• 文献检索
  • 文档翻译
  • 深度研究
  • 学术资讯
  • Suppr Zotero 插件Zotero 插件
  • 邀请有礼
  • 套餐&价格
  • 历史记录
应用&插件
Suppr Zotero 插件Zotero 插件浏览器插件Mac 客户端Windows 客户端微信小程序
定价
高级版会员购买积分包购买API积分包
服务
文献检索文档翻译深度研究API 文档MCP 服务
关于我们
关于 Suppr公司介绍联系我们用户协议隐私条款
关注我们

Suppr 超能文献

核心技术专利:CN118964589B侵权必究
粤ICP备2023148730 号-1Suppr @ 2026

文献检索

告别复杂PubMed语法,用中文像聊天一样搜索,搜遍4000万医学文献。AI智能推荐,让科研检索更轻松。

立即免费搜索

文件翻译

保留排版,准确专业,支持PDF/Word/PPT等文件格式,支持 12+语言互译。

免费翻译文档

深度研究

AI帮你快速写综述,25分钟生成高质量综述,智能提取关键信息,辅助科研写作。

立即免费体验

带蒂的大肠脂肪瘤:成人结直肠肠套叠的罕见原因。

Large pedunculated colonic lipoma: a rare cause of colorectal intussusception in adults.

机构信息

Department of General Surgery, Trauma and Burns Center, Ben Arous, Tunisia.

出版信息

Pan Afr Med J. 2020 Jul 21;36:200. doi: 10.11604/pamj.2020.36.200.24606. eCollection 2020.

DOI:10.11604/pamj.2020.36.200.24606
PMID:32952844
原文链接:https://pmc.ncbi.nlm.nih.gov/articles/PMC7467618/
Abstract

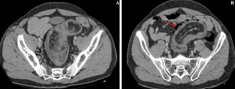
Colo-rectal intussusception is rare in adults and is often secondary to malignant lesions, rarely benign lesions such as colonic lipomas can also be the cause. We present the case a 60-year-old man who presented to the emergency department with acute abdominal pain. On physical examination, the abdomen was distended with diffuse tenderness. CT scan of the abdomen revealed a colo-rectal intussusception secondary to a rectal lipoma with parietal pneumatosis of the invaginated loop. An emergency laparotomy was performed. Intraoperatively the radiological findings were confirmed. A rectosigmoid resection (Hartmann's procedure) taking off the lipoma and the invaginated segment of the colon was performed and the patient had an unevent full recovery. Histopathology confirmed a 6cm sub-mucosal lipoma without evidence of malignancy. As the diagnosis of a benign disease in patients presenting with colonic intussusception can only be made on pathological examination, this entity should be managed as a malignant lesion due to the high incidence of malignancy.

摘要

直肠-结肠肠套叠在成人中较为罕见,常继发于恶性病变,良性病变如结肠脂肪瘤也很少见,但也可能是病因。我们报告 1 例 60 岁男性,因急性腹痛就诊于急诊科。体格检查发现腹部膨隆,全腹压痛。腹部 CT 扫描显示直肠脂肪瘤继发的直肠-结肠肠套叠,套叠肠襻壁积气。行急诊剖腹探查术。术中证实了影像学发现。行直肠乙状结肠切除(Hartmann 手术),切除脂肪瘤和套叠的结肠段,患者恢复顺利。组织病理学证实为 6cm 黏膜下脂肪瘤,无恶性证据。由于仅通过病理检查才能诊断出患有结肠肠套叠的患者为良性疾病,因此鉴于恶性病变的高发生率,应将此类疾病视为恶性病变进行处理。

https://cdn.ncbi.nlm.nih.gov/pmc/blobs/4c86/7467618/b8bac0e5c99e/PAMJ-36-200-g004.jpg
https://cdn.ncbi.nlm.nih.gov/pmc/blobs/4c86/7467618/167ef50dc005/PAMJ-36-200-g001.jpg
https://cdn.ncbi.nlm.nih.gov/pmc/blobs/4c86/7467618/c5a200c161f2/PAMJ-36-200-g002.jpg
https://cdn.ncbi.nlm.nih.gov/pmc/blobs/4c86/7467618/cd9648e58b09/PAMJ-36-200-g003.jpg
https://cdn.ncbi.nlm.nih.gov/pmc/blobs/4c86/7467618/b8bac0e5c99e/PAMJ-36-200-g004.jpg
https://cdn.ncbi.nlm.nih.gov/pmc/blobs/4c86/7467618/167ef50dc005/PAMJ-36-200-g001.jpg
https://cdn.ncbi.nlm.nih.gov/pmc/blobs/4c86/7467618/c5a200c161f2/PAMJ-36-200-g002.jpg
https://cdn.ncbi.nlm.nih.gov/pmc/blobs/4c86/7467618/cd9648e58b09/PAMJ-36-200-g003.jpg
https://cdn.ncbi.nlm.nih.gov/pmc/blobs/4c86/7467618/b8bac0e5c99e/PAMJ-36-200-g004.jpg

