸肌无力相关的潜在呼吸衰竭,发生COVID-19严重表现的风险更高。这是报告的与重症肌无力相关的COVID-19早期病例之一。在此,我们强调预后,讨论病理生理机制,并促使考虑对合并COVID-19的重症肌无力患者采用恢复期血浆治疗。

https://cdn.ncbi.nlm.nih.gov/pmc/blobs/126e/7436352/3b35bb9b4b11/CRIID2020-8845844.002.jpg
https://cdn.ncbi.nlm.nih.gov/pmc/blobs/126e/7436352/4d7a8f172482/CRIID2020-8845844.001.jpg
https://cdn.ncbi.nlm.nih.gov/pmc/blobs/126e/7436352/3b35bb9b4b11/CRIID2020-8845844.002.jpg
https://cdn.ncbi.nlm.nih.gov/pmc/blobs/126e/7436352/4d7a8f172482/CRIID2020-8845844.001.jpg
https://cdn.ncbi.nlm.nih.gov/pmc/blobs/126e/7436352/3b35bb9b4b11/CRIID2020-8845844.002.jpg

相似文献

1
COVID-19 Presentation in Association with Myasthenia Gravis: A Case Report and Review of the Literature.新型冠状病毒肺炎与重症肌无力并存:一例病例报告及文献综述
Case Rep Infect Dis. 2020 Aug 17;2020:8845844. doi: 10.1155/2020/8845844. eCollection 2020.
2
Myasthenia Gravis and COVID-19 - A Clinical Checkmate.重症肌无力与新型冠状病毒肺炎——临床困局
Anesth Essays Res. 2021 Oct-Dec;15(4):457-459. doi: 10.4103/aer.aer_129_21. Epub 2022 Mar 8.
3
Clinical forms of acquired myasthenia gravis in dogs: 25 cases (1988-1995).犬获得性重症肌无力的临床症状:25例病例(1988 - 1995年)
J Vet Intern Med. 1997 Mar-Apr;11(2):50-7. doi: 10.1111/j.1939-1676.1997.tb00073.x.
4
[Exacerbation of pseudoparalytic myasthenia gravis following azithromycin (Zithromax)].[阿奇霉素(希舒美)治疗后假性麻痹性重症肌无力加重]
Schweiz Med Wochenschr. 1996 Feb 24;126(8):308-10.
5
Combined Guillain-Barré syndrome and myasthenia gravis.吉兰-巴雷综合征合并重症肌无力。
Brain Dev. 2013 Oct;35(9):865-9. doi: 10.1016/j.braindev.2012.10.016. Epub 2012 Nov 22.
6
Myasthenia Gravis Associated With COVID-19 Infection.与新型冠状病毒肺炎感染相关的重症肌无力
Cureus. 2023 May 25;15(5):e39506. doi: 10.7759/cureus.39506. eCollection 2023 May.
7
Ocular myasthenia gravis: response to long-term immunosuppressive treatment.眼肌型重症肌无力:长期免疫抑制治疗的反应
J Neurol Neurosurg Psychiatry. 1997 Feb;62(2):156-62. doi: 10.1136/jnnp.62.2.156.
8
Myasthenia gravis.重症肌无力
Dis Mon. 1997 Feb;43(2):65-109. doi: 10.1016/s0011-5029(97)90033-x.
9
Selective Type 2 Respiratory Failure Followed by Ocular Myasthenia Gravis Diagnosed by Ice Pack Test: A Case Report.冰敷试验诊断为重症肌无力继发选择性Ⅱ型呼吸衰竭:一例报告
Cureus. 2019 Jun 17;11(6):e4927. doi: 10.7759/cureus.4927.
10
Myasthenia gravis and upper airway obstruction.重症肌无力与上气道梗阻
Chest. 1996 Feb;109(2):400-4. doi: 10.1378/chest.109.2.400.

引用本文的文献

1
Chloroquine: Rapidly withdrawing from first-line treatment of COVID-19.氯喹:迅速退出新冠病毒病一线治疗。
Heliyon. 2024 Aug 28;10(17):e37098. doi: 10.1016/j.heliyon.2024.e37098. eCollection 2024 Sep 15.
2
A Case Report and Literature Review of New-Onset Myasthenia Gravis After COVID-19 Infection.新冠病毒感染后新发重症肌无力的病例报告及文献综述
Cureus. 2022 Dec 28;14(12):e33048. doi: 10.7759/cureus.33048. eCollection 2022 Dec.
3
COVID-19 and myasthenia gravis: A review of neurological implications of the SARS-COV-2.

