• 文献检索
  • 文档翻译
  • 深度研究
  • 学术资讯
  • Suppr Zotero 插件Zotero 插件
  • 邀请有礼
  • 套餐&价格
  • 历史记录
应用&插件
Suppr Zotero 插件Zotero 插件浏览器插件Mac 客户端Windows 客户端微信小程序
定价
高级版会员购买积分包购买API积分包
服务
文献检索文档翻译深度研究API 文档MCP 服务
关于我们
关于 Suppr公司介绍联系我们用户协议隐私条款
关注我们

Suppr 超能文献

核心技术专利:CN118964589B侵权必究
粤ICP备2023148730 号-1Suppr @ 2026

文献检索

告别复杂PubMed语法,用中文像聊天一样搜索,搜遍4000万医学文献。AI智能推荐,让科研检索更轻松。

立即免费搜索

文件翻译

保留排版,准确专业,支持PDF/Word/PPT等文件格式,支持 12+语言互译。

免费翻译文档

深度研究

AI帮你快速写综述,25分钟生成高质量综述,智能提取关键信息,辅助科研写作。

立即免费体验

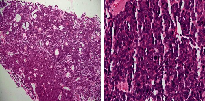
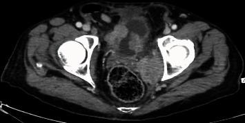
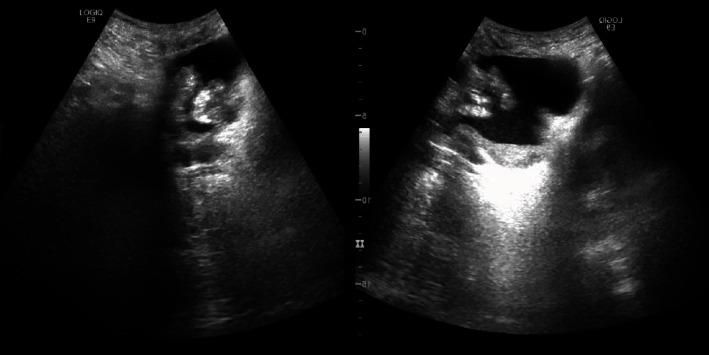
膀胱大细胞神经内分泌癌伴腺癌成分

Large Cell Neuroendocrine Carcinoma of the Bladder with Adenocarcinomatous Component.

作者信息

Halabi Rami, Abdessater Maher, Boustany Johnny, Kanbar Anthony, Akl Halim, El Khoury Joey, El Hachem Charbel, El Khoury Raghid

机构信息

Department of Urology, Notre Dame des Secours University Hospital Center (CHUNDS), Byblos City, Lebanon.

Faculty of Medicine and Medical Sciences, Holy Spirit University of Kaslik (USEK), Jounieh, Lebanon.

出版信息

Case Rep Urol. 2020 Oct 5;2020:8827646. doi: 10.1155/2020/8827646. eCollection 2020.

DOI:10.1155/2020/8827646
PMID:33083089
原文链接:https://pmc.ncbi.nlm.nih.gov/articles/PMC7557901/
Abstract

Large cell neuroendocrine carcinoma (LCNC) is one of the rarest types of bladder cancer occurring in <1%. Either pure or mixed with another component, it remains one of the most aggressive types of bladder cancer. We report a case of LCNC of the bladder with an adenocarcinomatous component. The patient was a 64-year-old smoker male, who presented for the first time with dysuria and hematuria. A bladder tumor invading the anterior and right lateral bladder walls was discovered, without any secondary localizations. Tumor biopsy showed an LCNC with adenocarcinomatous components. The patient was treated by recurrent tumor resections, chemotherapy, and radiotherapy. No improvement was noted despite close follow-up and adequate treatment. Neuroendocrine bladder tumor is known to have an aggressive, rapid, and disadvantageous evolution. Multiple case reports were published so far, and a recent review was conducted in March 2020 by Sanguedolce et al. (2020). More cases are needed to establish the best management plan for this type of tumor.