相似文献

1
Large pedunculated colonic lipoma: a rare cause of colorectal intussusception in adults.带蒂的大肠脂肪瘤:成人结直肠肠套叠的罕见原因。
Pan Afr Med J. 2020 Jul 21;36:200. doi: 10.11604/pamj.2020.36.200.24606. eCollection 2020.
2
Pedunculated lipoma causing colo-colonic intussusception: a rare case report.带蒂脂肪瘤致结肠-结肠套叠:一例罕见病例报告
BMC Surg. 2013 Oct 30;13:51. doi: 10.1186/1471-2482-13-51.
3
Giant pedunculated colonic lipoma causing colo-colic intussusception in a patient with mechanical ileus.患者因机械性肠梗阻而发生结肠结肠肠套叠,由巨大带蒂结肠脂肪瘤引起。
Ann Ital Chir. 2020 Mar 3;9:S2239253X20032296.
4
Giant lipoma of the transverse colon causing colo-colonic intussusceptions.横结肠巨大脂肪瘤致结肠结肠型肠套叠。
J Visc Surg. 2012 Dec;149(6):421-2. doi: 10.1016/j.jviscsurg.2012.04.006. Epub 2012 May 10.
5
[Intestinal occlusion due to a colonic lipoma. Apropos 2 cases].[结肠脂肪瘤致肠梗阻。附2例报告]
Minerva Chir. 1993 Sep 30;48(18):1035-9.
6
Adult sigmoidorectal intussusception related to colonic lipoma: A rare case report with an atypical presentation.成人乙状结肠直肠套叠与结肠脂肪瘤相关:一例罕见的非典型表现病例报告
Int J Surg Case Rep. 2015;10:134-7. doi: 10.1016/j.ijscr.2015.03.035. Epub 2015 Mar 20.
7
Pedunculated Lipoma of the Caecum Causing Colocolic Intussusception in an Adult.盲肠带蒂脂肪瘤致成人结肠结肠型肠套叠。
Med Arch. 2020 Oct;74(5):393-395. doi: 10.5455/medarh.2020.74.393-395.
8
Colonic intussusception caused by colonic lipoma: a case report.结肠脂肪瘤引起的结肠套叠:病例报告。
Medicina (Kaunas). 2010;46(7):477-81.
9
Intermittent intussusception caused by colonic lipoma.结肠脂肪瘤引起的间歇性肠套叠。
J Formos Med Assoc. 1998 Jan;97(1):63-5.
10
Giant submucosal lipoma cause colo-colonic intussusception. A case report and review of literature.巨大黏膜下脂肪瘤导致结肠-结肠套叠。一例病例报告及文献复习。
Ann Ital Chir. 2012 Nov-Dec;83(6):559-62.

引用本文的文献

1
Colocolic Intussusception Because of Lipoma in a 44-year-Old Adult.一名44岁成年人因脂肪瘤导致的结肠结肠套叠
Adv Biomed Res. 2022 Oct 27;11:83. doi: 10.4103/abr.abr_32_21. eCollection 2022.
2
Large colonic lipoma as a lead point for intussusception in an adult.成人结肠巨大脂肪瘤作为肠套叠的起始点。
J Surg Case Rep. 2022 Jul 16;2022(7):rjac327. doi: 10.1093/jscr/rjac327. eCollection 2022 Jul.

本文引用的文献

1
Intestinal intussusception related to colonic pedunculated lipoma: A case report and review of the literature.结肠带蒂脂肪瘤相关的肠套叠:一例报告并文献复习
Int J Surg Case Rep. 2019;55:206-209. doi: 10.1016/j.ijscr.2019.01.042. Epub 2019 Feb 10.
2
Primary liposarcoma of the sigmoid presenting as colonic intussusception - A case report.表现为结肠套叠的乙状结肠原发性脂肪肉瘤——病例报告
Rev Esp Enferm Dig. 2016 Sep;108(9):591-4. doi: 10.17235/reed.2016.3943/2015.
3
Intussusception of rectosigmoid colon cancer mimicking a pedunculated tumor.
乙状结肠癌套叠酷似有蒂肿瘤。
Case Rep Surg. 2014;2014:696403. doi: 10.1155/2014/696403. Epub 2014 May 13.
4
Submucous lipoma of sigmoid colon: a rare entity.乙状结肠黏膜下脂肪瘤:一种罕见的病症。
J Lab Physicians. 2009 Jul;1(2):82-3. doi: 10.4103/0974-2727.59706.
5
Idiopathic adult intussusception.特发性成人肠套叠
Int J Emerg Med. 2011 Mar 16;4:8. doi: 10.1186/1865-1380-4-8.
6
Prolapse of Intussusception through the Anus as a Result of Sigmoid Colon Cancer.乙状结肠癌导致的肠套叠经肛门脱垂
Case Rep Gastroenterol. 2010 Sep 15;4(3):346-350. doi: 10.1159/000320770.
7
Intussusception in adults: clinical characteristics, diagnosis and operative strategies.成人肠套叠:临床特征、诊断及手术策略
World J Gastroenterol. 2009 Apr 28;15(16):1985-9. doi: 10.3748/wjg.15.1985.
8
Intussusception of the bowel in adults: a review.成人肠套叠:综述
World J Gastroenterol. 2009 Jan 28;15(4):407-11. doi: 10.3748/wjg.15.407.
9
Intussusception in adults: an unusual and challenging condition for surgeons.成人肠套叠:对外科医生来说是一种罕见且具有挑战性的病症。
Int J Colorectal Dis. 2005 Sep;20(5):452-6. doi: 10.1007/s00384-004-0713-2. Epub 2005 Mar 10.
10
Adult intussusception: case reports and review of literature.成人肠套叠:病例报告及文献综述
Postgrad Med J. 2005 Mar;81(953):174-7. doi: 10.1136/pgmj.2004.022749.