Zhang Xinhe, Jin Xing, Guan Lin, Lin Xuyong, Li Xuedan, Li Yiling
Gastroenterology Department, The First Affiliated Hospital of China Medical University, Shenyang, China.
Department of Pathology, The First Affiliated Hospital of China Medical University, Shenyang, China.
Front Immunol. 2022 Mar 10;13:816830. doi: 10.3389/fimmu.2022.816830. eCollection 2022.
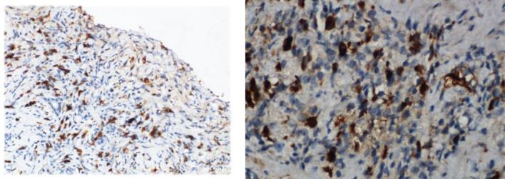
IgG4-related disease is an immune-mediated chronic, systemic, and autoinflammatory disease that can affect various organs throughout the body. The most commonly affected areas are the pancreas and biliary system. Due to the diverse clinical manifestations of the disease, it affects widely distributed organs. Thus, it is often easy to misdiagnose or miss. The digestive tract is a rarely affected system, and most IgG4-related gastric diseases manifest as tumors detected by endoscopy. This article reports two special cases with IgG4-related disease involving atrophic gastritis and intestinal polyps to provide a more empirical and theoretical basis for clinical diagnosis and treatment.
IgG4相关性疾病是一种免疫介导的慢性、全身性自身炎症性疾病,可累及全身各个器官。最常受累的部位是胰腺和胆道系统。由于该疾病临床表现多样,可累及广泛分布的器官,因此常常容易误诊或漏诊。消化道是较少受累的系统,大多数IgG4相关性胃部疾病表现为内镜检查发现的肿瘤。本文报告两例IgG4相关性疾病累及萎缩性胃炎和肠息肉的特殊病例,为临床诊断和治疗提供更多的经验和理论依据。