Mindaye Esubalew Taddese, Arayia Abraham, Tufa Tesfaye H, Bekele Mahteme
Department of Surgery, Saint Paul's Hospital Millennium Medical College, Swaziland Street 1271, Addis Ababa, Ethiopia.
Department of Surgery, Saint Paul's Hospital Millennium Medical College, Addis Ababa, Ethiopia.
Int J Surg Case Rep. 2020;76:259-262. doi: 10.1016/j.ijscr.2020.10.006. Epub 2020 Oct 8.
Pneumopericardium, the presence of air within the pericardial space, is a rare occurrence which usually follows positive pressure ventilation in infants, or blunt and penetrating thoracoabdominal injuries in adults. The occurrence of iatrogenic pneumopericardium following tube thoracostomy is extremely rare.
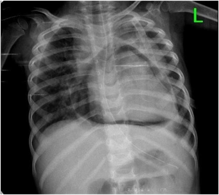
We present a rare case of iatrogenic pneumopericardium in a 1 year and 7 months old female child for whom a left side tube thoracostomy was done using nasogastric tube for an indication of left empyema thoracis. Later, she developed progressively worsening shortness of breath and imaging revealed iatrogenic pneumopericardium. She was managed conservatively and discharged home in good condition.
Iatrogenic pneumopericardium can have a range of presentations from being asymptomatic to features of cardiac tamponade. Patient management depends on the presence of tamponade effect and age of the patient. Infants tend to develop cardiac tamponade earlier urging surgical intervention but selected patients can be managed conservatively.
Iatrogenic pneumopericardium is a rare event but it might lead to death if not diagnosed and treated promptly. Although the tendency to develop tension pneumopericardium urging surgical intervention is high in pediatric patients, our patient has improved well with conservative management. While reporting of complications is not popular, this represents an opportunity to advance the safety during chest drain insertion.
心包积气是指心包腔内存在气体,这种情况较为罕见,通常继发于婴儿的正压通气,或成人的钝性及穿透性胸腹外伤。胸腔闭式引流术后发生医源性心包积气极为罕见。
我们报告一例1岁7个月女童医源性心包积气的罕见病例,该患儿因左侧脓胸行经鼻胃管左侧胸腔闭式引流术。术后,她的呼吸急促逐渐加重,影像学检查显示为医源性心包积气。对她进行了保守治疗,出院时情况良好。
医源性心包积气的表现范围从无症状到心脏压塞的症状不等。患者的治疗取决于是否存在压塞效应及患者年龄。婴儿往往较早出现心脏压塞,需要手术干预,但部分患者可进行保守治疗。
医源性心包积气是一种罕见事件,但如果不及时诊断和治疗可能导致死亡。虽然小儿患者发生张力性心包积气并促使手术干预的倾向较高,但我们的患者经保守治疗后恢复良好。虽然并发症报告并不常见,但这是提高胸腔引流插入安全性的一个契机。