Suppr超能文献

溃疡性结肠炎中的坏死性肺结节:并非仅是“克罗恩病样”现象

Necrobiotic Pulmonary Nodules in Ulcerative Colitis: Not Just a "Crohnic" Phenomenon.

作者信息

Mukherjee Samiran, Harne Prateek, Mirchia Kanish, Sharma Anuj, Manocha Divey

机构信息

Department of Internal Medicine, SUNY Upstate Medical University, Syracuse, NY.

Department of Pathology, SUNY Upstate Medical University, Syracuse, NY.

出版信息

ACG Case Rep J. 2020 Aug 20;7(8):e00438. doi: 10.14309/crj.0000000000000438. eCollection 2020 Aug.

Abstract

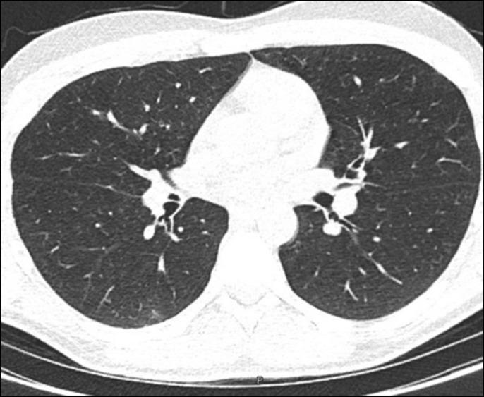
Necrobiotic pulmonary nodules are an exceptionally rare extraintestinal manifestation of inflammatory bowel disease. Recognition is imperative because it may mimic other autoimmune pathologies such as granulomatosis with polyangiitis or sarcoidosis. We describe a 19-year-old man with a known history of ulcerative colitis who was found to possess bilateral pulmonary nodules on computed tomography imaging. Investigations that included an extensive autoimmune and infectious workup were inconclusive. Biopsy of the nodules revealed fibrinous exudate and palisading histiocytes that confirmed the diagnosis. He was started on prednisone therapy. A follow-up computed tomography a month later revealed near complete resolution.

摘要

坏死性肺结节是炎症性肠病一种极其罕见的肠外表现。必须认识到这一点,因为它可能会模仿其他自身免疫性疾病,如肉芽肿性多血管炎或结节病。我们描述了一名19岁有溃疡性结肠炎病史的男性,其在计算机断层扫描成像中发现有双侧肺结节。包括广泛的自身免疫和感染检查在内的各项检查均无定论。结节活检显示有纤维蛋白渗出物和栅栏状组织细胞,从而确诊。他开始接受泼尼松治疗。一个月后的随访计算机断层扫描显示几乎完全消退。

https://cdn.ncbi.nlm.nih.gov/pmc/blobs/01aa/7447367/54a9d781fc77/ac9-7-e00438-g001.jpg

相似文献

1
Necrobiotic Pulmonary Nodules in Ulcerative Colitis: Not Just a "Crohnic" Phenomenon.
ACG Case Rep J. 2020 Aug 20;7(8):e00438. doi: 10.14309/crj.0000000000000438. eCollection 2020 Aug.
3
Cavitary lung nodules as an extraintestinal manifestation of ulcerative colitis.
BMJ Case Rep. 2022 Sep 23;15(9):e251976. doi: 10.1136/bcr-2022-251976.
4
A rare pulmonary manifestation of Crohn's disease: Acute fibrinous and organizing pneumonia presenting as multifocal nodules.
Respir Med Case Rep. 2024 Feb 6;48:101993. doi: 10.1016/j.rmcr.2024.101993. eCollection 2024.
5
6
Pulmonary necrobiotic nodules in Crohn's disease: a rare extra-intestinal manifestation.
Respir Care. 2014 Dec;59(12):e190-2. doi: 10.4187/respcare.03176. Epub 2014 Jul 15.
7
Coexistent pulmonary granulomatosis with polyangiitis (Wegener granulomatosis) and Crohn disease.
Am J Surg Pathol. 2014 Mar;38(3):354-9. doi: 10.1097/PAS.0000000000000135.
8
Pulmonary necrobiotic nodules: a rare extraintestinal manifestation of Crohn's disease.
Eur Respir Rev. 2009 Mar;18(111):47-50. doi: 10.1183/09059180.00011114.
10
Necrobiotic xanthogranuloma scleritis in a case of granulomatosis with polyangiitis (Wegener's granulomatosis).
Int Med Case Rep J. 2017 Oct 3;10:323-328. doi: 10.2147/IMCRJ.S145943. eCollection 2017.

引用本文的文献

1
Imaging findings of thoracic manifestations of Crohn's disease and ulcerative colitis.
Insights Imaging. 2024 Aug 7;15(1):197. doi: 10.1186/s13244-024-01742-4.

本文引用的文献

1
Necrobiotic Pulmonary Nodules of Crohn's Disease in a Patient Receiving Vedolizumab.
Am J Respir Crit Care Med. 2019 Jan 1;199(1):e1-e2. doi: 10.1164/rccm.201806-1056IM.
2
Cryptogenic Organizing Pneumonia With Lung Nodules Secondary to Pulmonary Manifestation of Crohn Disease.
Clin Med Insights Case Rep. 2017 May 19;10:1179547617710672. doi: 10.1177/1179547617710672. eCollection 2017.
3
Pleuritic Chest Pain in a 24-Year-Old Man with Crohn's Disease.
Am J Respir Crit Care Med. 2016 Nov 1;194(9):e12-e13. doi: 10.1164/rccm.201603-0556IM.
6
Pulmonary manifestations of inflammatory bowel disease.
World J Gastroenterol. 2014 Oct 7;20(37):13501-11. doi: 10.3748/wjg.v20.i37.13501.
7
Pulmonary necrobiotic nodules in Crohn's disease: a rare extra-intestinal manifestation.
Respir Care. 2014 Dec;59(12):e190-2. doi: 10.4187/respcare.03176. Epub 2014 Jul 15.
8
Coexistent pulmonary granulomatosis with polyangiitis (Wegener granulomatosis) and Crohn disease.
Am J Surg Pathol. 2014 Mar;38(3):354-9. doi: 10.1097/PAS.0000000000000135.
9
Pulmonary necrobiotic nodules: a rare extraintestinal manifestation of Crohn's disease.
Eur Respir Rev. 2009 Mar;18(111):47-50. doi: 10.1183/09059180.00011114.
10
Granulomatous bronchiolitis with necrobiotic pulmonary nodules in Crohn's disease.
Can J Gastroenterol. 2004 Nov;18(11):687-90. doi: 10.1155/2004/729689.

文献AI研究员

20分钟写一篇综述,助力文献阅读效率提升50倍。

立即体验

用中文搜PubMed

大模型驱动的PubMed中文搜索引擎

马上搜索

文档翻译

学术文献翻译模型,支持多种主流文档格式。

立即体验