• 文献检索
  • 文档翻译
  • 深度研究
  • 学术资讯
  • Suppr Zotero 插件Zotero 插件
  • 邀请有礼
  • 套餐&价格
  • 历史记录
应用&插件
Suppr Zotero 插件Zotero 插件浏览器插件Mac 客户端Windows 客户端微信小程序
定价
高级版会员购买积分包购买API积分包
服务
文献检索文档翻译深度研究API 文档MCP 服务
关于我们
关于 Suppr公司介绍联系我们用户协议隐私条款
关注我们

Suppr 超能文献

核心技术专利:CN118964589B侵权必究
粤ICP备2023148730 号-1Suppr @ 2026

文献检索

告别复杂PubMed语法,用中文像聊天一样搜索,搜遍4000万医学文献。AI智能推荐,让科研检索更轻松。

立即免费搜索

文件翻译

保留排版,准确专业,支持PDF/Word/PPT等文件格式,支持 12+语言互译。

免费翻译文档

深度研究

AI帮你快速写综述,25分钟生成高质量综述,智能提取关键信息,辅助科研写作。

立即免费体验

表现为胃黏膜下肿瘤的胃免疫球蛋白G4相关性疾病:病例报告

Immunoglobulin G4-related disease in the stomach presenting as a gastric subepithelial tumor: Case report.

作者信息

Cho Min Ji, Moon Hee Seok, Lee Hyeon Seok, Park Jae Ho, Kim Ju Seok, Kang Sun Hyung, Lee Eaum Seok, Kim Seok Hyun, Sung Jae Kyu, Lee Byung Seok, Jeong Hyun Yong

机构信息

Division of Gastroenterology, Departmentof Internal Medicine, Chungnam National University Hospital, Chungnam National University School of Medicine, Daejeon , Republic of Korea.

出版信息

Medicine (Baltimore). 2020 Sep 4;99(36):e22078. doi: 10.1097/MD.0000000000022078.

DOI:10.1097/MD.0000000000022078
PMID:32899079
原文链接:https://pmc.ncbi.nlm.nih.gov/articles/PMC7478664/
Abstract

INTRODUCTION

Immunoglobulin G4-related disease (IgG4-RD) is an immune-mediated fibroinflammatory disorder characterized by specific pathologic findings and often, but not in all cases, elevated serum IgG4 concentration. Although it can virtually involve every organ system, cases involving the gastrointestinal tract and especially gastric mass lesions have rarely been reported.

PATIENT CONCERNS

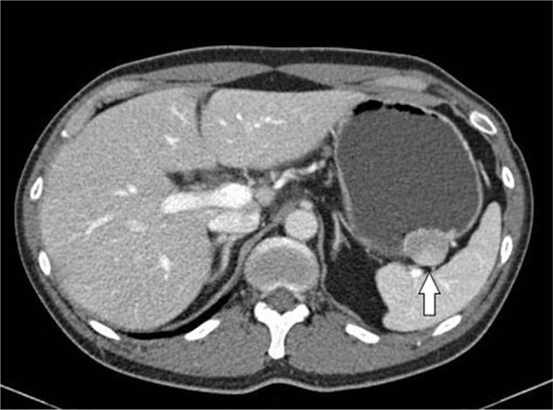
A 45-year-old man, who was incidentally discovered asymptomatic subepithelial tumor (SET), by endoscopy, on the greater curvature of the upper gastric body, was referred to our hospital for further evaluation.

DIAGNOSIS

The patient was postoperatively diagnosed with IgG4-RD by histopathologic results.

INTERVENTIONS

The patient underwent laparoscopic wedge resection.

OUTCOMES

The patient is presently followed up annually in our clinic and had no problems and showed no signs of recurrence in examination.

CONCLUSION

We reported a rare case of IgG4-RD presenting as a gastric SET. The first line treatment of IgG4-RD is glucocorticoid administration. However, because pathologic examination is challenging owing to the lesion location, preoperative diagnosis is difficult and may lead to unnecessary gastric resection. Thus, using alternative preoperative diagnostic methods such as endoscopic ultrasound-guided fine-needle biopsy or the biopsy unroofing technique could spare the patient from unnecessary surgical treatment.

