• 文献检索
  • 文档翻译
  • 深度研究
  • 学术资讯
  • Suppr Zotero 插件Zotero 插件
  • 邀请有礼
  • 套餐&价格
  • 历史记录
应用&插件
Suppr Zotero 插件Zotero 插件浏览器插件Mac 客户端Windows 客户端微信小程序
定价
高级版会员购买积分包购买API积分包
服务
文献检索文档翻译深度研究API 文档MCP 服务
关于我们
关于 Suppr公司介绍联系我们用户协议隐私条款
关注我们

Suppr 超能文献

核心技术专利:CN118964589B侵权必究
粤ICP备2023148730 号-1Suppr @ 2026

文献检索

告别复杂PubMed语法,用中文像聊天一样搜索,搜遍4000万医学文献。AI智能推荐,让科研检索更轻松。

立即免费搜索

文件翻译

保留排版,准确专业,支持PDF/Word/PPT等文件格式,支持 12+语言互译。

免费翻译文档

深度研究

AI帮你快速写综述,25分钟生成高质量综述,智能提取关键信息,辅助科研写作。

立即免费体验

在筛查乳房X线摄影初次检测后诊断为肾细胞癌。

Renal Cell Carcinoma Diagnosis After Initial Detection on Screening Mammogram.

作者信息

Nguyen Quan D, Ko Hyunjoo, Robinson Angelica S, Lee Anne E, He Jing

机构信息

Radiology, University of Texas Medical Branch, Galveston, USA.

Pathology, University of Texas Medical Branch, Galveston, USA.

出版信息

Cureus. 2020 Sep 13;12(9):e10428. doi: 10.7759/cureus.10428.

DOI:10.7759/cureus.10428
PMID:33062541
原文链接:https://pmc.ncbi.nlm.nih.gov/articles/PMC7553794/
Abstract

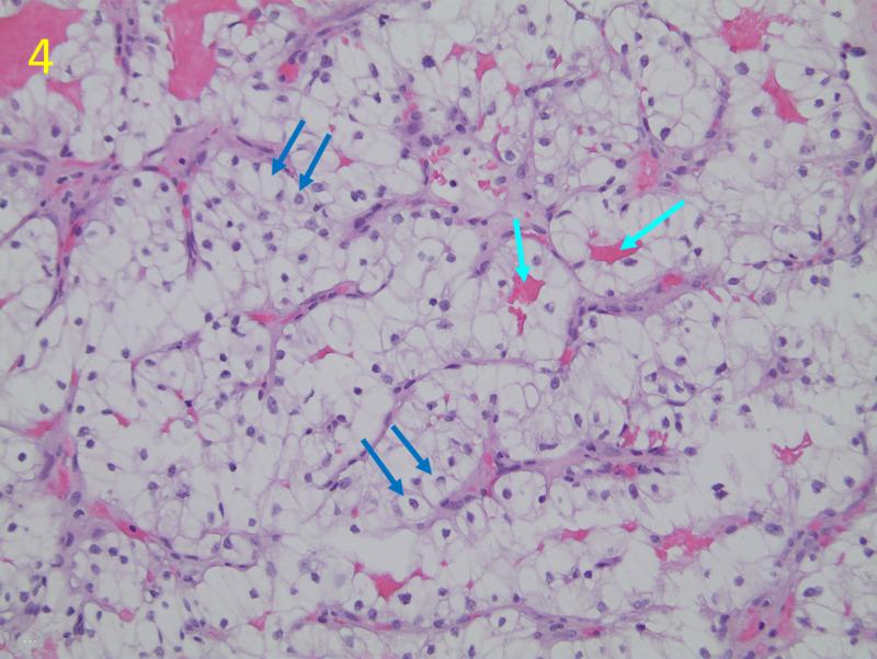
Renal cell carcinoma (RCC) defines a varied class of primary renal neoplasms which arise from the renal cortex. Because RCC often progresses silently to a very advanced metastatic stage, the majority of RCC cases are diagnosed either incidentally on abdominal imaging or upon presentation of invasive disease at metastatic sites. This case profiles a 57-year-old woman with distant history of resected RCC who presented with a posterior breast mass that was diagnosed as metastatic recurrence of RCC through mammogram, ultrasound, and core biopsy. Although the breast is an unusual site for metastasis, clinicians should consider metastatic RCC as a possible etiology when evaluating women with history of RCC and a newly discovered breast mass.

