• 文献检索
  • 文档翻译
  • 深度研究
  • 学术资讯
  • Suppr Zotero 插件Zotero 插件
  • 邀请有礼
  • 套餐&价格
  • 历史记录
应用&插件
Suppr Zotero 插件Zotero 插件浏览器插件Mac 客户端Windows 客户端微信小程序
定价
高级版会员购买积分包购买API积分包
服务
文献检索文档翻译深度研究API 文档MCP 服务
关于我们
关于 Suppr公司介绍联系我们用户协议隐私条款
关注我们

Suppr 超能文献

核心技术专利:CN118964589B侵权必究
粤ICP备2023148730 号-1Suppr @ 2026

文献检索

告别复杂PubMed语法,用中文像聊天一样搜索,搜遍4000万医学文献。AI智能推荐,让科研检索更轻松。

立即免费搜索

文件翻译

保留排版,准确专业,支持PDF/Word/PPT等文件格式,支持 12+语言互译。

免费翻译文档

深度研究

AI帮你快速写综述,25分钟生成高质量综述,智能提取关键信息,辅助科研写作。

立即免费体验

孤立性躯干对侧冲动作为急性丘脑梗死的一种罕见表现。

Isolated truncal contrapulsion as a rare presentation of acute thalamic infarct.

作者信息

Sheetal S, Kumar S A, Thomas R

机构信息

Department of Neurology, Pushpagiri Institute of Medical Sciences and Research, Tiruvalla, Kerala, India.

出版信息

J Postgrad Med. 2020 Oct-Dec;66(4):212-214. doi: 10.4103/jpgm.JPGM_706_19.

DOI:10.4103/jpgm.JPGM_706_19
PMID:33078722
原文链接:https://pmc.ncbi.nlm.nih.gov/articles/PMC7819379/
Abstract

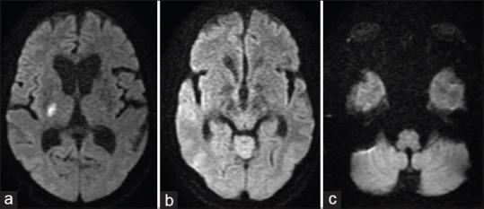
Infarcts involving the thalamus can yield many deficits, including sensory syndromes, altered consciousness, and cognitive disturbances, depending on the thalamic vascular territory involved. Isolated truncal contrapulsion due to pure thalamic infarct has been rarely reported. Truncal lateropulsion is a compelling sensation of being pulled toward one side that cannot be explained by weakness or limb ataxia. It is commonly reported in lateral medullary infarcts. It may occur with lesions that involve the peripheral vestibular system, brainstem, cerebellum, basal ganglia, ponto-mesencephalic, and thalamic lesions. We hereby report a 64-year-old woman who presented with truncal contrapulsion as the sole manifestation of an acute right lateral thalamic infarct.

摘要

根据所累及的丘脑血管区域,累及丘脑的梗死可导致多种功能缺损,包括感觉综合征、意识改变和认知障碍。因单纯丘脑梗死导致的孤立性躯干对侧推挤很少见报道。躯干侧方推挤是一种被拉向一侧的强烈感觉,无法用无力或肢体共济失调来解释。它常见于延髓外侧梗死。它可能与累及外周前庭系统、脑干、小脑、基底神经节、脑桥中脑以及丘脑的病变有关。我们在此报告一名64岁女性,其以躯干对侧推挤作为急性右侧丘脑梗死的唯一表现。

https://cdn.ncbi.nlm.nih.gov/pmc/blobs/6da8/7819379/f6dbf425ff97/JPGM-66-212-g002.jpg
https://cdn.ncbi.nlm.nih.gov/pmc/blobs/6da8/7819379/38fc9ec15b3a/JPGM-66-212-g001.jpg
https://cdn.ncbi.nlm.nih.gov/pmc/blobs/6da8/7819379/f6dbf425ff97/JPGM-66-212-g002.jpg
https://cdn.ncbi.nlm.nih.gov/pmc/blobs/6da8/7819379/38fc9ec15b3a/JPGM-66-212-g001.jpg
https://cdn.ncbi.nlm.nih.gov/pmc/blobs/6da8/7819379/f6dbf425ff97/JPGM-66-212-g002.jpg