摘要

引言

免疫球蛋白G4相关性疾病(IgG4-RD)是一种免疫介导的纤维炎症性疾病,其特征为特定的病理表现,且血清IgG4浓度通常(但并非在所有病例中)升高。尽管它几乎可累及每个器官系统,但涉及胃肠道尤其是胃肿物病变的病例鲜有报道。

患者情况

一名45岁男性,在内镜检查时偶然发现胃体上部大弯处有无症状的上皮下肿瘤(SET),遂转诊至我院进一步评估。

诊断

术后经组织病理学结果诊断该患者患有IgG4-RD。

干预措施

患者接受了腹腔镜楔形切除术。

结果

目前该患者在我院门诊每年接受随访,未出现问题,检查中也未显示复发迹象。

结论

我们报告了一例罕见的以胃SET形式出现的IgG4-RD病例。IgG4-RD的一线治疗是给予糖皮质激素。然而,由于病变位置导致病理检查具有挑战性,术前诊断困难,可能会导致不必要的胃切除术。因此,使用内镜超声引导下细针穿刺活检或活检揭盖技术等替代术前诊断方法可以避免患者接受不必要的手术治疗。

https://cdn.ncbi.nlm.nih.gov/pmc/blobs/9a4c/7478664/e2ae4c000c61/medi-99-e22078-g005.jpg
https://cdn.ncbi.nlm.nih.gov/pmc/blobs/9a4c/7478664/0d834a1b9933/medi-99-e22078-g001.jpg
https://cdn.ncbi.nlm.nih.gov/pmc/blobs/9a4c/7478664/685536e8fc7e/medi-99-e22078-g002.jpg
https://cdn.ncbi.nlm.nih.gov/pmc/blobs/9a4c/7478664/88010c6582e6/medi-99-e22078-g003.jpg
https://cdn.ncbi.nlm.nih.gov/pmc/blobs/9a4c/7478664/acb84aa7cba0/medi-99-e22078-g004.jpg
https://cdn.ncbi.nlm.nih.gov/pmc/blobs/9a4c/7478664/e2ae4c000c61/medi-99-e22078-g005.jpg
https://cdn.ncbi.nlm.nih.gov/pmc/blobs/9a4c/7478664/0d834a1b9933/medi-99-e22078-g001.jpg
https://cdn.ncbi.nlm.nih.gov/pmc/blobs/9a4c/7478664/685536e8fc7e/medi-99-e22078-g002.jpg
https://cdn.ncbi.nlm.nih.gov/pmc/blobs/9a4c/7478664/88010c6582e6/medi-99-e22078-g003.jpg
https://cdn.ncbi.nlm.nih.gov/pmc/blobs/9a4c/7478664/acb84aa7cba0/medi-99-e22078-g004.jpg
https://cdn.ncbi.nlm.nih.gov/pmc/blobs/9a4c/7478664/e2ae4c000c61/medi-99-e22078-g005.jpg

相似文献

1
Immunoglobulin G4-related disease in the stomach presenting as a gastric subepithelial tumor: Case report.表现为胃黏膜下肿瘤的胃免疫球蛋白G4相关性疾病:病例报告
Medicine (Baltimore). 2020 Sep 4;99(36):e22078. doi: 10.1097/MD.0000000000022078.
2
Immunoglobulin G4 (IgG4)-related disease of the stomach - a challenging differential diagnosis in suspected gastric cancer.胃免疫球蛋白G4(IgG4)相关疾病——疑似胃癌的一项具有挑战性的鉴别诊断。
Z Gastroenterol. 2019 Nov;57(11):1298-1303. doi: 10.1055/a-1013-4437. Epub 2019 Nov 18.
3
Imaging and pathological features of gastric lesion of immunoglobulin G4-related disease: A case report and review of the recent literature.免疫球蛋白G4相关疾病胃病变的影像学及病理特征:一例报告并文献复习
Mod Rheumatol. 2019 Mar;29(2):377-382. doi: 10.1080/14397595.2016.1209819. Epub 2016 Jul 21.
4
IgG4-related disease manifesting as an isolated gastric lesion- a literature review.表现为孤立性胃部病变的IgG4相关性疾病——文献综述
Pol Przegl Chir. 2018 Jun 13;90(4):41-45. doi: 10.5604/01.3001.0012.0976.
5
A rare presentation of IgG4 related disease as a gastric antral lesion: Case report and review of the literature.IgG4相关疾病罕见地表现为胃窦病变:病例报告及文献复习
Int J Surg Case Rep. 2018;51:244-247. doi: 10.1016/j.ijscr.2018.08.065. Epub 2018 Sep 9.
6
Immunoglobulin G4-Related Disease Manifesting as Isolated, Typical, and Nontypical Gastroesophageal Lesion: A Research of Literature Review.免疫球蛋白 G4 相关疾病表现为孤立性、典型和非典型胃食管病变:文献复习研究。
Digestion. 2020;101(5):506-521. doi: 10.1159/000501513. Epub 2019 Jul 10.
7
A rare case of IgG4-related disease masquerading as periurethral malignancy and review of the literature.罕见 IgG4 相关疾病伪装为尿道周围恶性肿瘤病例报告及文献复习。
Front Immunol. 2023 Jan 30;13:1077609. doi: 10.3389/fimmu.2022.1077609. eCollection 2022.
8
IgG4-related Disease in the Stomach which Was Confused with Gastrointestinal Stromal Tumor (GIST): Two Case Reports and Review of the Literature.误诊为胃肠道间质瘤(GIST)的胃IgG4相关疾病:两例报告并文献复习
J Gastric Cancer. 2018 Mar;18(1):99-107. doi: 10.5230/jgc.2018.18.e8. Epub 2018 Mar 28.
9
Immunoglobulin G4-related Disease of the Small Bowel: A Case of Long-term Remission Achieved by Surgical Resection without Maintenance Therapy.免疫球蛋白 G4 相关疾病的小肠:手术切除达到长期缓解而无需维持治疗的病例。
Korean J Gastroenterol. 2023 Jul 25;82(1):25-29. doi: 10.4166/kjg.2023.056.
10
Clinicopathological characteristics of gastric IgG4-related disease: Systematic scoping review.胃 IgG4 相关疾病的临床病理特征:系统范围综述。
J Gastroenterol Hepatol. 2022 Oct;37(10):1865-1872. doi: 10.1111/jgh.15980. Epub 2022 Aug 21.

