Suppr超能文献

五味子果醋可降低高脂饮食大鼠的血脂水平。

Schisandra Fruit Vinegar Lowers Lipid Profile in High-Fat Diet Rats.

作者信息

Yuan Rui, Sun Guangren, Gao Jiaqi, Yu Zepeng, Yu Chunyan, Wang Chunmei, Sun Jinghui, Li He, Chen Jianguang

机构信息

Department of Pharmacology, College of Pharmacy, Beihua University, Jilin 132013, China.

Department of Food Science, College of Forestry, Beihua University, Jilin 132013, China.

出版信息

Evid Based Complement Alternat Med. 2020 Sep 3;2020:7083415. doi: 10.1155/2020/7083415. eCollection 2020.

Abstract

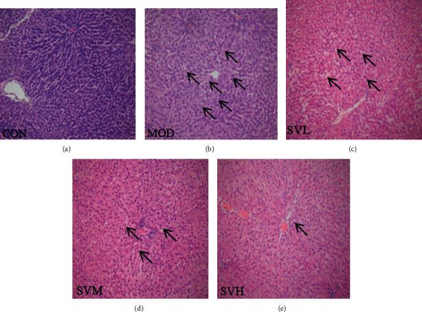
Hyperlipidemia and its associated obesity, hepatic steatosis, and NAFLD are worldwide problems. However, there is no ideal pharmacological treatment for these. Therefore, the complementary therapies that are both natural and safe have been focused. Healthy foods, such as fruit vinegar, may be one of the best choices. In this study, we made a special medicinal fruit vinegar, Schisandra fruit vinegar (SV), and examined its lipid-lowering effects and the underlying mechanisms in a high-fat diet rat model. The results showed that SV significantly reduced the body weight, liver weight, liver index, the serum triglyceride (TG), total cholesterol (TC), low-density lipoprotein cholesterol (LDL-C), free fatty acid (FFA), aspartate aminotransferase (AST), alanine aminotransferase (ALT), and malondialdehyde (MDA), increased the content of high-density lipoprotein cholesterol (HDL-C) and the activity of superoxide dismutase (SOD), upregulated the expressions of peroxisome proliferative activated receptor (PPAR-), peroxisomal acyl-coenzyme A oxidase 1 (ACOX1), and carnitine palmitoyltransferase 1 (CPT1) proteins, increased the contents of key component of antioxidant defense NF-E2-related factor 2 (NRF2) and its downstream heme oxygenase-1 (HO-1) protein, and downregulated the expression of Kelch-like ECH-associated protein 1 (KEAP1). These results suggest that SV has weight loss and lipid-lowering effects in HFD rats, which may be related to its upregulation of the expressions of -oxidation -elated PPAR-, CPT1, and ACOX1 and the regulation of the expressions of antioxidant pathway-related KEAP1-NRF2-HO-1. Therefore, all these data provide an experimental basis for the development of SV as a functional beverage which is safe, effective, convenient, and inexpensive.

摘要

高脂血症及其相关的肥胖、肝脂肪变性和非酒精性脂肪性肝病是全球性问题。然而,针对这些疾病尚无理想的药物治疗方法。因此,天然且安全的补充疗法受到了关注。健康食品,如水果醋,可能是最佳选择之一。在本研究中,我们制作了一种特殊的药用水果醋——五味子果醋(SV),并在高脂饮食大鼠模型中研究了其降脂作用及潜在机制。结果显示,SV显著降低了体重、肝脏重量、肝脏指数、血清甘油三酯(TG)、总胆固醇(TC)、低密度脂蛋白胆固醇(LDL-C)、游离脂肪酸(FFA)、天冬氨酸转氨酶(AST)、丙氨酸转氨酶(ALT)和丙二醛(MDA),增加了高密度脂蛋白胆固醇(HDL-C)的含量和超氧化物歧化酶(SOD)的活性,上调了过氧化物酶体增殖物激活受体(PPAR-)、过氧化物酶体酰基辅酶A氧化酶1(ACOX1)和肉碱棕榈酰转移酶1(CPT1)蛋白的表达,增加了抗氧化防御关键成分核因子E2相关因子2(NRF2)及其下游血红素加氧酶-1(HO-1)蛋白的含量,并下调了类 Kelch 样 ECH 相关蛋白1(KEAP1)的表达。这些结果表明,SV对高脂饮食大鼠具有减肥和降脂作用,这可能与其上调氧化相关的PPAR-、CPT1和ACOX1的表达以及调节抗氧化途径相关的KEAP1-NRF2-HO-1的表达有关。因此,所有这些数据为将SV开发成一种安全、有效、方便且廉价的功能性饮料提供了实验依据。

https://cdn.ncbi.nlm.nih.gov/pmc/blobs/df4a/7487111/fe09c40ff87b/ECAM2020-7083415.001.jpg

文献AI研究员

20分钟写一篇综述,助力文献阅读效率提升50倍。

立即体验

用中文搜PubMed

大模型驱动的PubMed中文搜索引擎

马上搜索

文档翻译

学术文献翻译模型,支持多种主流文档格式。

立即体验