本文引用的文献

1
Proactive Prophylaxis With Azithromycin and HydroxyChloroquine in Hospitalised Patients With COVID-19 (ProPAC-COVID): A structured summary of a study protocol for a randomised controlled trial.阿奇霉素和羟氯喹对新冠肺炎住院患者的前瞻性预防(ProPAC-COVID):一项随机对照试验研究方案的结构化总结
Trials. 2020 Jun 10;21(1):513. doi: 10.1186/s13063-020-04409-9.
2
COVID-19 in Refractory Myasthenia Gravis- A Case Report of Successful Outcome.COVID-19 合并难治性重症肌无力:成功治疗 1 例报告
J Neuromuscul Dis. 2020;7(3):361-364. doi: 10.3233/JND-200520.
3
Myasthenic crisis in COVID-19.
新型冠状病毒肺炎与重症肌无力:对 SARS-CoV-2 的神经影响的综述。
Brain Behav. 2022 Dec;12(12):e2789. doi: 10.1002/brb3.2789. Epub 2022 Oct 28.
4
The relationship between myasthenia gravis and COVID-19: a systematic review.重症肌无力与2019冠状病毒病的关系:一项系统综述。
Egypt J Neurol Psychiatr Neurosurg. 2022;58(1):83. doi: 10.1186/s41983-022-00516-3. Epub 2022 Jul 7.
5
Acute neuromuscular syndromes with respiratory failure during COVID-19 pandemic: Where we stand and challenges ahead.急性神经肌肉综合征伴 COVID-19 大流行期间呼吸衰竭:现状与未来挑战。
J Clin Neurosci. 2022 Jul;101:264-275. doi: 10.1016/j.jocn.2022.03.048. Epub 2022 Apr 29.
6
New-onset myasthenia gravis after novel coronavirus 2019 infection.2019新型冠状病毒感染后新发重症肌无力
Respirol Case Rep. 2022 May 22;10(6):e0978. doi: 10.1002/rcr2.978. eCollection 2022 Jun.
7
Myasthenia Gravis and COVID-19 - A Clinical Checkmate.重症肌无力与新型冠状病毒肺炎——临床困局
Anesth Essays Res. 2021 Oct-Dec;15(4):457-459. doi: 10.4103/aer.aer_129_21. Epub 2022 Mar 8.
8
TREATMENT OF MYASTHENIA GRAVIS PATIENTS WITH COVID-19: REVIEW OF THE LITERATURE.COVID-19 治疗重症肌无力患者:文献综述。
Acta Clin Croat. 2022 Feb;60(3):496-509. doi: 10.20471/acc.2021.60.03.21.
9
Characteristics, treatment, and outcomes of Myasthenia Gravis in COVID-19 patients: A systematic review.COVID-19 患者中重症肌无力的特征、治疗和结局:一项系统评价。
Clin Neurol Neurosurg. 2022 Feb;213:107140. doi: 10.1016/j.clineuro.2022.107140. Epub 2022 Jan 22.
10
Clinical course and outcome of an outpatient clinic population with myasthenia gravis and COVID-19.门诊重症肌无力和 COVID-19 患者的临床过程和转归。
Muscle Nerve. 2022 Apr;65(4):447-452. doi: 10.1002/mus.27497. Epub 2022 Feb 9.
新冠病毒相关性肌无力危象。
J Neurol Sci. 2020 Jul 15;414:116888. doi: 10.1016/j.jns.2020.116888. Epub 2020 May 6.
4
COVID-19 in patients with myasthenia gravis.COVID-19 与重症肌无力。
Muscle Nerve. 2020 Aug;62(2):254-258. doi: 10.1002/mus.26918. Epub 2020 May 22.
5
A glimpse into the eye of the COVID-19 cytokine storm.一窥新冠病毒细胞因子风暴的本质。
EBioMedicine. 2020 May;55:102789. doi: 10.1016/j.ebiom.2020.102789. Epub 2020 May 7.
6
Covid-19, induced activation of hemostasis, and immune reactions: Can an auto-immune reaction contribute to the delayed severe complications observed in some patients?新冠病毒19、诱导的止血激活和免疫反应:自身免疫反应是否会导致某些患者出现延迟性严重并发症?
Transfus Apher Sci. 2020 Jun;59(3):102804. doi: 10.1016/j.transci.2020.102804. Epub 2020 May 3.
7
Impact of corticosteroid therapy on outcomes of persons with SARS-CoV-2, SARS-CoV, or MERS-CoV infection: a systematic review and meta-analysis.皮质类固醇治疗对 SARS-CoV-2、SARS-CoV 或 MERS-CoV 感染患者结局的影响:系统评价和荟萃分析。
Leukemia. 2020 Jun;34(6):1503-1511. doi: 10.1038/s41375-020-0848-3. Epub 2020 May 5.
8
Cytokine storm intervention in the early stages of COVID-19 pneumonia.COVID-19 肺炎早期的细胞因子风暴干预。
Cytokine Growth Factor Rev. 2020 Jun;53:38-42. doi: 10.1016/j.cytogfr.2020.04.002. Epub 2020 Apr 25.
9
Guidance for the care of neuromuscular patients during the COVID-19 pandemic outbreak from the French Rare Health Care for Neuromuscular Diseases Network.法国罕见神经肌肉疾病护理网络在 COVID-19 大流行期间对神经肌肉患者护理的指导意见。
Rev Neurol (Paris). 2020 Jun;176(6):507-515. doi: 10.1016/j.neurol.2020.04.004. Epub 2020 Apr 20.
10
Eculizumab treatment in patients with COVID-19: preliminary results from real life ASL Napoli 2 Nord experience.COVID-19 患者的依库珠单抗治疗:来自 ASL Napoli 2 Nord 真实经验的初步结果。
Eur Rev Med Pharmacol Sci. 2020 Apr;24(7):4040-4047. doi: 10.26355/eurrev_202004_20875.