Suppr超能文献

一例源于颈前静脉的勒米尔综合征罕见病例报告。

A Rare Case Report of Lemierre Syndrome from the Anterior Jugular Vein.

作者信息

Rejali Nima, Heyer Marissa, Finefrock Doug

机构信息

Hackensack University Medical Center, Department of Emergency Medicine, Hackensack, New Jersey.

Hackensack Meridian School of Medicine, Department of Emergency Medicine, Hackensack, New Jersey.

出版信息

Clin Pract Cases Emerg Med. 2020 Aug;4(3):454-457. doi: 10.5811/cpcem.2020.7.47442.

Abstract

INTRODUCTION

Lemierre syndrome is a rare, potentially fatal, septic thrombophlebitis of the internal jugular vein. Treatment includes intravenous antibiotics for Fusobacterium necrophorum, the most common pathogen, as well as consideration for anticoagulation therapy.

CASE REPORT

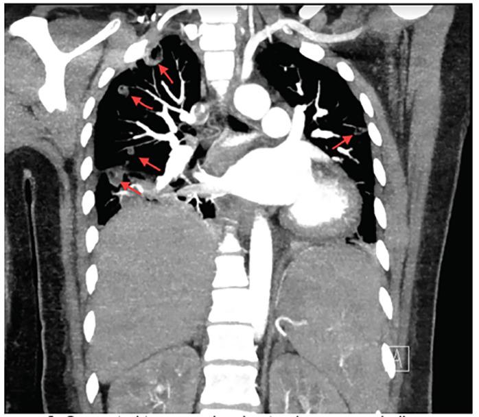
A 27-year-old female presented with left-sided neck swelling and erythema. Computed tomography noted left anterior jugular vein thrombophlebitis and multiple cavitating foci, consistent with septic emboli. We report a rare case of Lemierre syndrome in which the thrombus was found in the anterior jugular vein, as opposed to the much larger internal jugular vein more traditionally associated with creating septic emboli.

CONCLUSION

Based on an individual's clinical symptoms, history, and radiologic findings, it is important for physicians to consider Lemierre syndrome in the differential diagnosis, as the condition may rapidly progress to septic shock and death if not treated promptly. The use of anticoagulation therapy remains controversial, and there is a lack of established standard care because the syndrome is so rare.

摘要

引言

勒米尔综合征是一种罕见的、可能致命的颈内静脉化脓性血栓性静脉炎。治疗包括针对最常见病原体坏死梭杆菌的静脉内抗生素治疗,以及考虑抗凝治疗。

病例报告

一名27岁女性出现左侧颈部肿胀和红斑。计算机断层扫描显示左颈前静脉血栓性静脉炎和多个空洞灶,与脓毒性栓子相符。我们报告一例罕见的勒米尔综合征病例,其中血栓位于颈前静脉,而非更传统地与产生脓毒性栓子相关的大得多的颈内静脉。

结论

基于个体的临床症状、病史和影像学表现,医生在鉴别诊断中考虑勒米尔综合征很重要,因为如果不及时治疗,该病可能迅速进展为感染性休克和死亡。抗凝治疗的使用仍存在争议,并且由于该综合征非常罕见,缺乏既定的标准治疗方法。

https://cdn.ncbi.nlm.nih.gov/pmc/blobs/b5c9/7434254/487324eaccfe/cpcem-04-454-g001.jpg

文献AI研究员

20分钟写一篇综述,助力文献阅读效率提升50倍。

立即体验

用中文搜PubMed

大模型驱动的PubMed中文搜索引擎

马上搜索

文档翻译

学术文献翻译模型,支持多种主流文档格式。

立即体验