• 文献检索
  • 文档翻译
  • 深度研究
  • 学术资讯
  • Suppr Zotero 插件Zotero 插件
  • 邀请有礼
  • 套餐&价格
  • 历史记录
应用&插件
Suppr Zotero 插件Zotero 插件浏览器插件Mac 客户端Windows 客户端微信小程序
定价
高级版会员购买积分包购买API积分包
服务
文献检索文档翻译深度研究API 文档MCP 服务
关于我们
关于 Suppr公司介绍联系我们用户协议隐私条款
关注我们

Suppr 超能文献

核心技术专利:CN118964589B侵权必究
粤ICP备2023148730 号-1Suppr @ 2026

文献检索

告别复杂PubMed语法,用中文像聊天一样搜索,搜遍4000万医学文献。AI智能推荐,让科研检索更轻松。

立即免费搜索

文件翻译

保留排版,准确专业,支持PDF/Word/PPT等文件格式,支持 12+语言互译。

免费翻译文档

深度研究

AI帮你快速写综述,25分钟生成高质量综述,智能提取关键信息,辅助科研写作。

立即免费体验

含咖啡因能量饮料对成年雄性白化大鼠海马角回1和齿状回结构的影响。

Effect of caffeinated energy drinks on the structure of hippocampal cornu ammonis 1 and dentate gyrus of adult male albino rats.

作者信息

Kamar Sherif A, Malak Hany W Abdel, Saad Shereen Adel

机构信息

Department of Anatomy, Faculty of Medicine, Ain Shams University, Cairo, Egypt.

出版信息

Anat Cell Biol. 2020 Sep 30;53(3):330-341. doi: 10.5115/acb.20.136.

DOI:10.5115/acb.20.136
PMID:32993281
原文链接:https://pmc.ncbi.nlm.nih.gov/articles/PMC7527115/
Abstract

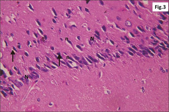
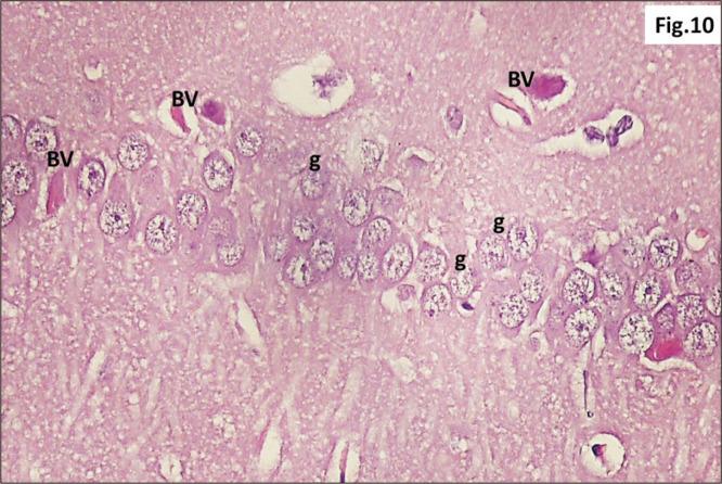
Energy drinks are available worldwide and frequently consumed to increase energy level and compensate lack of sleep. Energy drinks consumers aim to improve their cognitive functions. Red Bull is the most popular energy drink consumed in Egypt. However, the link between the impact of energy drinks on the structure of hippocampal cornu ammonis 1 (CA1) and dentate gyrus (DG), a highly vulnerable brain regions to various insults, has not yet documented. To study the effect of energy drinks on structure of hippocampal CA1 and DG of adult male albino rats. Twenty one adult male albino rats were divided into three groups; group I control group, groups II and III received Red Bull, with a dose of 3.75 ml/kg/day orally using gastric tube for four and eight consecutive weeks respectively. At the end of the experiment, brains were dissected and hippocampal specimens were processed for histopathological and immunohistochemical studies. Histopathological examination of hippocampal sections in group II revealed vacuoles, decrease thickness of pyramidal cell layer with irregular dark or ghost nuclei. However, changes were more severe in group III with cracks in pyramidal cell layer, massive vacuolation and signet ring cells. Moreover, star shaped astrocytes and glial fibrillary acidic protein immuno-reactivity were more abundant in group III than in group II. Caffeinated energy drinks produced neurodegenerative changes and reactive astrocytosis in hippocampal CA1 and DG of adult male albino rats. These changes were duration-dependent being more severe in longer duration of intake.

