Department of Orthopaedics, Shaoxing People's Hospital (Shaoxing Hospital, Zhejiang University School of Medicine)Shaoxing, No. 568, Zhongxing North Road, Shaoxing, Zhejiang, 312000, People's Republic of China.
BMC Musculoskelet Disord. 2020 Sep 12;21(1):611. doi: 10.1186/s12891-020-03608-4.
Anterior Cervical Discectomy and Fusion (ACDF) has been regarded as the "gold standard" treatment of cervical spondylosis. Though it has good outcomes, many complications still exist, such as loss of fixation, degeneration of adjacent segments, dysphagia and pharyngeal perforation. In view of current literature, this study is the first to report a case of laryngopharyngeal polyp following ACDF.
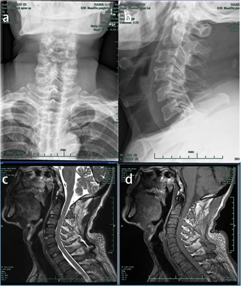
A 63 year old male patient suffered from cervical spine hyperextension after trauma accompanied by numbness of the hands and decreased muscle strength in both upper limbs. Anterior cervical fusion surgery was performed in our hospital, after which the patient's upper limb numbness disappeared and muscle strength returned to normal. In the fifth month after surgery, the patient developed a sore throat and dysphagia. Symptoms gradually worsened, and the patient was hospitalized four times, subsequently undergoing tracheotomy, internal fixation removal, and polypectomy. The patient's pronunciation, breathing, and swallowing functions returned to normal, and the incision healed. After a one-year follow-up, the polyp did not recur.
Laryngopharyngeal polyp formation following ACDF has yet to be reported in literature. By excluding esophageal fistula as soon as possible, removing internal fixation and polypectomy serves as the best treatment in relieving patient symptoms.
颈椎前路椎间盘切除融合术(ACDF)被认为是颈椎病的“金标准”治疗方法。尽管它的疗效较好,但仍存在许多并发症,如固定丢失、相邻节段退变、吞咽困难和咽穿孔。就目前的文献来看,本研究首次报道了一例 ACDF 后发生的喉咽息肉。
一名 63 岁男性患者因外伤致颈椎过度伸展,出现手部麻木和双上肢肌力下降。在我院行前路颈椎融合术,术后患者上肢麻木消失,肌力恢复正常。术后 5 个月,患者出现咽痛和吞咽困难。症状逐渐加重,患者先后住院 4 次,行气管切开术、内固定物取出术和息肉切除术。患者发音、呼吸和吞咽功能恢复正常,切口愈合。随访 1 年后,息肉未再复发。
ACDF 后发生喉咽息肉在文献中尚未报道。通过尽快排除食管瘘,去除内固定和息肉切除术是缓解患者症状的最佳治疗方法。