引用本文的文献

1
Global research trends and emerging focus areas in IgG4-related disease: a bibliometric and visual analysis.IgG4相关疾病的全球研究趋势及新兴重点领域:文献计量学与可视化分析
Hereditas. 2025 Jul 1;162(1):117. doi: 10.1186/s41065-025-00489-2.
2
IgG4-Related Disease With Gastrointestinal Involvement: Case Reports and Literature Review.IgG4相关性疾病累及胃肠道:病例报告与文献综述
Front Immunol. 2022 Mar 10;13:816830. doi: 10.3389/fimmu.2022.816830. eCollection 2022.

本文引用的文献

1
Prospective comparative study of endoscopic ultrasonography-guided fine-needle biopsy and unroofing biopsy.内镜超声引导下细针穿刺活检与开窗活检的前瞻性对比研究
Dig Liver Dis. 2019 Jun;51(6):831-836. doi: 10.1016/j.dld.2019.01.028. Epub 2019 Feb 19.
2
IgG4-related Disease in the Stomach which Was Confused with Gastrointestinal Stromal Tumor (GIST): Two Case Reports and Review of the Literature.误诊为胃肠道间质瘤(GIST)的胃IgG4相关疾病:两例报告并文献复习
J Gastric Cancer. 2018 Mar;18(1):99-107. doi: 10.5230/jgc.2018.18.e8. Epub 2018 Mar 28.
3
IgG4-Related Kidney Disease and IgG4-Related Retroperitoneal Fibrosis.
IgG4相关性肾病与IgG4相关性腹膜后纤维化
Semin Liver Dis. 2016 Aug;36(3):283-90. doi: 10.1055/s-0036-1584316. Epub 2016 Jul 28.
4
The Pathology of IgG4-Related Disease in the Bile Duct and Pancreas.胆管和胰腺中IgG4相关性疾病的病理学
Semin Liver Dis. 2016 Aug;36(3):242-56. doi: 10.1055/s-0036-1584319. Epub 2016 Jul 28.
5
IgG4-related disease.IgG4 相关疾病。
Lancet. 2015 Apr 11;385(9976):1460-71. doi: 10.1016/S0140-6736(14)60720-0. Epub 2014 Dec 4.
6
Gastrointestinal stromal tumors: ESMO Clinical Practice Guidelines for diagnosis, treatment and follow-up.胃肠道间质瘤:欧洲肿瘤内科学会临床实践指南之诊断、治疗及随访
Ann Oncol. 2012 Oct;23 Suppl 7:vii49-55. doi: 10.1093/annonc/mds252.
7
IgG4-related disease.IgG4相关性疾病
N Engl J Med. 2012 Feb 9;366(6):539-51. doi: 10.1056/NEJMra1104650.
8
Comprehensive diagnostic criteria for IgG4-related disease (IgG4-RD), 2011.IgG4 相关疾病(IgG4-RD)的综合诊断标准,2011 年。
Mod Rheumatol. 2012 Feb;22(1):21-30. doi: 10.1007/s10165-011-0571-z. Epub 2012 Jan 5.
9
Autoimmune pancreatitis and IgG4-related sclerosing disease.自身免疫性胰腺炎与 IgG4 相关硬化性疾病。
Nat Rev Gastroenterol Hepatol. 2010 Jul;7(7):401-9. doi: 10.1038/nrgastro.2010.81. Epub 2010 Jun 15.
10
Riedel's thyroiditis and multifocal fibrosclerosis are part of the IgG4-related systemic disease spectrum.Riedel 甲状腺炎和多灶性纤维性硬化症是 IgG4 相关系统性疾病谱的一部分。
Arthritis Care Res (Hoboken). 2010 Sep;62(9):1312-8. doi: 10.1002/acr.20215.