• 文献检索
  • 文档翻译
  • 深度研究
  • 学术资讯
  • Suppr Zotero 插件Zotero 插件
  • 邀请有礼
  • 套餐&价格
  • 历史记录
应用&插件
Suppr Zotero 插件Zotero 插件浏览器插件Mac 客户端Windows 客户端微信小程序
定价
高级版会员购买积分包购买API积分包
服务
文献检索文档翻译深度研究API 文档MCP 服务
关于我们
关于 Suppr公司介绍联系我们用户协议隐私条款
关注我们

Suppr 超能文献

核心技术专利:CN118964589B侵权必究
粤ICP备2023148730 号-1Suppr @ 2026

文献检索

告别复杂PubMed语法,用中文像聊天一样搜索,搜遍4000万医学文献。AI智能推荐,让科研检索更轻松。

立即免费搜索

文件翻译

保留排版,准确专业,支持PDF/Word/PPT等文件格式,支持 12+语言互译。

免费翻译文档

深度研究

AI帮你快速写综述,25分钟生成高质量综述,智能提取关键信息,辅助科研写作。

立即免费体验

[假性肿瘤性眼结核:2例报告]

[Pseudotumoral ocular tuberculosis: about 2 cases].

作者信息

Elboukhani Incaf, Siati Asmaa, Errachiq Issam, Mchachi Adil, Benhmidoune Leila, Rachid Rayad, Elbelhadji Mohamed

机构信息

Service d'Ophtalmologie Adulte, Hôpital 20 Août 1953, CHU Ibn rochd, Université Hassan II de Casablanca, Maroc.

出版信息

Pan Afr Med J. 2020 Jul 2;36:147. doi: 10.11604/pamj.2020.36.147.20571. eCollection 2020.

DOI:10.11604/pamj.2020.36.147.20571
PMID:32874411
原文链接:https://pmc.ncbi.nlm.nih.gov/articles/PMC7436635/
Abstract

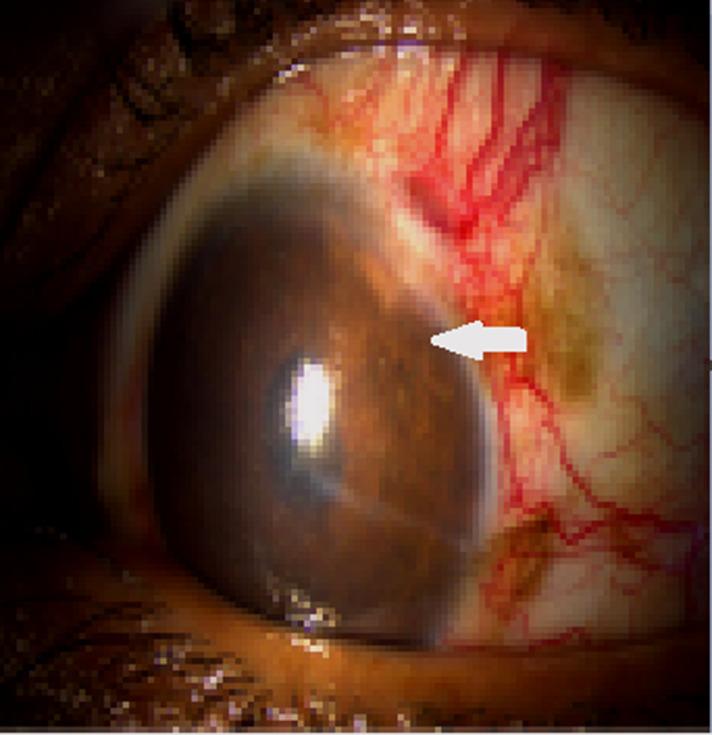
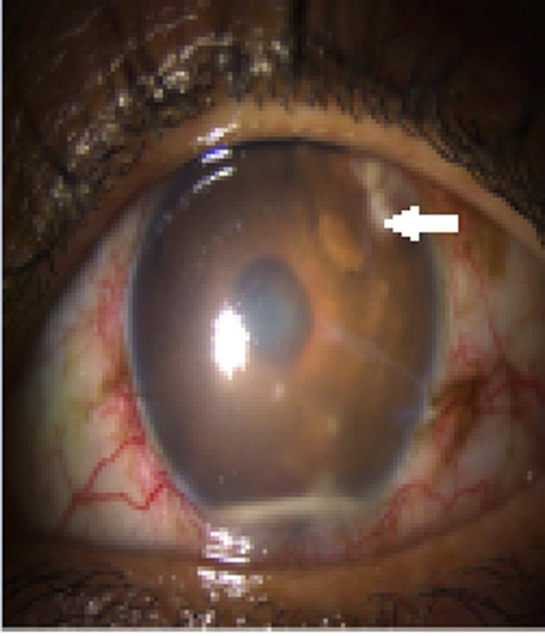
Ocular manifestations of tuberculosis are non-specific and polymorphic as they can affect all the tunics of the eye and cause severe visual loss in the absence of early and appropriate treatment. We here report 2 casesof pseudotumoral ocular tuberculosis with favorable outcome under antibacillary treatment; the first patient recently had had spontaneous burst of the eyeball with exit of a burgeoning fleshy and suppurative mass measuring 10cm/6cm, the second patient had granuloma of the ciliary body mimicking melanoma; then we here discuss the clinical and therapeutic particularities of this disease.