摘要

肾细胞癌(RCC)是一类起源于肾皮质的原发性肾脏肿瘤。由于肾细胞癌通常在无声无息中发展到非常晚期的转移阶段,大多数肾细胞癌病例是在腹部影像学检查时偶然发现的,或者是在转移部位出现侵袭性疾病时才被诊断出来。本病例介绍了一名57岁女性,她有肾细胞癌切除史,此次因乳腺后部肿块就诊,通过乳房X线摄影、超声和芯针活检诊断为肾细胞癌转移复发。尽管乳腺是不常见的转移部位,但临床医生在评估有肾细胞癌病史且新发现乳腺肿块的女性时,应考虑转移性肾细胞癌作为可能的病因。

https://cdn.ncbi.nlm.nih.gov/pmc/blobs/831c/7553794/89ef3511da11/cureus-0012-00000010428-i07.jpg
https://cdn.ncbi.nlm.nih.gov/pmc/blobs/831c/7553794/8bbb21990108/cureus-0012-00000010428-i01.jpg
https://cdn.ncbi.nlm.nih.gov/pmc/blobs/831c/7553794/87e74d60b25f/cureus-0012-00000010428-i02.jpg
https://cdn.ncbi.nlm.nih.gov/pmc/blobs/831c/7553794/0e73d2be19a4/cureus-0012-00000010428-i03.jpg
https://cdn.ncbi.nlm.nih.gov/pmc/blobs/831c/7553794/48520bb714b9/cureus-0012-00000010428-i04.jpg
https://cdn.ncbi.nlm.nih.gov/pmc/blobs/831c/7553794/4269366c4237/cureus-0012-00000010428-i05.jpg
https://cdn.ncbi.nlm.nih.gov/pmc/blobs/831c/7553794/c3dd699bdc76/cureus-0012-00000010428-i06.jpg
https://cdn.ncbi.nlm.nih.gov/pmc/blobs/831c/7553794/89ef3511da11/cureus-0012-00000010428-i07.jpg
https://cdn.ncbi.nlm.nih.gov/pmc/blobs/831c/7553794/8bbb21990108/cureus-0012-00000010428-i01.jpg
https://cdn.ncbi.nlm.nih.gov/pmc/blobs/831c/7553794/87e74d60b25f/cureus-0012-00000010428-i02.jpg
https://cdn.ncbi.nlm.nih.gov/pmc/blobs/831c/7553794/0e73d2be19a4/cureus-0012-00000010428-i03.jpg
https://cdn.ncbi.nlm.nih.gov/pmc/blobs/831c/7553794/48520bb714b9/cureus-0012-00000010428-i04.jpg
https://cdn.ncbi.nlm.nih.gov/pmc/blobs/831c/7553794/4269366c4237/cureus-0012-00000010428-i05.jpg
https://cdn.ncbi.nlm.nih.gov/pmc/blobs/831c/7553794/c3dd699bdc76/cureus-0012-00000010428-i06.jpg
https://cdn.ncbi.nlm.nih.gov/pmc/blobs/831c/7553794/89ef3511da11/cureus-0012-00000010428-i07.jpg

相似文献

1
Renal Cell Carcinoma Diagnosis After Initial Detection on Screening Mammogram.在筛查乳房X线摄影初次检测后诊断为肾细胞癌。
Cureus. 2020 Sep 13;12(9):e10428. doi: 10.7759/cureus.10428.
2
Clinically Silent, Metastatic Renal Cell Carcinoma Detected on Routine Screening Mammogram: A Report of a Rare Case and Review of Literature.常规筛查乳房X光检查发现的临床隐匿性转移性肾细胞癌:1例罕见病例报告及文献复习
Cureus. 2023 Nov 6;15(11):e48352. doi: 10.7759/cureus.48352. eCollection 2023 Nov.
3
Case Report of Renal Cell Carcinoma Metastasis to the Breast.病例报告:肾细胞癌转移至乳腺。
Am Surg. 2023 Aug;89(8):3541-3542. doi: 10.1177/00031348231161711. Epub 2023 Mar 6.
4
Arteriovenous malformation and thyroid metastasis from underlying renal cell carcinoma, an unusual presentation of malignancy: A case report.动静脉畸形与源于潜在肾细胞癌的甲状腺转移,一种罕见的恶性肿瘤表现:病例报告
Oncol Lett. 2017 May;13(5):3323-3327. doi: 10.3892/ol.2017.5822. Epub 2017 Mar 7.
5
Breast metastasis nine years after nephrectomy for renal cell carcinoma: A case report.肾细胞癌肾切除术后九年出现乳腺转移:一例报告。
Int J Surg Case Rep. 2017;39:145-149. doi: 10.1016/j.ijscr.2017.08.008. Epub 2017 Aug 18.
6
Metastatic renal cell carcinoma to the pancreas, thyroid, & subcutaneous tissue 13 years after Radical nephrectomy: A case report.根治性肾切除术后13年发生胰腺、甲状腺及皮下组织转移的肾细胞癌:1例报告
Int J Surg Case Rep. 2019;60:183-185. doi: 10.1016/j.ijscr.2019.05.031. Epub 2019 May 28.
7
Vaginal bleeding as a rare presentation of metastatic renal cell carcinoma: Case report and literature review.阴道出血作为转移性肾细胞癌的罕见表现:病例报告及文献综述
Int J Surg Case Rep. 2023 Sep;110:108657. doi: 10.1016/j.ijscr.2023.108657. Epub 2023 Aug 11.
8
Renal cell carcinoma with isolated breast metastasis.肾细胞癌伴孤立性乳腺转移。
BMJ Case Rep. 2017 Jun 15;2017:bcr-2016-219124. doi: 10.1136/bcr-2016-219124.
9
Renal Cell Carcinoma Metastasis to Ipsilateral Parotid and Submandibular Glands: Report of a Case with Sonoelastographic Findings.肾细胞癌转移至同侧腮腺和颌下腺:1例超声弹性成像表现的病例报告
Pol J Radiol. 2016 Jan 17;81:17-20. doi: 10.12659/PJR.895430. eCollection 2016.
10
Solitary breast mass as initial presentation of clinically silent metastatic renal cell carcinoma.孤立性乳腺肿块作为临床隐匿性转移性肾细胞癌的初始表现。
Breast. 2006 Jun;15(3):427-9. doi: 10.1016/j.breast.2005.09.009. Epub 2005 Nov 9.