摘要

能量饮料在全球范围内都可买到,人们经常饮用以提高能量水平并弥补睡眠不足。能量饮料消费者旨在改善他们的认知功能。红牛是埃及消费最普遍的能量饮料。然而,能量饮料对海马角回1(CA1)和齿状回(DG)结构的影响之间的联系尚未有文献记载,而海马角回1和齿状回是极易受到各种损伤的脑区。为了研究能量饮料对成年雄性白化大鼠海马CA1和DG结构的影响。将21只成年雄性白化大鼠分为三组;第一组为对照组,第二组和第三组分别连续四周和八周通过胃管每天口服3.75毫升/千克的红牛。在实验结束时,解剖大脑并对海马标本进行组织病理学和免疫组织化学研究。第二组海马切片的组织病理学检查显示有空泡,锥体细胞层厚度减小,细胞核不规则变黑或呈空泡状。然而,第三组的变化更严重,锥体细胞层出现裂缝、大量空泡化和印戒细胞。此外,第三组的星形胶质细胞和胶质纤维酸性蛋白免疫反应性比第二组更丰富。含咖啡因的能量饮料在成年雄性白化大鼠的海马CA1和DG中产生神经退行性变化和反应性星形细胞增生。这些变化与饮用持续时间有关,饮用时间越长变化越严重。

