Suppr超能文献

一例中枢神经系统局限性霍奇金淋巴瘤合并肺淋巴瘤样肉芽肿病的女性患者病例报告。

A Case Report of a Female Patient With Hodgkin Lymphoma Localized in the Central Nervous System and With Concomitant Pulmonary Lymphomatoid Granulomatosis.

作者信息

Szczepanek Dariusz, Szumiło Justyna, Stoma Filip, Szymczyk Agnieszka, Jarosz Bożena, Szczepanek Aleksandra, Hus Marek, Trojanowski Tomasz, Wasik-Szczepanek Ewa

机构信息

Chair and Department of Neurosurgery and Paediatric Neurosurgery, Medical University of Lublin, Lublin, Poland.

Chair and Department of Clinical Pathomorphology, Medical University of Lublin, Lublin, Poland.

出版信息

Front Neurol. 2020 Sep 8;11:963. doi: 10.3389/fneur.2020.00963. eCollection 2020.

Abstract

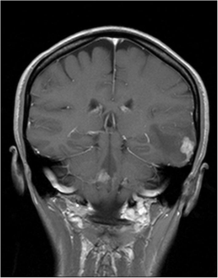
The involvement of the central nervous system (CNS) in Hodgkin lymphoma (HL) has been rarely reported, especially in its primary isolated form. Herein, we present a case of a 33-year-old woman, who received immunosuppressive treatment due to ulcerative colitis (at the beginning azathioprine and sulfasalazine, changed to mesalazine), with repetitive episodes of loss of consciousness for a few weeks and with no other symptoms. Magnetic resonance imaging scans of the head revealed a tumor in the lateral part of the left temporal lobe and in the cerebellum. Moreover, a subsequent computed tomographic scan of the chest revealed diffuse tumorous lesions in the lungs. The brain tumor was resected and a tumorous lesion resected from the lungs was biopsied. The histopathological analysis confirmed the final diagnosis of HL localized in the CNS with concomitant pulmonary lymphomatoid granulomatosis (LYG) grade 1. After the patient underwent radiotherapy and chemotherapy, the patient showed complete regression of lesions in the CNS and lungs, which was confirmed by positron emission tomographic scan. LYG and CNS-HL are rare proliferative disease derived from lymphocytes B and associated with EBV infections. An association between LYG and other autoimmune disorders has been reported, but to the best of our knowledge, this is the first case of the CNS-HL associated with lymphatoid granulomatosis.

摘要

中枢神经系统(CNS)受累于霍奇金淋巴瘤(HL)的情况鲜有报道,尤其是原发性孤立形式。在此,我们报告一例33岁女性病例,该患者因溃疡性结肠炎接受免疫抑制治疗(起初使用硫唑嘌呤和柳氮磺胺吡啶,后改为美沙拉嗪),数周内反复出现意识丧失,无其他症状。头部磁共振成像扫描显示左颞叶外侧和小脑有肿瘤。此外,随后的胸部计算机断层扫描显示肺部有弥漫性肿瘤病变。切除脑部肿瘤并对肺部切除的肿瘤病变进行活检。组织病理学分析证实最终诊断为CNS局限性HL并伴有1级肺淋巴瘤样肉芽肿病(LYG)。患者接受放疗和化疗后,正电子发射断层扫描证实CNS和肺部病变完全消退。LYG和CNS-HL是源自B淋巴细胞且与EB病毒感染相关的罕见增殖性疾病。已有报道称LYG与其他自身免疫性疾病有关,但据我们所知,这是首例与淋巴瘤样肉芽肿病相关的CNS-HL病例。

https://cdn.ncbi.nlm.nih.gov/pmc/blobs/7ea6/7506053/841c27059e74/fneur-11-00963-g0001.jpg

文献检索

告别复杂PubMed语法,用中文像聊天一样搜索,搜遍4000万医学文献。AI智能推荐,让科研检索更轻松。

立即免费搜索

文件翻译

保留排版,准确专业,支持PDF/Word/PPT等文件格式,支持 12+语言互译。

免费翻译文档

深度研究

AI帮你快速写综述,25分钟生成高质量综述,智能提取关键信息,辅助科研写作。

立即免费体验