摘要

结核病的眼部表现是非特异性且多样的,因为它们可累及眼球的所有膜层,若未得到早期适当治疗,会导致严重视力丧失。我们在此报告2例假瘤型眼结核病例,经抗细菌治疗后预后良好;首例患者近期眼球自发破裂,流出一个10厘米/6厘米大小的新生肉质化脓性肿物,第二例患者有模仿黑色素瘤的睫状体肉芽肿;然后我们在此讨论该疾病的临床和治疗特点。

https://cdn.ncbi.nlm.nih.gov/pmc/blobs/a546/7436635/2dcc6a4e3738/PAMJ-36-147-g007.jpg
https://cdn.ncbi.nlm.nih.gov/pmc/blobs/a546/7436635/e24899ed6d93/PAMJ-36-147-g001.jpg
https://cdn.ncbi.nlm.nih.gov/pmc/blobs/a546/7436635/037835fd6d95/PAMJ-36-147-g002.jpg
https://cdn.ncbi.nlm.nih.gov/pmc/blobs/a546/7436635/3c76d099184e/PAMJ-36-147-g003.jpg
https://cdn.ncbi.nlm.nih.gov/pmc/blobs/a546/7436635/a5c47e5bfff5/PAMJ-36-147-g004.jpg
https://cdn.ncbi.nlm.nih.gov/pmc/blobs/a546/7436635/c62428d02c5a/PAMJ-36-147-g005.jpg
https://cdn.ncbi.nlm.nih.gov/pmc/blobs/a546/7436635/afeaab107d8a/PAMJ-36-147-g006.jpg
https://cdn.ncbi.nlm.nih.gov/pmc/blobs/a546/7436635/2dcc6a4e3738/PAMJ-36-147-g007.jpg
https://cdn.ncbi.nlm.nih.gov/pmc/blobs/a546/7436635/e24899ed6d93/PAMJ-36-147-g001.jpg
https://cdn.ncbi.nlm.nih.gov/pmc/blobs/a546/7436635/037835fd6d95/PAMJ-36-147-g002.jpg
https://cdn.ncbi.nlm.nih.gov/pmc/blobs/a546/7436635/3c76d099184e/PAMJ-36-147-g003.jpg
https://cdn.ncbi.nlm.nih.gov/pmc/blobs/a546/7436635/a5c47e5bfff5/PAMJ-36-147-g004.jpg
https://cdn.ncbi.nlm.nih.gov/pmc/blobs/a546/7436635/c62428d02c5a/PAMJ-36-147-g005.jpg
https://cdn.ncbi.nlm.nih.gov/pmc/blobs/a546/7436635/afeaab107d8a/PAMJ-36-147-g006.jpg
https://cdn.ncbi.nlm.nih.gov/pmc/blobs/a546/7436635/2dcc6a4e3738/PAMJ-36-147-g007.jpg

