• 文献检索
  • 文档翻译
  • 深度研究
  • 学术资讯
  • Suppr Zotero 插件Zotero 插件
  • 邀请有礼
  • 套餐&价格
  • 历史记录
应用&插件
Suppr Zotero 插件Zotero 插件浏览器插件Mac 客户端Windows 客户端微信小程序
定价
高级版会员购买积分包购买API积分包
服务
文献检索文档翻译深度研究API 文档MCP 服务
关于我们
关于 Suppr公司介绍联系我们用户协议隐私条款
关注我们

Suppr 超能文献

核心技术专利:CN118964589B侵权必究
粤ICP备2023148730 号-1Suppr @ 2026

文献检索

告别复杂PubMed语法,用中文像聊天一样搜索,搜遍4000万医学文献。AI智能推荐,让科研检索更轻松。

立即免费搜索

文件翻译

保留排版,准确专业,支持PDF/Word/PPT等文件格式,支持 12+语言互译。

免费翻译文档

深度研究

AI帮你快速写综述,25分钟生成高质量综述,智能提取关键信息,辅助科研写作。

立即免费体验

乳腺外佩吉特病脑转移的手术治疗:一例报告

Surgical Treatment of Brain Metastasis of Extramammary Paget's Disease: A Case Report.

作者信息

Miura Shimpei, Kijima Noriyuki, Fujimori Nagisa, Nakagawa Tomoyoshi, Nakagawa Ryota, Tachi Tetsuro, Okita Yoshiko, Kanemura Yonehiro, Nakajima Shin, Mano Masayuki, Kishima Haruhiko, Ozawa Kentaro, Fujinaka Toshiyuki

机构信息

Department of Neurosurgery, Osaka National Hospital, National Hospital Organization, Osaka, Osaka, Japan.

Department of Neurosurgery, Osaka University, Graduate School of Medicine, Suita, Osaka, Japan.

出版信息

NMC Case Rep J. 2020 Sep 17;7(4):189-193. doi: 10.2176/nmccrj.cr.2019-0292. eCollection 2020 Sep.

DOI:10.2176/nmccrj.cr.2019-0292
PMID:33062567
原文链接:https://pmc.ncbi.nlm.nih.gov/articles/PMC7538455/
Abstract

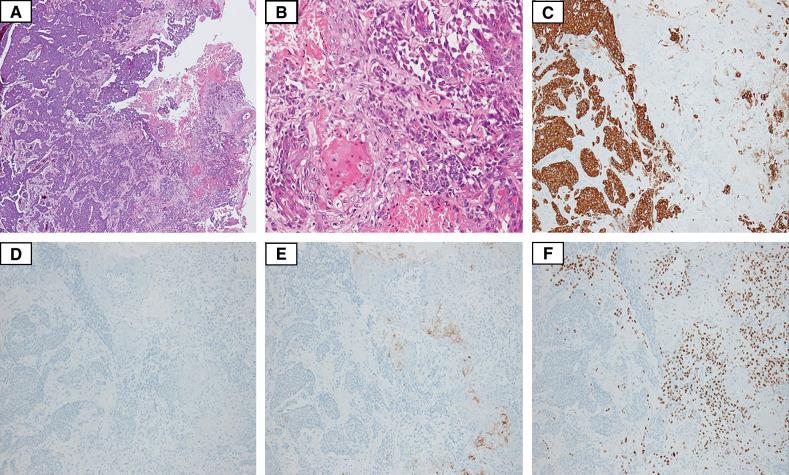
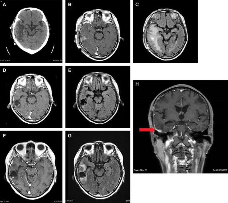
Extramammary Paget's disease (EMPD) is a rare form of neoplasm. Metastasis of EMPD to locations other than lymph nodes and intra-epithelial regions is rare; there are a limited number of case reports of metastases to the liver, lung, bone, and brain. We present a rare case of EMPD that metastasized to the brain and was treated with surgical resection. A 66-year-old man presented with a small palpable mass in the scrotum. After 5 years of observation, he was diagnosed with EMPD that metastasized to the lymph nodes and lung. Tumor resection and postoperative chemotherapy were performed. Six months after the last chemotherapy treatment, he presented with a right temporal lobe tumor and underwent surgical resection. Histopathological analysis revealed brain metastasis of EMPD. Three months after surgery, magnetic resonance imaging (MRI) showed local tumor recurrence, and intensity modulated radiation therapy (IMRT) (45 Gy/15 Fr) was performed. Although the metastatic brain tumor was well controlled, the primary tumor progressed. He was provided best supportive care and died 5 months after brain tumor resection. In this report, we present a rare case of brain metastasis of EMPD, treated with surgical resection, and histopathologically confirmed to be metastatic EMPD.

