Suppr超能文献

肺转移性大细胞癌:急性小肠梗阻的罕见病因。

Metastatic large cell carcinoma of the lung: A rare cause of acute small bowel obstruction.

机构信息

Division of Gastroenterology and Hepatology, Department of Internal Medicine, Yeungnam University College of Medicine, Daegu, South Korea.

Department of Pathology, Yeungnam University College of Medicine, Daegu, South Korea.

出版信息

Thorac Cancer. 2020 Nov;11(11):3379-3382. doi: 10.1111/1759-7714.13656. Epub 2020 Sep 11.

Abstract

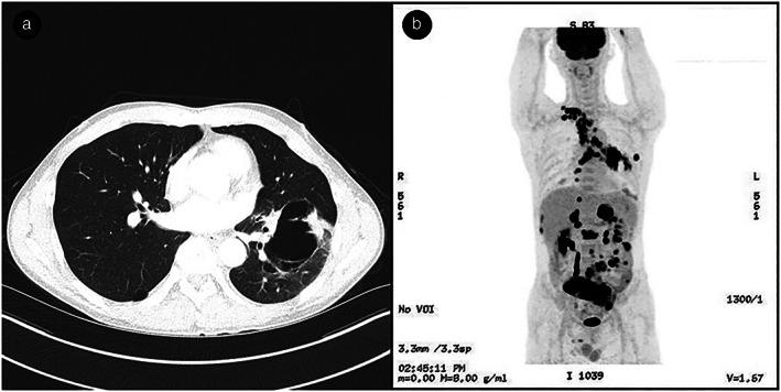
Here, we report a case of acute intestinal obstruction as the initial presentation of primary lung cancer in a male patient. Abdominal computed tomography (CT) showed multiple polypoid masses and regional lymphadenopathy with small bowel obstruction. The patient underwent emergency surgery for multiple luminal malignancy with mesenteric masses. According to the various clinicopathological features, the tumor was confirmed to be metastatic large cell carcinoma originating from the lung. Large masses in the left lower lobe of the lung were identified on the chest CT after emergency surgery, and non-small cell lung cancer (NSCLC), not otherwise specified (NOS), was finally diagnosed on biopsy through bronchoscopy.

摘要

在这里,我们报告了一例男性患者以急性肠梗阻为首发表现的原发性肺癌。腹部计算机断层扫描(CT)显示多发性息肉样肿块和区域性淋巴结病伴小肠梗阻。患者因多发性腔内恶性肿瘤和肠系膜肿块接受了紧急手术。根据各种临床病理特征,肿瘤被确认为源自肺部的转移性大细胞癌。急诊手术后胸部 CT 显示左肺下叶有大肿块,最终经支气管镜活检诊断为非小细胞肺癌(NSCLC),未特指。

https://cdn.ncbi.nlm.nih.gov/pmc/blobs/6644/7606013/58070b2bdc1d/TCA-11-3379-g001.jpg

文献检索

告别复杂PubMed语法,用中文像聊天一样搜索,搜遍4000万医学文献。AI智能推荐,让科研检索更轻松。

立即免费搜索

文件翻译

保留排版,准确专业,支持PDF/Word/PPT等文件格式,支持 12+语言互译。

免费翻译文档

深度研究

AI帮你快速写综述,25分钟生成高质量综述,智能提取关键信息,辅助科研写作。

立即免费体验