Suppr超能文献

COVID-19 感染患者的恶性大脑缺血:病例回顾与组织病理学发现。

Malignant Cerebral Ischemia in A COVID-19 Infected Patient: Case Review and Histopathological Findings.

机构信息

Department of Neurology, Hartford Hospital; Department(s) and institution(s):.

Department of Neurology, Hartford Hospital; Department(s) and institution(s).

出版信息

J Stroke Cerebrovasc Dis. 2020 Nov;29(11):105231. doi: 10.1016/j.jstrokecerebrovasdis.2020.105231. Epub 2020 Aug 5.

Abstract

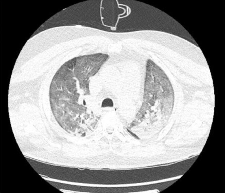
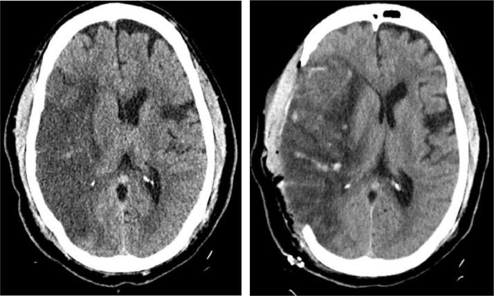
Severe acute respiratory syndrome coronavirus (SARS-CoV-2) is responsible for an unprecedented worldwide pandemic that has severely impacted the United States. As the pandemic continues, a growing body of evidence suggests that infected patients may develop significant coagulopathy with resultant thromboembolic complications including deep vein thrombosis, pulmonary embolism, myocardial infarction, and ischemic stroke. However, this data is limited and comes from recent small case series and observational studies on stroke types, mechanisms, and outcomes. Furthermore, evidence on the role of therapeutic anticoagulation in SARS-CoV-2 infected patients with elevated inflammatory markers, such as D-dimer, is also limited. We report the case of a middle-aged patient who presented with a large vessel ischemic stroke likely resulting from an underlying inflammatory response in the setting of known novel coronavirus infection (COVID-19). Histopathologic analysis of the patient's ischemic brain tissue revealed hypoxic neurons, significant edema from the underlying ischemic insult, fibrin thrombi in small vessels, and fibroid necrosis of the vascular wall without any signs of vasculature inflammation. Brain biopsy was negative for the presence of SARS-CoV-2 RNA (RT-PCR assay). Along with a growing body of literature, our case suggests that cerebrovascular thromboembolic events in COVID-19 infection may be related to acquired hypercoagulability and coagulation cascade activation due to the release of inflammatory markers and cytokines, rather than virus-induced vasculitis. Further studies to investigate the mechanism of cerebrovascular thromboembolic events and their prevention is warranted.

摘要

严重急性呼吸综合征冠状病毒(SARS-CoV-2)引发了一场史无前例的全球大流行,对美国造成了严重影响。随着大流行的持续,越来越多的证据表明,感染患者可能会出现明显的凝血功能障碍,导致血栓栓塞并发症,包括深静脉血栓形成、肺栓塞、心肌梗死和缺血性卒中。然而,这些数据有限,并且来自最近关于卒中类型、机制和结果的小病例系列和观察性研究。此外,关于在炎症标志物(如 D-二聚体)升高的 SARS-CoV-2 感染患者中使用抗凝治疗的证据也有限。我们报告了一例中年患者的病例,该患者患有大血管缺血性卒中,可能是在已知新型冠状病毒(COVID-19)感染的情况下,由潜在的炎症反应引起的。对患者缺血性脑组织的组织病理学分析显示,缺氧神经元、潜在缺血损伤引起的明显水肿、小血管中的纤维蛋白血栓形成以及血管壁的纤维样坏死,没有任何血管炎症的迹象。脑活检未发现 SARS-CoV-2 RNA(RT-PCR 检测)的存在。随着越来越多的文献报道,我们的病例表明,COVID-19 感染中的脑血管血栓栓塞事件可能与炎症标志物和细胞因子的释放导致的获得性高凝状态和凝血级联激活有关,而不是病毒引起的血管炎。有必要进一步研究脑血管血栓栓塞事件的发生机制及其预防措施。

https://cdn.ncbi.nlm.nih.gov/pmc/blobs/edd7/7405863/0b059f9371ca/gr1_lrg.jpg

文献AI研究员

20分钟写一篇综述,助力文献阅读效率提升50倍。

立即体验

用中文搜PubMed

大模型驱动的PubMed中文搜索引擎

马上搜索

文档翻译

学术文献翻译模型,支持多种主流文档格式。

立即体验