摘要

乳腺外佩吉特病(EMPD)是一种罕见的肿瘤形式。EMPD转移至淋巴结和上皮内区域以外部位的情况罕见;仅有少数关于转移至肝脏、肺、骨和脑的病例报告。我们报告一例罕见的EMPD脑转移病例,该病例接受了手术切除治疗。一名66岁男性阴囊出现一个可触及的小肿块。经过5年观察,他被诊断为EMPD伴淋巴结和肺转移。进行了肿瘤切除及术后化疗。最后一次化疗6个月后,他出现右侧颞叶肿瘤并接受了手术切除。组织病理学分析显示为EMPD脑转移。术后3个月,磁共振成像(MRI)显示局部肿瘤复发,遂进行调强放射治疗(IMRT)(45 Gy/15次分割)。尽管转移性脑肿瘤得到良好控制,但原发肿瘤进展。给予其最佳支持治疗,患者在脑肿瘤切除术后5个月死亡。在本报告中,我们呈现一例罕见的EMPD脑转移病例,经手术切除治疗,并经组织病理学证实为转移性EMPD。

https://cdn.ncbi.nlm.nih.gov/pmc/blobs/d6db/7538455/40a8a9ec2d27/nmccrj-7-189-g004.jpg
https://cdn.ncbi.nlm.nih.gov/pmc/blobs/d6db/7538455/10e5dcdfdb9f/nmccrj-7-189-g001.jpg
https://cdn.ncbi.nlm.nih.gov/pmc/blobs/d6db/7538455/6860a68a618d/nmccrj-7-189-g002.jpg
https://cdn.ncbi.nlm.nih.gov/pmc/blobs/d6db/7538455/38683465f4eb/nmccrj-7-189-g003.jpg
https://cdn.ncbi.nlm.nih.gov/pmc/blobs/d6db/7538455/40a8a9ec2d27/nmccrj-7-189-g004.jpg
https://cdn.ncbi.nlm.nih.gov/pmc/blobs/d6db/7538455/10e5dcdfdb9f/nmccrj-7-189-g001.jpg
https://cdn.ncbi.nlm.nih.gov/pmc/blobs/d6db/7538455/6860a68a618d/nmccrj-7-189-g002.jpg
https://cdn.ncbi.nlm.nih.gov/pmc/blobs/d6db/7538455/38683465f4eb/nmccrj-7-189-g003.jpg
https://cdn.ncbi.nlm.nih.gov/pmc/blobs/d6db/7538455/40a8a9ec2d27/nmccrj-7-189-g004.jpg

