Suppr超能文献

磁共振成像对胸腰椎脊柱后韧带复合体损伤的诊断准确性评估

Evaluation of Diagnostic Accuracy of Magnetic Resonance Imaging in Posterior Ligamentum Complex Injury of Thoracolumbar Spine.

作者信息

Mehta Gaurav, Shetty Utsav Chandrashekar, Meena Dharamraj, Tiwari Ashok Kumar, Nama Kishan Gopal, Aseri Dharmendra

机构信息

Department of Orthopaedics, Government Medical College, Kota, India.

Department of Radiology, Government Medical College, Kota, India.

出版信息

Asian Spine J. 2021 Jun;15(3):333-339. doi: 10.31616/asj.2020.0027. Epub 2020 Sep 3.

Abstract

STUDY DESIGN

Prospective diagnostic imaging study.

PURPOSE

The stability of the thoracic and lumbar spine depends significantly on the posterior ligamentum complex (PLC). Therefore, it is essential to diagnose PLC injuries accurately before deciding on a treatment plan for thoracolumbar injury patients. However, the efficacy of magnetic resonance imaging (MRI) in diagnosing PLC remains undetermined.

OVERVIEW OF LITERATURE

MRI has become the ultimate tool in diagnosing spine injury cases, as previous literature suggests that it has very high sensitivity and specificity. But this is still controversial and as many surgeons rely on just MRI for selecting the patient for surgery, it becomes important to know the diagnostic accuracy of it.

METHODS

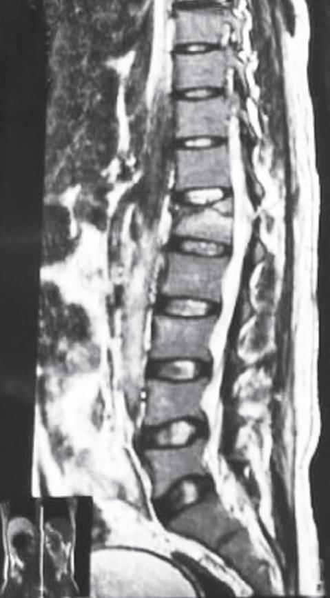
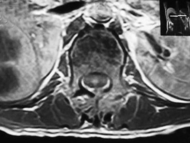
Patients who sustained injuries from T1 to L3 and required posterior surgery were prospectively studied. The treating surgeon and musculoskeletal radiologist participating in the study reviewed preoperative MRI images to characterize the level(s) of injury and the integrity of the six components of the PLC. These were classified as intact, incompletely disrupted, or disrupted. During the surgical procedure, the surgeon also classified each component of the PLC, and the radiologist's and surgeon's findings were compared.

RESULTS

Out of 66 patients, 46 were males (69.7%) and 20 were females (30.3%), and the average age was 34.12 years. According to the kappa score, there was a moderate level of agreement between the radiologist's interpretation and the intraoperative findings for all PLC components except for the thoracolumbar fascia and ligamentum flavum for which there was a slight agreement. The sensitivity for the intact PLC components ranged from 100% (supraspinous ligament) to 66.67% (ligamentum flavum). The specificity ranged from 100% (interspinous ligament) to 52% (thoracolumbar fascia). The Spearman's rank correlation ranged from 0.061 for the thoracolumbar fascia to 0.918 for the interspinous ligament, and the percentage agreement ranged from 81.82% (interspinous ligament to 36.36% (thoracolumbar fascia).

CONCLUSIONS

The sensitivity and specificity of MRI for diagnosing injury of the PLC in this study were lower than those previously reported in the literature. The integrity of the PLC as determined by MRI should not be used in isolation to determine treatment.

摘要

研究设计

前瞻性诊断影像学研究。

目的

胸腰椎的稳定性在很大程度上取决于后韧带复合体(PLC)。因此,在为胸腰椎损伤患者制定治疗方案之前,准确诊断PLC损伤至关重要。然而,磁共振成像(MRI)在诊断PLC方面的有效性仍未确定。

文献综述

MRI已成为诊断脊柱损伤病例的终极工具,因为先前的文献表明它具有很高的敏感性和特异性。但这仍存在争议,而且由于许多外科医生仅依靠MRI来选择手术患者,了解其诊断准确性就变得很重要。

方法

对T1至L3受伤且需要进行后路手术的患者进行前瞻性研究。参与研究的主治外科医生和肌肉骨骼放射科医生回顾术前MRI图像,以确定损伤水平和PLC六个组成部分的完整性。这些被分类为完整、不完全断裂或断裂。在手术过程中,外科医生也对PLC的每个组成部分进行分类,并比较放射科医生和外科医生的检查结果。

结果

66例患者中,男性46例(69.7%),女性20例(30.3%),平均年龄34.12岁。根据kappa评分,除胸腰筋膜和黄韧带的一致性为轻度外,放射科医生的解读与所有PLC组成部分的术中发现之间存在中等程度的一致性。完整PLC组成部分的敏感性范围为100%(棘上韧带)至66.67%(黄韧带)。特异性范围为100%(棘间韧带)至52%(胸腰筋膜)。Spearman等级相关性范围从胸腰筋膜的0.061到棘间韧带的0.918,一致性百分比范围从81.82%(棘间韧带)到36.36%(胸腰筋膜)。

结论

本研究中MRI诊断PLC损伤的敏感性和特异性低于先前文献报道。不应单独使用MRI确定的PLC完整性来决定治疗方案。

https://cdn.ncbi.nlm.nih.gov/pmc/blobs/0095/8217858/b9d2cb9ddbd0/asj-2020-0027f1.jpg

文献AI研究员

20分钟写一篇综述,助力文献阅读效率提升50倍。

立即体验

用中文搜PubMed

大模型驱动的PubMed中文搜索引擎

马上搜索

文档翻译

学术文献翻译模型,支持多种主流文档格式。

立即体验