Suppr超能文献

钝性胸部创伤所致张力性心包积气

Tension pneumopericardium in blunt thoracic trauma.

作者信息

Rolim Marques Antonio Fernando, Lopes Lizianne Hermogenes, Martins Marcela Dos Santos, Carmona Cesar Vanderlei, Fraga Gustavo Pereira, Hirano Elcio Shiyoti

机构信息

Trauma Division, Department of Surgery, University of Campinas Teaching Hospital, Faculty of Medical Sciences, University of Campinas, Campinas, SP, Brazil.

Trauma Division, Department of Surgery, University of Campinas Teaching Hospital, Faculty of Medical Sciences, University of Campinas, Campinas, SP, Brazil.

出版信息

Int J Surg Case Rep. 2016;24:188-90. doi: 10.1016/j.ijscr.2016.04.052. Epub 2016 May 6.

Abstract

INTRODUCTION

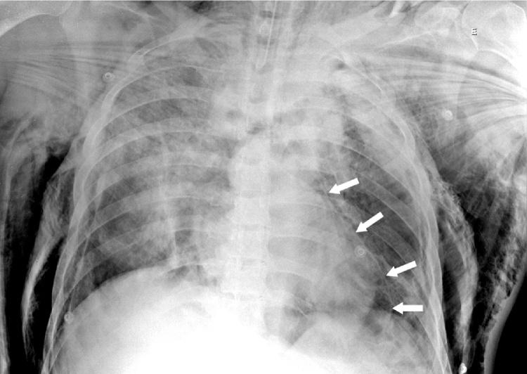
Pneumopericardium, defined as the presence of gas in the pericardial sac, is a rare condition caused mostly by trauma. Tension pneumopericardium is a cause of hemodynamic instability; hence, it consists in a life-threatening situation and should be regarded in blunt chest trauma.

CASE REPORT

A 51-year-old male was victim of a 4m fall and burial. He was stable upon admission and presented a simple pneumopericardium and pneumomediastinum on CT. While being submitted to an upper digestive endoscopy he presented respiratory failure and had to be intubated, suddenly evolving to shock. He was promptly referred to the operating room; a pericardial window confirmed tension pneumopericardium and immediately hemodynamic stability was restored. A pericardial drain was placed and kept for 15days. He was discharged at the 18th day post-trauma after a satisfactory recovery at the trauma ICU.

DISCUSSION

Blunt thoracic trauma causes pneumopericardium by various mechanisms. Tension pneumopericardium is a possible outcome, probably related to positive-pressure ventilation. It leads to hemodynamic instability and requires immediate decompression and placement of a pericardial drain.

摘要

引言

心包积气定义为心包腔内存在气体,是一种罕见的病症,主要由外伤引起。张力性心包积气是血流动力学不稳定的一个原因;因此,它构成一种危及生命的情况,在钝性胸部创伤中应予以考虑。

病例报告

一名51岁男性从4米高处坠落并被掩埋。入院时情况稳定,CT显示为单纯性心包积气和纵隔积气。在接受上消化道内镜检查时,他出现呼吸衰竭,不得不插管,随后突然发展为休克。他被迅速送往手术室;心包开窗术证实为张力性心包积气,血流动力学立即恢复稳定。放置了心包引流管并保留15天。在创伤重症监护病房恢复良好后,他于创伤后第18天出院。

讨论

钝性胸部创伤通过多种机制导致心包积气。张力性心包积气是一种可能的结果,可能与正压通气有关。它会导致血流动力学不稳定,需要立即减压并放置心包引流管。

https://cdn.ncbi.nlm.nih.gov/pmc/blobs/1836/4906123/013cd90579bc/gr1.jpg

文献AI研究员

20分钟写一篇综述,助力文献阅读效率提升50倍。

立即体验

用中文搜PubMed

大模型驱动的PubMed中文搜索引擎

马上搜索

文档翻译

学术文献翻译模型,支持多种主流文档格式。

立即体验