本文引用的文献

1
The society for immunotherapy of cancer consensus statement on immunotherapy for the treatment of advanced renal cell carcinoma (RCC).癌症免疫治疗学会关于免疫治疗晚期肾细胞癌(RCC)的共识声明。
J Immunother Cancer. 2019 Dec 20;7(1):354. doi: 10.1186/s40425-019-0813-8.
2
Histologic Diagnosis of Renal Mass Biopsy.肾脏肿块活组织检查的组织学诊断。
Arch Pathol Lab Med. 2019 Jun;143(6):705-710. doi: 10.5858/arpa.2018-0272-RA. Epub 2019 Apr 10.
3
Renal clear cell carcinoma metastasis to the breast ten years after nephrectomy: a case report and literature review.
肾透明细胞癌肾切除术后十年转移至乳腺:一例报告及文献复习
Diagn Pathol. 2017 Nov 2;12(1):76. doi: 10.1186/s13000-017-0666-8.
4
Breast metastases from extramammary malignancies: multimodality imaging aspects.乳腺外恶性肿瘤的乳腺转移:多模态影像学表现
Br J Radiol. 2017 Aug;90(1077):20170197. doi: 10.1259/bjr.20170197. Epub 2017 May 25.
5
[Imaging diagnostics of breast metastases from extramammary tumors].[乳腺外肿瘤乳腺转移的影像学诊断]
Radiologe. 2017 Jun;57(6):459-465. doi: 10.1007/s00117-017-0247-6.
6
Association between cadmium exposure and renal cancer risk: a meta-analysis of observational studies.镉暴露与肾癌风险之间的关联:观察性研究的荟萃分析
Sci Rep. 2015 Dec 11;5:17976. doi: 10.1038/srep17976.
7
Overall survival in renal-cell carcinoma with pazopanib versus sunitinib.帕唑帕尼与舒尼替尼治疗肾细胞癌的总生存期对比
N Engl J Med. 2014 May 1;370(18):1769-70. doi: 10.1056/NEJMc1400731.
8
Kidney cancer: Characterizing late recurrence of renal cell carcinoma.肾癌:肾细胞癌晚期复发的特征分析
Nat Rev Urol. 2013 Dec;10(12):687-9. doi: 10.1038/nrurol.2013.239. Epub 2013 Oct 29.
9
Intramammary metastases: comparison of mammographic and ultrasound features.乳腺内转移:乳腺钼靶摄影与超声表现的对比
Eur J Radiol. 2013 Sep;82(9):1423-30. doi: 10.1016/j.ejrad.2013.04.032. Epub 2013 Jun 3.
10
Breast metastasis from renal cell carcinoma: rare initial presentation of disease recurrence after 5 years.肾细胞癌乳房转移:5 年后疾病复发的罕见首发表现。
J Breast Cancer. 2012 Jun;15(2):244-7. doi: 10.4048/jbc.2012.15.2.244. Epub 2012 Jun 28.