• 文献检索
  • 文档翻译
  • 深度研究
  • 学术资讯
  • Suppr Zotero 插件Zotero 插件
  • 邀请有礼
  • 套餐&价格
  • 历史记录
应用&插件
Suppr Zotero 插件Zotero 插件浏览器插件Mac 客户端Windows 客户端微信小程序
定价
高级版会员购买积分包购买API积分包
服务
文献检索文档翻译深度研究API 文档MCP 服务
关于我们
关于 Suppr公司介绍联系我们用户协议隐私条款
关注我们

Suppr 超能文献

核心技术专利:CN118964589B侵权必究
粤ICP备2023148730 号-1Suppr @ 2026

文献检索

告别复杂PubMed语法,用中文像聊天一样搜索,搜遍4000万医学文献。AI智能推荐,让科研检索更轻松。

立即免费搜索

文件翻译

保留排版,准确专业,支持PDF/Word/PPT等文件格式,支持 12+语言互译。

免费翻译文档

深度研究

AI帮你快速写综述,25分钟生成高质量综述,智能提取关键信息,辅助科研写作。

立即免费体验

子痫前期和正常妊娠胎盘肽的差异表达谱。

Distinct expression profiles of peptides in placentae from preeclampsia and normal pregnancies.

机构信息

Women's Hospital of Nanjing Medical University, Nanjing Maternity and Child Health Care Hospital, Nanjing, 210004, Jiangsu, China.

Yixing People's Hospital, YiXing, 214200, Jiangsu, China.

出版信息

Sci Rep. 2020 Oct 16;10(1):17558. doi: 10.1038/s41598-020-74840-0.

DOI:10.1038/s41598-020-74840-0
PMID:33067549
原文链接:https://pmc.ncbi.nlm.nih.gov/articles/PMC7567870/
Abstract

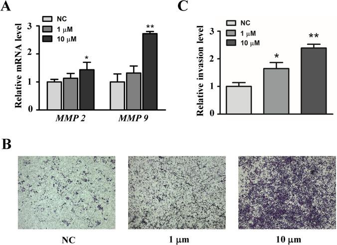
This study sought to identify potential bioactive peptides from the placenta that are involved in preeclampsia (PE) to obtain information about the prediction, diagnosis and treatment of PE. The liquid chromatography/mass spectrometry was used to perform a comparative analysis of placental peptides in normal and PE pregnancies. Gene ontology (GO), pathway analysis and ingenuity pathway analysis (IPA) were used to evaluate the underlying biological function of the differential peptides based on their protein precursors. Transwell assays and qPCR were used to study the effect of the identified bioactive peptides on the function of HTR-8/SVneo cells. A total of 392 upregulated peptides and 420 downregulated peptides were identified (absolute fold change ≥ 2 and adjusted P value < 0.05). The GO analysis, pathway analysis, and IPA revealed that these differentially expressed peptides play a role in PE. In addition, the up-regulated peptide "DQSATALHFLGRVANPLSTA" derived from Angiotensinogen exhibited effect on the invasiveness of HTR-8/SVneo cells. The current preliminary research not only provides a new research direction for studying the pathogenesis of PE, but also brings new insights for the prediction, diagnosis and treatment of PE.

摘要

本研究旨在从胎盘寻找参与子痫前期(PE)的潜在生物活性肽,以获得有关 PE 的预测、诊断和治疗的信息。采用液相色谱/质谱对正常妊娠和 PE 妊娠胎盘肽进行比较分析。基于其蛋白质前体,通过基因本体(GO)、通路分析和 Ingenuity 通路分析(IPA)对差异肽的潜在生物学功能进行评估。Transwell 检测和 qPCR 用于研究鉴定的生物活性肽对 HTR-8/SVneo 细胞功能的影响。共鉴定出 392 个上调肽和 420 个下调肽(绝对倍数变化≥2,调整 P 值<0.05)。GO 分析、通路分析和 IPA 表明这些差异表达的肽在 PE 中发挥作用。此外,来源于血管紧张素原的上调肽“DQSATALHFLGRVANPLSTA”对 HTR-8/SVneo 细胞的侵袭能力有影响。本初步研究不仅为研究 PE 的发病机制提供了新的研究方向,也为 PE 的预测、诊断和治疗带来了新的见解。

