Department of Clinical Neurosciences, Division of Neurosurgery, Geneva University Hospitals, 4, Rue Gabrielle Perret Gentil, 1205, Geneve, Switzerland.
Acta Neurochir (Wien). 2022 Mar;164(3):767-770. doi: 10.1007/s00701-020-04601-5. Epub 2020 Oct 13.
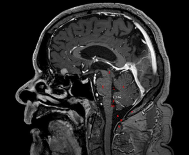
A 54-year-old female was referred to our clinic with a lesion of the lower fourth ventricle extending to the median aperture. Here, we report the use a minimally invasive sub-occipital approach (MISA) as a safe and effective surgical management.
We performed a MISA using a short midline incision and a 1-cm sub-occipital craniectomy. Dissection of the lesion was performed, and "en bloc" resection could be achieved. The lesion was confirmed to be a grade I sub-ependymoma.
MISA can be safely used when confronted to a lesion of the lower fourth ventricle.
一位 54 岁女性因第四脑室下部的病变被转诊至我科,病变延伸至中隔孔。在此,我们报告采用一种微创下枕骨入路(MISA)作为一种安全有效的手术治疗方法。
我们采用短正中切口和 1cm 的下枕骨开颅术进行 MISA。对病变进行解剖,可实现“整块”切除。病变被确认为一级室管膜下瘤。
当面对第四脑室下部的病变时,可以安全地使用 MISA。