Suppr超能文献

一名未确诊的HIV阳性患者腮腺切除术后复发性淋巴上皮囊肿

Recurrent lymphoepithelial cysts after parotidectomy in an undiagnosed HIV-positive patient.

作者信息

Wu Gregory, Yousaf Azeem, Kessler Evan, Seitelman Eric, Datta Rajiv

机构信息

School of Medicine, Ross University, Miramar, FL 33026, USA.

Department of Surgery, Mount Sinai South Nassau, Oceanside, NY 11572, USA.

出版信息

J Surg Case Rep. 2020 Aug 22;2020(8):rjaa300. doi: 10.1093/jscr/rjaa300. eCollection 2020 Aug.

Abstract

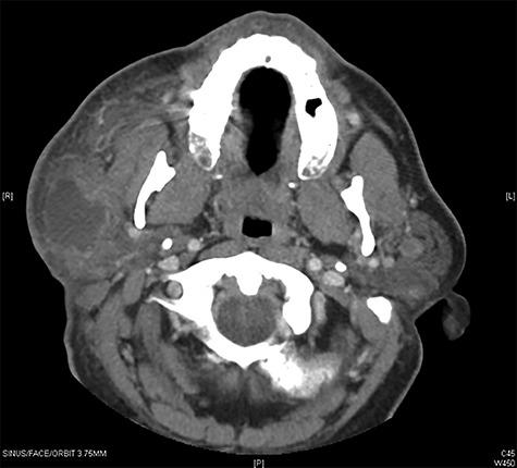
A benign lymphoepithelial cyst (BLEC) is defined as a rare, benign lesion composed of single or multiple cysts found within salivary glands or the lateral cervical area. Increasing reports suggest an association between BLEC and human immunodeficiency virus (HIV), although its pathogenesis remains unclear. We report a 51-year-old male who presented with recurrent bilateral BLECs after initial parotidectomy of cyst. An HIV panel was then performed with a positive result. We review the surgical and medical managements of BLEC while also discussing further treatment recommendations. Clinicians should be aware that BLEC recurrence postparotidectomy may be the initial presenting symptom of HIV in a patient with no risk factors.

摘要

良性淋巴上皮囊肿(BLEC)被定义为一种罕见的良性病变,由唾液腺或颈外侧区域内发现的单个或多个囊肿组成。越来越多的报告表明BLEC与人类免疫缺陷病毒(HIV)之间存在关联,尽管其发病机制尚不清楚。我们报告了一名51岁男性,他在初次腮腺囊肿切除术后出现双侧BLEC复发。随后进行了HIV检测,结果呈阳性。我们回顾了BLEC的手术和药物治疗,同时也讨论了进一步的治疗建议。临床医生应意识到,在没有危险因素的患者中,腮腺切除术后BLEC复发可能是HIV的初始表现症状。

https://cdn.ncbi.nlm.nih.gov/pmc/blobs/2e9d/7442917/44abfcdea407/rjaa300f1.jpg

文献AI研究员

20分钟写一篇综述,助力文献阅读效率提升50倍。

立即体验

用中文搜PubMed

大模型驱动的PubMed中文搜索引擎

马上搜索

文档翻译

学术文献翻译模型,支持多种主流文档格式。

立即体验