https://cdn.ncbi.nlm.nih.gov/pmc/blobs/0ec9/7567870/8ff3bb478a35/41598_2020_74840_Fig6_HTML.jpg
https://cdn.ncbi.nlm.nih.gov/pmc/blobs/0ec9/7567870/92bd05db3cfa/41598_2020_74840_Fig1_HTML.jpg
https://cdn.ncbi.nlm.nih.gov/pmc/blobs/0ec9/7567870/797c70d8555d/41598_2020_74840_Fig2_HTML.jpg
https://cdn.ncbi.nlm.nih.gov/pmc/blobs/0ec9/7567870/321d486c7395/41598_2020_74840_Fig3_HTML.jpg
https://cdn.ncbi.nlm.nih.gov/pmc/blobs/0ec9/7567870/810c8eff3930/41598_2020_74840_Fig4_HTML.jpg
https://cdn.ncbi.nlm.nih.gov/pmc/blobs/0ec9/7567870/68cfe7911e70/41598_2020_74840_Fig5_HTML.jpg
https://cdn.ncbi.nlm.nih.gov/pmc/blobs/0ec9/7567870/8ff3bb478a35/41598_2020_74840_Fig6_HTML.jpg
https://cdn.ncbi.nlm.nih.gov/pmc/blobs/0ec9/7567870/92bd05db3cfa/41598_2020_74840_Fig1_HTML.jpg
https://cdn.ncbi.nlm.nih.gov/pmc/blobs/0ec9/7567870/797c70d8555d/41598_2020_74840_Fig2_HTML.jpg
https://cdn.ncbi.nlm.nih.gov/pmc/blobs/0ec9/7567870/321d486c7395/41598_2020_74840_Fig3_HTML.jpg
https://cdn.ncbi.nlm.nih.gov/pmc/blobs/0ec9/7567870/810c8eff3930/41598_2020_74840_Fig4_HTML.jpg
https://cdn.ncbi.nlm.nih.gov/pmc/blobs/0ec9/7567870/68cfe7911e70/41598_2020_74840_Fig5_HTML.jpg
https://cdn.ncbi.nlm.nih.gov/pmc/blobs/0ec9/7567870/8ff3bb478a35/41598_2020_74840_Fig6_HTML.jpg

相似文献

1
Distinct expression profiles of peptides in placentae from preeclampsia and normal pregnancies.子痫前期和正常妊娠胎盘肽的差异表达谱。
Sci Rep. 2020 Oct 16;10(1):17558. doi: 10.1038/s41598-020-74840-0.
2
Regulation of the human placental (pro)renin receptor-prorenin-angiotensin system by microRNAs.miRNAs 对人胎盘(前)肾素受体-原肾素-血管紧张素系统的调节。
Mol Hum Reprod. 2018 Sep 1;24(9):453-464. doi: 10.1093/molehr/gay031.
3
MicroRNA-141 is upregulated in preeclamptic placentae and regulates trophoblast invasion and intercellular communication.微小RNA-141在子痫前期胎盘组织中表达上调,并调控滋养细胞侵袭及细胞间通讯。
Transl Res. 2016 Jun;172:61-72. doi: 10.1016/j.trsl.2016.02.012. Epub 2016 Mar 4.
4
Identification of miR-210-5p in human placentae from pregnancies complicated by preeclampsia and intrauterine growth restriction, and its potential role in the pregnancy complications.鉴定 miR-210-5p 在患有子痫前期和宫内生长受限的人类胎盘中的表达,并探讨其在妊娠并发症中的潜在作用。
Pregnancy Hypertens. 2020 Jan;19:159-168. doi: 10.1016/j.preghy.2020.01.002. Epub 2020 Jan 14.
5
Upregulated ARRDC3 limits trophoblast cell invasion and tube formation and is associated with preeclampsia.上调的 ARRDC3 限制滋养层细胞浸润和管形成,并与子痫前期相关。
Placenta. 2020 Jan 1;89:10-19. doi: 10.1016/j.placenta.2019.10.009. Epub 2019 Oct 15.
6
Up-regulation of miR-299 suppressed the invasion and migration of HTR-8/SVneo trophoblast cells partly via targeting HDAC2 in pre-eclampsia.miR-299 的上调部分通过靶向 HDAC2 抑制子痫前期 HTR-8/SVneo 滋养细胞的侵袭和迁移。
Biomed Pharmacother. 2018 Jan;97:1222-1228. doi: 10.1016/j.biopha.2017.11.053. Epub 2017 Nov 13.
7
Upregulated long noncoding RNA Linc00261 in pre-eclampsia and its effect on trophoblast invasion and migration via regulating miR-558/TIMP4 signaling pathway.上调的长非编码 RNA Linc00261 在子痫前期中的作用及其通过调节 miR-558/TIMP4 信号通路对滋养细胞侵袭和迁移的影响。
J Cell Biochem. 2019 Aug;120(8):13243-13253. doi: 10.1002/jcb.28598. Epub 2019 Mar 19.
8
Elevated microRNA-520g in pre-eclampsia inhibits migration and invasion of trophoblasts.子痫前期中升高的微小RNA-520g抑制滋养层细胞的迁移和侵袭。
Placenta. 2017 Mar;51:70-75. doi: 10.1016/j.placenta.2017.02.001. Epub 2017 Feb 2.
9
Transfer of miR-15a-5p by placental exosomes promotes pre-eclampsia progression by regulating PI3K/AKT signaling pathway via CDK1.胎盘外泌体传递的 miR-15a-5p 通过调节 CDK1 来促进 PI3K/AKT 信号通路进而促进子痫前期的进展。
Mol Immunol. 2020 Dec;128:277-286. doi: 10.1016/j.molimm.2020.10.019. Epub 2020 Nov 13.
10
Analysis of expression and comparative profile of normal placental tissue proteins and those in preeclampsia patients using proteomic approaches.运用蛋白质组学方法分析正常胎盘组织蛋白质与子痫前期患者胎盘组织蛋白质的表达及比较图谱。
Anal Chim Acta. 2008 Nov 23;629(1-2):158-64. doi: 10.1016/j.aca.2008.09.015. Epub 2008 Sep 12.