https://cdn.ncbi.nlm.nih.gov/pmc/blobs/32cd/7527115/2389de66c346/ACB-53-330-f25.jpg
https://cdn.ncbi.nlm.nih.gov/pmc/blobs/32cd/7527115/c883c4771438/ACB-53-330-f1.jpg
https://cdn.ncbi.nlm.nih.gov/pmc/blobs/32cd/7527115/417d28c9d005/ACB-53-330-f2.jpg
https://cdn.ncbi.nlm.nih.gov/pmc/blobs/32cd/7527115/b93a76500ab6/ACB-53-330-f3.jpg
https://cdn.ncbi.nlm.nih.gov/pmc/blobs/32cd/7527115/6629373171de/ACB-53-330-f4.jpg
https://cdn.ncbi.nlm.nih.gov/pmc/blobs/32cd/7527115/c69f13e5db05/ACB-53-330-f5.jpg
https://cdn.ncbi.nlm.nih.gov/pmc/blobs/32cd/7527115/8227527aa848/ACB-53-330-f6.jpg
https://cdn.ncbi.nlm.nih.gov/pmc/blobs/32cd/7527115/c45188f61a41/ACB-53-330-f7.jpg
https://cdn.ncbi.nlm.nih.gov/pmc/blobs/32cd/7527115/6811743ac48a/ACB-53-330-f8.jpg
https://cdn.ncbi.nlm.nih.gov/pmc/blobs/32cd/7527115/e45a0fd73a4e/ACB-53-330-f9.jpg
https://cdn.ncbi.nlm.nih.gov/pmc/blobs/32cd/7527115/85ff640adf2b/ACB-53-330-f10.jpg
https://cdn.ncbi.nlm.nih.gov/pmc/blobs/32cd/7527115/9ff66418dbc7/ACB-53-330-f11.jpg
https://cdn.ncbi.nlm.nih.gov/pmc/blobs/32cd/7527115/aca1e4cea377/ACB-53-330-f12.jpg
https://cdn.ncbi.nlm.nih.gov/pmc/blobs/32cd/7527115/4b7e3a372f3d/ACB-53-330-f13.jpg
https://cdn.ncbi.nlm.nih.gov/pmc/blobs/32cd/7527115/c15aabd23129/ACB-53-330-f14.jpg
https://cdn.ncbi.nlm.nih.gov/pmc/blobs/32cd/7527115/17fbc69567de/ACB-53-330-f15.jpg
https://cdn.ncbi.nlm.nih.gov/pmc/blobs/32cd/7527115/7dc41dbd0384/ACB-53-330-f16.jpg
https://cdn.ncbi.nlm.nih.gov/pmc/blobs/32cd/7527115/0e2dfd464480/ACB-53-330-f17.jpg
https://cdn.ncbi.nlm.nih.gov/pmc/blobs/32cd/7527115/69788931332d/ACB-53-330-f18.jpg
https://cdn.ncbi.nlm.nih.gov/pmc/blobs/32cd/7527115/bb1e55b1f6ab/ACB-53-330-f19.jpg
https://cdn.ncbi.nlm.nih.gov/pmc/blobs/32cd/7527115/b13d59959606/ACB-53-330-f20.jpg
https://cdn.ncbi.nlm.nih.gov/pmc/blobs/32cd/7527115/92e70ab2c451/ACB-53-330-f21.jpg
https://cdn.ncbi.nlm.nih.gov/pmc/blobs/32cd/7527115/bb17b5566ebf/ACB-53-330-f22.jpg
https://cdn.ncbi.nlm.nih.gov/pmc/blobs/32cd/7527115/103abeeca8ac/ACB-53-330-f23.jpg
https://cdn.ncbi.nlm.nih.gov/pmc/blobs/32cd/7527115/a2bdecad377c/ACB-53-330-f24.jpg
https://cdn.ncbi.nlm.nih.gov/pmc/blobs/32cd/7527115/2389de66c346/ACB-53-330-f25.jpg
https://cdn.ncbi.nlm.nih.gov/pmc/blobs/32cd/7527115/c883c4771438/ACB-53-330-f1.jpg
https://cdn.ncbi.nlm.nih.gov/pmc/blobs/32cd/7527115/417d28c9d005/ACB-53-330-f2.jpg
https://cdn.ncbi.nlm.nih.gov/pmc/blobs/32cd/7527115/b93a76500ab6/ACB-53-330-f3.jpg
https://cdn.ncbi.nlm.nih.gov/pmc/blobs/32cd/7527115/6629373171de/ACB-53-330-f4.jpg
https://cdn.ncbi.nlm.nih.gov/pmc/blobs/32cd/7527115/c69f13e5db05/ACB-53-330-f5.jpg
https://cdn.ncbi.nlm.nih.gov/pmc/blobs/32cd/7527115/8227527aa848/ACB-53-330-f6.jpg
https://cdn.ncbi.nlm.nih.gov/pmc/blobs/32cd/7527115/c45188f61a41/ACB-53-330-f7.jpg
https://cdn.ncbi.nlm.nih.gov/pmc/blobs/32cd/7527115/6811743ac48a/ACB-53-330-f8.jpg
https://cdn.ncbi.nlm.nih.gov/pmc/blobs/32cd/7527115/e45a0fd73a4e/ACB-53-330-f9.jpg
https://cdn.ncbi.nlm.nih.gov/pmc/blobs/32cd/7527115/85ff640adf2b/ACB-53-330-f10.jpg
https://cdn.ncbi.nlm.nih.gov/pmc/blobs/32cd/7527115/9ff66418dbc7/ACB-53-330-f11.jpg
https://cdn.ncbi.nlm.nih.gov/pmc/blobs/32cd/7527115/aca1e4cea377/ACB-53-330-f12.jpg
https://cdn.ncbi.nlm.nih.gov/pmc/blobs/32cd/7527115/4b7e3a372f3d/ACB-53-330-f13.jpg
https://cdn.ncbi.nlm.nih.gov/pmc/blobs/32cd/7527115/c15aabd23129/ACB-53-330-f14.jpg
https://cdn.ncbi.nlm.nih.gov/pmc/blobs/32cd/7527115/17fbc69567de/ACB-53-330-f15.jpg
https://cdn.ncbi.nlm.nih.gov/pmc/blobs/32cd/7527115/7dc41dbd0384/ACB-53-330-f16.jpg
https://cdn.ncbi.nlm.nih.gov/pmc/blobs/32cd/7527115/0e2dfd464480/ACB-53-330-f17.jpg
https://cdn.ncbi.nlm.nih.gov/pmc/blobs/32cd/7527115/69788931332d/ACB-53-330-f18.jpg
https://cdn.ncbi.nlm.nih.gov/pmc/blobs/32cd/7527115/bb1e55b1f6ab/ACB-53-330-f19.jpg
https://cdn.ncbi.nlm.nih.gov/pmc/blobs/32cd/7527115/b13d59959606/ACB-53-330-f20.jpg
https://cdn.ncbi.nlm.nih.gov/pmc/blobs/32cd/7527115/92e70ab2c451/ACB-53-330-f21.jpg
https://cdn.ncbi.nlm.nih.gov/pmc/blobs/32cd/7527115/bb17b5566ebf/ACB-53-330-f22.jpg
https://cdn.ncbi.nlm.nih.gov/pmc/blobs/32cd/7527115/103abeeca8ac/ACB-53-330-f23.jpg
https://cdn.ncbi.nlm.nih.gov/pmc/blobs/32cd/7527115/a2bdecad377c/ACB-53-330-f24.jpg
https://cdn.ncbi.nlm.nih.gov/pmc/blobs/32cd/7527115/2389de66c346/ACB-53-330-f25.jpg