相似文献

1
Surgical Treatment of Brain Metastasis of Extramammary Paget's Disease: A Case Report.乳腺外佩吉特病脑转移的手术治疗:一例报告
NMC Case Rep J. 2020 Sep 17;7(4):189-193. doi: 10.2176/nmccrj.cr.2019-0292. eCollection 2020 Sep.
2
Extramammary Paget's Disease in Two Brothers.两兄弟患乳腺外佩吉特病。
Indian J Dermatol. 2015 Jul-Aug;60(4):423. doi: 10.4103/0019-5154.160541.
3
Recurrence of Noninvasive Perianal Extramammary Paget's Disease in the Lymph Nodes without Local Recurrence after Complete Excision.非侵袭性肛周乳腺外佩吉特病在完全切除后无局部复发但淋巴结复发
Case Rep Gastroenterol. 2020 Jul 30;14(2):402-408. doi: 10.1159/000508859. eCollection 2020 May-Aug.
4
Brain metastasis from extramammary Paget's disease.乳房外派杰特病脑转移。
Nagoya J Med Sci. 2020 Nov;82(4):791-798. doi: 10.18999/nagjms.82.4.791.
5
Primary Extramammary Paget's Disease Following Previously Treated Secondary Extramammary Paget's Disease Over the Scrotum: A Rare Case Successfully Treated With Mohs Micrographic Surgery.阴囊部先前治疗过的继发性乳房外佩吉特病之后出现的原发性乳房外佩吉特病:1例采用莫氏显微外科手术成功治疗的罕见病例
Cureus. 2024 Jun 25;16(6):e63160. doi: 10.7759/cureus.63160. eCollection 2024 Jun.
6
Brain metastasis from extramammary Paget's disease of the scrotum.脑转移来自阴囊的乳房外派杰氏病。
J Clin Neurosci. 2014 Apr;21(4):694-6. doi: 10.1016/j.jocn.2013.05.027. Epub 2013 Aug 17.
7
Modified weekly regimen of cisplatin, epirubicin and paclitaxel induced a durable response in two cases of metastatic extramammary Paget's disease.改良的顺铂、表阿霉素和紫杉醇每周方案在两例转移性乳腺外派杰氏病中诱导了持久的反应。
J Dermatol. 2017 Oct;44(10):1148-1151. doi: 10.1111/1346-8138.13869. Epub 2017 Apr 13.
8
Brain metastasis from cutaneous squamous cell carcinoma coexistent with extramammary Paget's disease: A case report.脑转移来自皮肤鳞状细胞癌合并乳腺外派杰病:病例报告。
Pathol Int. 2019 Oct;69(10):619-625. doi: 10.1111/pin.12846. Epub 2019 Aug 9.
9
Extramammary Paget's disease of scrotum--report of 25 cases and literature review.阴囊外 Paget 病——25 例报告及文献复习。
Urol Oncol. 2010 Jan-Feb;28(1):28-33. doi: 10.1016/j.urolonc.2008.07.002. Epub 2008 Sep 21.
10
Skull metastases from extramammary Paget's disease emerging 8 years after initial treatment with no local progression: illustrative case.乳腺外佩吉特病治疗8年后出现颅骨转移且无局部进展:病例报告
J Neurosurg Case Lessons. 2022 Sep 26;4(13). doi: 10.3171/CASE22280.

引用本文的文献

1
Skull metastases from extramammary Paget's disease emerging 8 years after initial treatment with no local progression: illustrative case.乳腺外佩吉特病治疗8年后出现颅骨转移且无局部进展:病例报告
J Neurosurg Case Lessons. 2022 Sep 26;4(13). doi: 10.3171/CASE22280.

本文引用的文献

1
Extramammary Paget's disease: a review of the literature.乳房外 Paget 病:文献复习。
Int J Dermatol. 2019 Aug;58(8):871-879. doi: 10.1111/ijd.14328. Epub 2018 Dec 19.
2
Brain metastasis from extramammary Paget's disease of the scrotum.脑转移来自阴囊的乳房外派杰氏病。
J Clin Neurosci. 2014 Apr;21(4):694-6. doi: 10.1016/j.jocn.2013.05.027. Epub 2013 Aug 17.
3
Extramammary Paget's disease: Summary of current knowledge.乳房外 Paget 病:现有知识概述。
Dermatol Clin. 2010 Oct;28(4):807-26. doi: 10.1016/j.det.2010.08.002.
4
Metastatic extramammary Paget's disease treated with paclitaxel and trastuzumab combination chemotherapy.采用紫杉醇和曲妥珠单抗联合化疗治疗转移性乳腺外佩吉特病。
J Dermatol. 2009 Aug;36(8):457-61. doi: 10.1111/j.1346-8138.2009.00676.x.
5
Extramammary Paget's disease.乳房外佩吉特病
BJOG. 2005 Mar;112(3):273-9. doi: 10.1111/j.1471-0528.2004.00438.x.
6
[A case of genital Paget's disease with severe dermal invasion and early dissemination].[1例伴有严重真皮浸润和早期播散的生殖器佩吉特病]
Hinyokika Kiyo. 1999 Apr;45(4):281-4.
7
Extramammary Paget's disease with aggressive behavior: a report of two cases.具有侵袭性行为的乳房外佩吉特病:两例报告
J Korean Med Sci. 1999 Apr;14(2):223-6. doi: 10.3346/jkms.1999.14.2.223.
8
Extramammary Paget's disease of the vulva: metastases to the bone marrow in the absence of an underlying adenocarcinoma--case report and literature review.外阴部乳房外佩吉特病:无潜在腺癌情况下发生骨髓转移——病例报告及文献综述
Gynecol Oncol. 1997 Jul;66(1):146-50. doi: 10.1006/gyno.1997.4735.