相似文献

1
Isolated truncal contrapulsion as a rare presentation of acute thalamic infarct.孤立性躯干对侧冲动作为急性丘脑梗死的一种罕见表现。
J Postgrad Med. 2020 Oct-Dec;66(4):212-214. doi: 10.4103/jpgm.JPGM_706_19.
2
Thalamic astasia: inability to stand after unilateral thalamic lesions.丘脑性站立不能:单侧丘脑病变后无法站立。
Ann Neurol. 1988 Jun;23(6):596-603. doi: 10.1002/ana.410230612.
3
Multiple variant type thalamic infarcts: pure and combined types.多种变异型丘脑梗死:单纯型和复合型。
Acta Neurol Scand. 2015 Feb;131(2):102-10. doi: 10.1111/ane.12290. Epub 2014 Aug 11.
4
Mesencephalic and associated posterior circulation infarcts.中脑及相关后循环梗死。
Stroke. 2002 Sep;33(9):2224-31. doi: 10.1161/01.str.0000027438.93029.87.
5
Clinical features, topographic patterns on DWI and etiology of thalamic infarcts.丘脑梗死的临床特征、弥散加权成像上的影像学表现及病因
J Neurol Sci. 2008 Apr 15;267(1-2):147-53. doi: 10.1016/j.jns.2007.10.014.
6
The syndrome of combined polar and paramedian thalamic infarction.丘脑极部和旁正中联合梗死综合征
Arch Neurol. 2005 Aug;62(8):1212-6. doi: 10.1001/archneur.62.8.1212.
7
Paramedian thalamic and midbrain infarct: clinical and neuropathological study.丘脑旁正中及中脑梗死:临床与神经病理学研究
Ann Neurol. 1981 Aug;10(2):127-48. doi: 10.1002/ana.410100204.
8
Bilateral thalamic infarction. Clinical, etiological and MRI correlates.双侧丘脑梗死。临床、病因及磁共振成像相关性
Acta Neurol Scand. 2001 Jan;103(1):35-42. doi: 10.1034/j.1600-0404.2001.00141.x.
9
Anteromedial thalamic infarct: a rare presentation.丘脑前内侧梗死:一种罕见的表现。
BMJ Case Rep. 2018 May 2;2018:bcr-2017-223404. doi: 10.1136/bcr-2017-223404.
10
Ataxic hemiparesis following thalamic lacunar infarction.丘脑腔隙性梗死所致共济失调性偏瘫
Intern Med. 1992 Jul;31(7):889-92. doi: 10.2169/internalmedicine.31.889.

本文引用的文献

1
[Neuroanatomy of Isolated Body Lateropulsion].
Brain Nerve. 2016 Mar;68(3):263-70. doi: 10.11477/mf.1416200387.
2
A topodiagnostic investigation on body lateropulsion in medullary infarcts.延髓梗死身体侧推的地形诊断研究。
Neurology. 2005 Feb 22;64(4):716-8. doi: 10.1212/01.WNL.0000152040.27264.1A.
3
Perceived vertical and lateropulsion: clinical syndromes, localization, and prognosis.感知性垂直视及侧推症:临床综合征、定位及预后
Neurorehabil Neural Repair. 2000;14(1):1-12. doi: 10.1177/154596830001400101.
4
The neural representation of postural control in humans.人类姿势控制的神经表征。
Proc Natl Acad Sci U S A. 2000 Dec 5;97(25):13931-6. doi: 10.1073/pnas.240279997.
5
[Two cases of thalamic infarction presenting with "thalamic astasia"].
Rinsho Shinkeigaku. 2000 Apr;40(4):383-7.
6
Thalamic infarcts: clinical syndromes, etiology, and prognosis.丘脑梗死:临床综合征、病因及预后
Neurology. 1988 Jun;38(6):837-48. doi: 10.1212/wnl.38.6.837.
7
Thalamic astasia: inability to stand after unilateral thalamic lesions.丘脑性站立不能:单侧丘脑病变后无法站立。
Ann Neurol. 1988 Jun;23(6):596-603. doi: 10.1002/ana.410230612.
8
'Rubral' gait ataxia.红核性步态共济失调
Neurology. 1990 Jun;40(6):1004-5. doi: 10.1212/wnl.40.6.1004-a.
9
Infarction in the anterior rostral cerebellum (the territory of the lateral branch of the superior cerebellar artery).小脑嘴侧前部梗死(小脑上动脉外侧支供血区域)。
Neurology. 1991 Feb;41(2 ( Pt 1)):253-8. doi: 10.1212/wnl.41.2_part_1.253.