Suppr超能文献

巨大甲状旁腺腺瘤伴病理性左锁骨骨折:1例极其罕见的病例报告

Giant parathyroid adenoma presenting with a pathological left clavicular fracture: An extremely rare case report.

作者信息

Terro Jad J, El-Helou Etienne, El-Khoury Elias, Lakkis Rayan Said, Shibli Abbas, Raishouni Mohammad Ahmad Al, Farhat Hammam, Abtar Houssam Khodor

机构信息

Central Military Hospital, Department of Surgery, Beirut, Lebanon.

Mount Lebanon Hospital, Department of Surgery, Beirut, Lebanon.

出版信息

Int J Surg Case Rep. 2020;75:311-316. doi: 10.1016/j.ijscr.2020.09.032. Epub 2020 Sep 11.

Abstract

INTRODUCTION

Parathyroid gland has a distinct physiologic and endocrinologic role in the body system. Primary hyperparathyroidism is the most common cause of hypercalcemia with a marked female dominance. It is characterized by hypercalcemia, hypophosphatemia and elevated parathyroid hormone. Parathyroid adenoma, parathyroid hyperplasia and parathyroid carcinoma form the differential diagnosis. Giant parathyroid adenomas are rarely symptomatic than non-giant parathyroid adenomas and parathyroid carcinoma.

CASE PRESENTATION

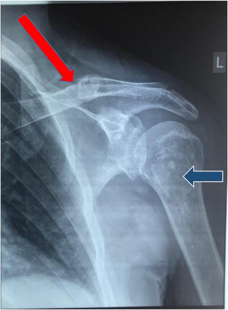
A 41 years old previously healthy male patient with undetectable surgical and familial history presenting with left clavicle fracture by mild trauma. He was diagnosed for primary hyperparathyroidism after the finding of multiple bony lesions and elevated serum calcium and Parathyroid hormone. Preoperative imaging aided in diagnosis of a parathyroid lesion and secondary bone resorption lesions (brown tumors). After adequate medical treatment and preparation, selective right lower parathyroidectomy was held, and the final pathology came with a giant parathyroid adenoma.

CONCLUSION

Primary hyperparathyroidism should be suspected when dealing with a hypercalcemic patient having osteolytic bony lesions. Distinguishing Parathyroid adenoma from carcinoma is a challenging and essential preoperative step in planning and surgical procedure.

摘要

引言

甲状旁腺在人体系统中具有独特的生理和内分泌作用。原发性甲状旁腺功能亢进是高钙血症最常见的病因,女性明显居多。其特征为高钙血症、低磷血症和甲状旁腺激素升高。甲状旁腺腺瘤、甲状旁腺增生和甲状旁腺癌构成鉴别诊断。巨大甲状旁腺腺瘤比非巨大甲状旁腺腺瘤和甲状旁腺癌少见症状。

病例介绍

一名41岁既往健康的男性患者,无手术及家族病史,因轻度外伤致左锁骨骨折就诊。在发现多处骨病变以及血清钙和甲状旁腺激素升高后,他被诊断为原发性甲状旁腺功能亢进。术前影像学检查有助于诊断甲状旁腺病变及继发性骨吸收病变(棕色瘤)。经过充分的药物治疗和准备后,实施了选择性右下甲状旁腺切除术,最终病理结果为巨大甲状旁腺腺瘤。

结论

在处理有溶骨性骨病变的高钙血症患者时,应怀疑原发性甲状旁腺功能亢进。在规划手术和进行手术操作时,术前将甲状旁腺腺瘤与癌区分开来是一项具有挑战性但至关重要的步骤。

https://cdn.ncbi.nlm.nih.gov/pmc/blobs/6028/7522540/a40ba0280100/gr1.jpg

文献检索

告别复杂PubMed语法,用中文像聊天一样搜索,搜遍4000万医学文献。AI智能推荐,让科研检索更轻松。

立即免费搜索

文件翻译

保留排版,准确专业,支持PDF/Word/PPT等文件格式,支持 12+语言互译。

免费翻译文档

深度研究

AI帮你快速写综述,25分钟生成高质量综述,智能提取关键信息,辅助科研写作。

立即免费体验