Department of Pharmaceutical Sciences, College of Clinical Pharmacy, King Faisal University, Al-Ahsa 31982, Saudi Arabia.
Department of Pharmacology, Institute of Pharmacy, Nirma University, Ahmedabad 382481, Gujarat, India.
Nutrients. 2020 Oct 18;12(10):3186. doi: 10.3390/nu12103186.
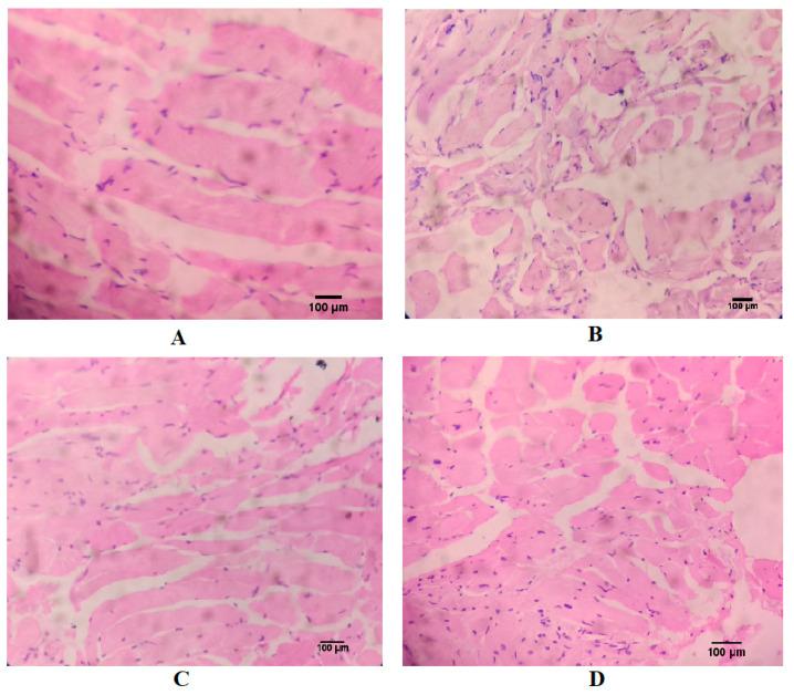
Estrogen is instrumental in the pathological process of osteoporosis because a deficiency of this hormone increases the release of bone-resorbing cytokines. Acetyl-11-keto-β-boswellic acid (AKBA), a constituent from , has an anti-inflammatory effect by inhibiting tumor necrosis factor-α (TNF-α) expression, which leads to a decline in receptor activator of nuclear factor-kappa B (NF-κB) ligand, and consequently, a reduction in osteoclast activity. Hence, AKBA may be beneficial against bone loss during osteoporosis. Therefore, the current study intended to evaluate the beneficial effects of AKBA in ovariectomy-induced osteoporosis and to investigate its mechanism of action. Sham-operation or ovariectomy female Sprague Dawley rats were used for evaluating the antiosteoporotic effect of AKBA in this study. AKBA (35 mg/kg, p.o.) and estradiol (0.05 mg/kg, i.m.) were administered for 42 days. At the end of the experiment, body and uterus weights, serum and urine calcium and phosphorus, serum alkaline phosphatase, and urinary creatinine levels, besides serum levels of NF-κB and TNF-α were determined. Weight, length, thickness, hardness, calcium content, as well as the bone mineral density of femur bone and lumbar vertebra were measured. A histopathological examination was also carried out. AKBA ameliorated all tested parameters and restored a normal histological structure. Thus, AKBA showed good antiosteoporotic activity, which may be mediated through its suppression of the NF-κB-induced TNF-α signaling pathway.
雌激素在骨质疏松症的病理过程中起着重要作用,因为这种激素的缺乏会增加骨吸收细胞因子的释放。乙酰基-11-酮-β-乳香酸(AKBA)是 的一种成分,具有抗炎作用,可抑制肿瘤坏死因子-α(TNF-α)的表达,从而导致核因子-κB(NF-κB)配体的受体激活剂下降,进而减少破骨细胞的活性。因此,AKBA 可能有益于骨质疏松症期间的骨质流失。因此,本研究旨在评估 AKBA 对去卵巢诱导的骨质疏松症的有益作用,并研究其作用机制。本研究采用假手术或去卵巢雌性 Sprague Dawley 大鼠来评估 AKBA 的抗骨质疏松作用。AKBA(35mg/kg,po)和雌二醇(0.05mg/kg,im)给药 42 天。实验结束时,测定体重、子宫重量、血清和尿液钙和磷、血清碱性磷酸酶和尿肌酐水平,以及血清 NF-κB 和 TNF-α 水平。测量股骨和腰椎的重量、长度、厚度、硬度、钙含量以及骨矿物质密度。还进行了组织病理学检查。AKBA 改善了所有测试参数并恢复了正常的组织学结构。因此,AKBA 表现出良好的抗骨质疏松活性,这可能是通过抑制 NF-κB 诱导的 TNF-α信号通路介导的。