Suppr超能文献

新生儿波兰-莫比乌斯综合征合并单侧声带麻痹

Poland-Mobius Syndrome With Unilateral Vocal Cord Paralysis in a Neonate.

作者信息

Yadav Priyanka, Utture Alpana, Dande Vaidehi, Bodhanwala Minnie, Agarwal Ankit

机构信息

Neonatology, Bai Jerbai Wadia Hospital for Children, Mumbai, IND.

Head of institution, Bai Jerbai Wadia Hospital for Children, Mumbai, IND.

出版信息

Cureus. 2020 Sep 2;12(9):e10215. doi: 10.7759/cureus.10215.

Abstract

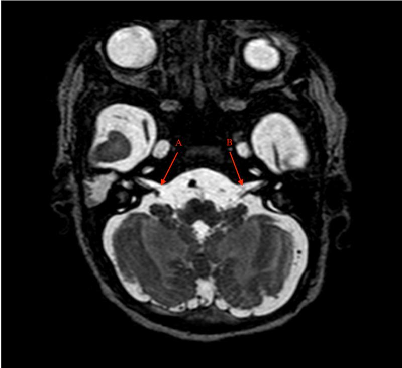
Poland-Mobius syndrome is a rare congenital disorder that includes features of Poland and Mobius syndromes. It is characterized by unilateral or bilateral congenital facial weakness, impairment of abduction of eyes, associated limb anomalies, and aplasia or hypoplasia of the pectoralis muscle. We describe a case of Poland-Mobius syndrome in a neonate associated with unilateral vocal cord immobility.

摘要

波兰-莫比乌斯综合征是一种罕见的先天性疾病,包括波兰综合征和莫比乌斯综合征的特征。其特点是单侧或双侧先天性面部无力、眼球外展障碍、相关肢体异常以及胸肌发育不全或发育不良。我们描述了一例新生儿波兰-莫比乌斯综合征合并单侧声带麻痹的病例。

https://cdn.ncbi.nlm.nih.gov/pmc/blobs/dc6b/7535874/8538c314829a/cureus-0012-00000010215-i01.jpg

文献AI研究员

20分钟写一篇综述,助力文献阅读效率提升50倍。

立即体验

用中文搜PubMed

大模型驱动的PubMed中文搜索引擎

马上搜索

文档翻译

学术文献翻译模型,支持多种主流文档格式。

立即体验