引用本文的文献

1
Machine learning combined with infrared spectroscopy for detection of hypertension pregnancy: towards newborn and pregnant blood analysis.机器学习结合红外光谱用于检测妊娠期高血压:迈向新生儿和孕妇血液分析
BMC Pregnancy Childbirth. 2025 Mar 27;25(1):358. doi: 10.1186/s12884-024-06941-x.
2
The Novel Peptide AEDPPE Alleviates Trophoblast Cell Dysfunction Associated With Preeclampsia by Regulating the NF-κB Signaling Pathway.新型肽AEDPPE通过调节NF-κB信号通路减轻子痫前期相关的滋养层细胞功能障碍。
Front Cardiovasc Med. 2021 Dec 17;8:738378. doi: 10.3389/fcvm.2021.738378. eCollection 2021.

本文引用的文献

1
Pre-eclampsia: pathogenesis, novel diagnostics and therapies.子痫前期:发病机制、新的诊断方法和治疗方法。
Nat Rev Nephrol. 2019 May;15(5):275-289. doi: 10.1038/s41581-019-0119-6.
2
Toward an efficient workflow for the analysis of the human milk peptidome.致力于人类母乳肽组分析的高效工作流程。
Anal Bioanal Chem. 2019 Mar;411(7):1351-1363. doi: 10.1007/s00216-018-01566-4. Epub 2019 Feb 2.
3
Microarray, IPA and GSEA Analysis in Mice Models.小鼠模型中的基因芯片、IPA和GSEA分析。
Bio Protoc. 2018 Sep 5;8(17). doi: 10.21769/BioProtoc.2999.
4
iProX: an integrated proteome resource.iProX:一个综合蛋白质组资源库。
Nucleic Acids Res. 2019 Jan 8;47(D1):D1211-D1217. doi: 10.1093/nar/gky869.
5
Thyroid-stimulating hormone, anti-thyroid antibodies, and pregnancy outcomes.促甲状腺激素、抗甲状腺抗体与妊娠结局。
Am J Obstet Gynecol. 2017 Dec;217(6):697.e1-697.e7. doi: 10.1016/j.ajog.2017.09.001. Epub 2017 Sep 14.
6
Circulating peptide prevents preeclampsia.循环肽可预防先兆子痫。
Science. 2017 Aug 18;357(6352):643-644. doi: 10.1126/science.aao2642.
7
Matrix Metalloproteinases in Normal Pregnancy and Preeclampsia.正常妊娠和子痫前期中的基质金属蛋白酶
Prog Mol Biol Transl Sci. 2017;148:87-165. doi: 10.1016/bs.pmbts.2017.04.001. Epub 2017 May 22.
8
CancerPDF: A repository of cancer-associated peptidome found in human biofluids.癌症肽组学数据库:人类生物体液中发现的与癌症相关的肽组学数据库。
Sci Rep. 2017 May 4;7(1):1511. doi: 10.1038/s41598-017-01633-3.
9
In-silico discovery of cancer-specific peptide-HLA complexes for targeted therapy.用于靶向治疗的癌症特异性肽-HLA复合物的计算机模拟发现
BMC Bioinformatics. 2016 Jul 20;17:286. doi: 10.1186/s12859-016-1150-2.
10
CXCR2 is decreased in preeclamptic placentas and promotes human trophoblast invasion through the Akt signaling pathway.CXCR2在子痫前期胎盘组织中表达降低,并通过Akt信号通路促进人滋养层细胞侵袭。
Placenta. 2016 Jul;43:17-25. doi: 10.1016/j.placenta.2016.04.016. Epub 2016 Apr 20.