相似文献

1
[Pseudotumoral ocular tuberculosis: about 2 cases].[假性肿瘤性眼结核:2例报告]
Pan Afr Med J. 2020 Jul 2;36:147. doi: 10.11604/pamj.2020.36.147.20571. eCollection 2020.
2
Iridocilary tuberculoma mimicking melanoma.模仿黑色素瘤的虹膜睫状体结核瘤。
Indian J Ophthalmol. 2019 Dec;67(12):2048-2049. doi: 10.4103/ijo.IJO_1271_19.
3
Subretinal Hypopyon in Presumed Tubercular Uveitis: A Report of Two Cases.疑似结核性葡萄膜炎中的视网膜下积脓:两例报告
Middle East Afr J Ophthalmol. 2018 Jul-Dec;25(3-4):163-166. doi: 10.4103/meajo.MEAJO_187_17.
4
Disseminated Tuberculosis Presenting as Ciliary Body and Thyroid Mass Lesions: A Case Report.播散性肺结核表现为睫状体和甲状腺肿块病变:一例报告。
Ocul Immunol Inflamm. 2024 Aug;32(6):1097-1100. doi: 10.1080/09273948.2022.2164730. Epub 2023 Jan 26.
5
Neoplasia-like echographic evidence in retinopathies of several aetiologies: a case report.多种病因所致视网膜病变中的瘤样超声表现:病例报告
Ophthalmologica. 1998;212 Suppl 1:93-4. doi: 10.1159/000055439.
6
Multifocal choroiditis and choroidal tuberculoma: Signs of presumed ocular tuberculosis.多灶性脉络膜炎和脉络膜结核瘤:疑似眼结核的体征。
Eur J Ophthalmol. 2023 Jan;33(1):NP15-NP18. doi: 10.1177/11206721211039938. Epub 2021 Aug 21.
7
Tuberculous ciliary body granuloma initially diagnosed as bullous retinal detachment: a case report.结核性睫状体肉芽肿初诊为大泡性视网膜脱离:病例报告。
BMC Ophthalmol. 2024 Jun 6;24(1):236. doi: 10.1186/s12886-024-03503-9.
8
Solitary choroidal tuberculoma in an immunocompetent patient.免疫功能正常患者的孤立性脉络膜结核瘤。
Arch Ophthalmol. 2005 Jun;123(6):864-6. doi: 10.1001/archopht.123.6.864.
9
[Pseudotumorous choroid granuloma in miliary tuberculosis].[粟粒性肺结核中的假瘤样脉络膜肉芽肿]
J Fr Ophtalmol. 1999 Aug-Sep;22(7):771-5.
10
Choroidal tuberculoma in a patient with ocular Behçet disease.一位患有眼部白塞病患者的脉络膜结核瘤。
Int Ophthalmol. 2012 Feb;32(1):93-6. doi: 10.1007/s10792-012-9526-4. Epub 2012 Feb 4.

本文引用的文献

1
Role of echography in diagnostic dilemma in choroidal masses.超声检查在脉络膜肿物诊断困境中的作用
Indian J Ophthalmol. 2014 Feb;62(2):167-70. doi: 10.4103/0301-4738.128626.
2
The utility of routine tuberculosis screening in county hospital patients with uveitis.县医院葡萄膜炎患者常规结核筛查的效用。
Br J Ophthalmol. 2014 Aug;98(8):1091-5. doi: 10.1136/bjophthalmol-2013-303937. Epub 2014 Jan 31.
3
Virulence factors of the Mycobacterium tuberculosis complex.结核分枝杆菌复合体的毒力因子。
Virulence. 2013 Jan 1;4(1):3-66. doi: 10.4161/viru.22329. Epub 2012 Oct 17.
4
Epidemiology of tuberculosis and HIV: recent advances in understanding and responses.结核病和艾滋病的流行病学:理解和应对方面的最新进展。
Proc Am Thorac Soc. 2011 Jun;8(3):288-93. doi: 10.1513/pats.201010-064WR.
5
Ocular tuberculosis masquerading as ocular tumors.伪装成眼部肿瘤的眼结核
Surv Ophthalmol. 2004 Jan-Feb;49(1):78-89. doi: 10.1016/j.survophthal.2003.10.009.
6
Ocular tuberculosis.眼结核
Surv Ophthalmol. 1993 Nov-Dec;38(3):229-56. doi: 10.1016/0039-6257(93)90076-j.
7
The role of the isoniazid therapeutic test in tuberculous uveitis.
Am J Ophthalmol. 1982 Oct;94(4):511-5. doi: 10.1016/0002-9394(82)90245-8.
8
Tuberculous choroiditis diagnosed by chorioretinal endobiopsy.经脉络膜视网膜眼内活检诊断的结核性脉络膜炎
Am J Ophthalmol. 1991 Oct 15;112(4):460-1. doi: 10.1016/s0002-9394(14)76260-9.