Suppr超能文献

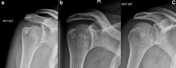
The utilization of computer planning and 3D-printed guide in the surgical management of a reverse Hill-Sachs lesion.

作者信息

Di Felice Ardente Pierluigi, Fusaro Fernando Menor, Abad Miguel Pérez, Soldado Francisco, Coll Jordi Querolt

机构信息

Althaia, Red Asistencial Universitaria de Manresa, Manresa, Spain.

Hospital de Mataró (Consorcio Sanitario del Maresme), Mataró, Spain.

出版信息

JSES Int. 2020 May 26;4(3):569-573. doi: 10.1016/j.jseint.2020.04.013. eCollection 2020 Sep.

Abstract
摘要
https://cdn.ncbi.nlm.nih.gov/pmc/blobs/0589/7479040/c5fb0c8463ed/gr1.jpg

文献检索

告别复杂PubMed语法,用中文像聊天一样搜索,搜遍4000万医学文献。AI智能推荐,让科研检索更轻松。

立即免费搜索

文件翻译

保留排版,准确专业,支持PDF/Word/PPT等文件格式,支持 12+语言互译。

免费翻译文档

深度研究

AI帮你快速写综述,25分钟生成高质量综述,智能提取关键信息,辅助科研写作。

立即免费体验