相似文献

1
Effect of caffeinated energy drinks on the structure of hippocampal cornu ammonis 1 and dentate gyrus of adult male albino rats.含咖啡因能量饮料对成年雄性白化大鼠海马角回1和齿状回结构的影响。
Anat Cell Biol. 2020 Sep 30;53(3):330-341. doi: 10.5115/acb.20.136.
2
Single-nucleus Atlas of Sevoflurane-induced Hippocampal Cell Type- and Sex-specific Effects during Development in Mice.小鼠发育过程中七氟醚诱导的海马细胞类型和性别特异性效应的单核体图谱
Anesthesiology. 2023 May 1;138(5):477-495. doi: 10.1097/ALN.0000000000004522.
3
The epileptic human hippocampal cornu ammonis 2 region generates spontaneous interictal-like activity in vitro.癫痫患者的海马角 2 区在体外产生自发性癫痫样活动。
Brain. 2009 Nov;132(Pt 11):3032-46. doi: 10.1093/brain/awp238. Epub 2009 Sep 18.
4
Alterations in the immunoreactivity for muscarinic acetylcholine receptors and colocalized PKC gamma in mouse hippocampus induced by spatial discrimination learning.空间辨别学习诱导的小鼠海马中M型乙酰胆碱受体免疫反应性及共定位PKCγ的改变
Hippocampus. 1995;5(4):349-62. doi: 10.1002/hipo.450050408.
5
miR-29a differentially regulates cell survival in astrocytes from cornu ammonis 1 and dentate gyrus by targeting VDAC1.微小RNA-29a通过靶向电压依赖性阴离子通道1,对海马体1区和齿状回星形胶质细胞的细胞存活进行差异性调控。
Mitochondrion. 2016 Sep;30:248-54. doi: 10.1016/j.mito.2016.08.013. Epub 2016 Aug 21.
6
Effect of lithium in pyramidal neurons of Cornu Ammonis in an animal model.锂对动物模型中海马角锥体神经元的影响。
J Psychiatr Res. 2023 Nov;167:33-36. doi: 10.1016/j.jpsychires.2023.10.001. Epub 2023 Oct 5.
7
Hippocampal sub-regional differences in the microRNA response to forebrain ischemia.海马亚区在前脑缺血后 microRNA 反应的差异。
Mol Cell Neurosci. 2019 Jul;98:164-178. doi: 10.1016/j.mcn.2019.05.003. Epub 2019 May 23.
8
Immunoreactivity for calretininin interneurons of the hippocampal CA1 field and dentate gyrus in adult rats after administration of habanero peppers (Capsicum chinense Jacq.).给予成年大鼠哈瓦那辣椒(辣椒属中国辣椒)后,海马CA1区和齿状回中间神经元中钙视网膜蛋白的免疫反应性。
Pol J Vet Sci. 2018 Sep;21(3):469-474. doi: 10.24425/122620.
9
Effects of prolyl-hydroxylase inhibition and chronic intermittent hypoxia on synaptic transmission and plasticity in the rat CA1 and dentate gyrus.脯氨酰羟化酶抑制和慢性间断性低氧对大鼠 CA1 和齿状回突触传递和可塑性的影响。
Neurobiol Dis. 2014 Feb;62:8-17. doi: 10.1016/j.nbd.2013.08.016. Epub 2013 Sep 17.
10
Distribution of AMPA receptor subunits in the hippocampal formation of temporal lobe epilepsy patients.AMPA受体亚基在颞叶癫痫患者海马结构中的分布。
Neuroscience. 1996 May;72(1):15-29. doi: 10.1016/0306-4522(95)00554-4.

引用本文的文献

1
Common Questions and Misconceptions About Energy Drinks: What Does the Scientific Evidence Really Show?关于能量饮料的常见问题与误解:科学证据究竟表明了什么?
Nutrients. 2024 Dec 27;17(1):67. doi: 10.3390/nu17010067.
2
Effect of ivabradine on cognitive functions of rats with scopolamine-induced dementia.异搏定对东莨菪碱致痴呆大鼠认知功能的影响。
Sci Rep. 2022 Oct 10;12(1):16970. doi: 10.1038/s41598-022-20963-5.
3
The Consumption of Energy Drinks Induces Blood-Brain Barrier Dysfunction in Wild-Type Mice.能量饮料的摄入会导致野生型小鼠血脑屏障功能障碍。

本文引用的文献

1
Adenosine kinase inhibition promotes proliferation of neural stem cells after traumatic brain injury.腺苷激酶抑制促进创伤性脑损伤后神经干细胞的增殖。
Brain Commun. 2020;2(1):fcaa017. doi: 10.1093/braincomms/fcaa017. Epub 2020 Feb 20.
2
Age-Dependent Remarkable Regenerative Potential of the Dentate Gyrus Provided by Intrinsic Stem Cells.内源性干细胞为齿状回提供与年龄相关的显著再生潜力。
J Neurosci. 2020 Jan 29;40(5):974-995. doi: 10.1523/JNEUROSCI.1010-19.2019. Epub 2020 Jan 20.
3
Reasonably activating Nrf2: A long-term, effective and controllable strategy for neurodegenerative diseases.
Front Nutr. 2021 May 3;8:668514. doi: 10.3389/fnut.2021.668514. eCollection 2021.
合理激活 Nrf2:防治神经退行性疾病的长效、有效且可控策略。
Eur J Med Chem. 2020 Jan 1;185:111862. doi: 10.1016/j.ejmech.2019.111862. Epub 2019 Nov 8.
4
Reactive Astrocytes in Neurodegenerative Diseases.神经退行性疾病中的反应性星形胶质细胞
Aging Dis. 2019 Jun 1;10(3):664-675. doi: 10.14336/AD.2018.0720. eCollection 2019 Jun.
5
Perinatal exposure to energy drink induces oxidative damage in the liver, kidney and brain, and behavioral alterations in mice offspring.围产期暴露于能量饮料会导致小鼠后代的肝脏、肾脏和大脑氧化损伤,并引起行为改变。
Biomed Pharmacother. 2018 Jun;102:798-811. doi: 10.1016/j.biopha.2018.03.139. Epub 2018 Apr 5.
6
Caffeine consumption disrupts hippocampal long-term potentiation in freely behaving rats.摄入咖啡因会破坏自由活动大鼠的海马体长期增强效应。
Physiol Rep. 2018 Mar;6(5). doi: 10.14814/phy2.13632.
7
Current understanding of the molecular mechanisms in Parkinson's disease: Targets for potential treatments.帕金森病分子机制的当前认识:潜在治疗靶点
Transl Neurodegener. 2017 Oct 25;6:28. doi: 10.1186/s40035-017-0099-z. eCollection 2017.
8
Health Effects and Public Health Concerns of Energy Drink Consumption in the United States: A Mini-Review.美国能量饮料消费对健康的影响及公共卫生问题:一篇综述短文
Front Public Health. 2017 Aug 31;5:225. doi: 10.3389/fpubh.2017.00225. eCollection 2017.
9
Energy Drinks and Their Impact on the Cardiovascular System: Potential Mechanisms.能量饮料及其对心血管系统的影响:潜在机制
Adv Nutr. 2016 Sep 15;7(5):950-60. doi: 10.3945/an.116.012526. Print 2016 Sep.
10
Energy Drink Administration in Combination with Alcohol Causes an Inflammatory Response and Oxidative Stress in the Hippocampus and Temporal Cortex of Rats.能量饮料与酒精联合摄入会引发大鼠海马体和颞叶皮质的炎症反应及氧化应激。
Oxid Med Cell Longev. 2016;2016:8725354. doi: 10.1155/2016/8725354. Epub 2016 Mar 16.