摘要

大细胞神经内分泌癌(LCNC)是最罕见的膀胱癌类型之一,发病率低于1%。无论为单纯型还是与其他成分混合型,它始终是最具侵袭性的膀胱癌类型之一。我们报告一例伴有腺癌成分的膀胱LCNC病例。患者为一名64岁男性吸烟者,首次因排尿困难和血尿就诊。发现一个侵犯膀胱前壁和右侧壁的膀胱肿瘤,无任何继发性定位。肿瘤活检显示为伴有腺癌成分的LCNC。患者接受了复发性肿瘤切除术、化疗和放疗。尽管进行了密切随访和充分治疗,但未见改善。已知神经内分泌膀胱肿瘤具有侵袭性、快速且不利的病程。迄今为止已发表了多篇病例报告,Sanguedolce等人于2020年3月进行了一项最新综述。需要更多病例来制定针对此类肿瘤的最佳管理方案。

https://cdn.ncbi.nlm.nih.gov/pmc/blobs/1422/7557901/f546be082d19/CRIU2020-8827646.007.jpg
https://cdn.ncbi.nlm.nih.gov/pmc/blobs/1422/7557901/ac46ef73b0f7/CRIU2020-8827646.001.jpg
https://cdn.ncbi.nlm.nih.gov/pmc/blobs/1422/7557901/fe2d2cd60067/CRIU2020-8827646.002.jpg
https://cdn.ncbi.nlm.nih.gov/pmc/blobs/1422/7557901/59dc87fcd980/CRIU2020-8827646.003.jpg
https://cdn.ncbi.nlm.nih.gov/pmc/blobs/1422/7557901/8a89b1399f0d/CRIU2020-8827646.004.jpg
https://cdn.ncbi.nlm.nih.gov/pmc/blobs/1422/7557901/e4cf21f27c77/CRIU2020-8827646.005.jpg
https://cdn.ncbi.nlm.nih.gov/pmc/blobs/1422/7557901/cde2e96612d4/CRIU2020-8827646.006.jpg
https://cdn.ncbi.nlm.nih.gov/pmc/blobs/1422/7557901/f546be082d19/CRIU2020-8827646.007.jpg
https://cdn.ncbi.nlm.nih.gov/pmc/blobs/1422/7557901/ac46ef73b0f7/CRIU2020-8827646.001.jpg
https://cdn.ncbi.nlm.nih.gov/pmc/blobs/1422/7557901/fe2d2cd60067/CRIU2020-8827646.002.jpg
https://cdn.ncbi.nlm.nih.gov/pmc/blobs/1422/7557901/59dc87fcd980/CRIU2020-8827646.003.jpg
https://cdn.ncbi.nlm.nih.gov/pmc/blobs/1422/7557901/8a89b1399f0d/CRIU2020-8827646.004.jpg
https://cdn.ncbi.nlm.nih.gov/pmc/blobs/1422/7557901/e4cf21f27c77/CRIU2020-8827646.005.jpg
https://cdn.ncbi.nlm.nih.gov/pmc/blobs/1422/7557901/cde2e96612d4/CRIU2020-8827646.006.jpg
https://cdn.ncbi.nlm.nih.gov/pmc/blobs/1422/7557901/f546be082d19/CRIU2020-8827646.007.jpg

相似文献

1
Large Cell Neuroendocrine Carcinoma of the Bladder with Adenocarcinomatous Component.膀胱大细胞神经内分泌癌伴腺癌成分
Case Rep Urol. 2020 Oct 5;2020:8827646. doi: 10.1155/2020/8827646. eCollection 2020.
2
Unusual Association of Large Cell Neuroendocrine Carcinoma of the Bladder and Prostatic Adenocarcinoma Within a 76-Year-Old Man.一名76岁男性膀胱大细胞神经内分泌癌与前列腺腺癌的罕见关联。
Cureus. 2024 Aug 24;16(8):e67651. doi: 10.7759/cureus.67651. eCollection 2024 Aug.
3
"Pure" primary large cell neuroendocrine carcinoma of the urinary bladder: case report, literature review and diagnostic criteria.“纯”原发性膀胱大细胞神经内分泌癌:病例报告、文献综述及诊断标准
Pathologica. 2014 Jun;106(2):82-5.
4
Mixed Adenocarcinomatous and Neuroendocrine Tumor of the Urinary Bladder With Concomitant Carcinoma In Situ: A Case Report With a Comprehensive Immunohistochemical Analysis and Review of the Literature.膀胱混合性腺癌和神经内分泌肿瘤伴原位癌:一例报告及综合免疫组化分析与文献复习
Int J Surg Pathol. 2019 Sep;27(6):684-692. doi: 10.1177/1066896919839781. Epub 2019 Apr 8.
5
Primary, pure, large-cell neuroendocrine carcinoma of the urinary bladder.原发性、纯大细胞神经内分泌膀胱癌
Mod Pathol. 1998 Oct;11(10):1016-20.
6
Large-cell neuroendocrine carcinoma of the bladder: A case report.膀胱大细胞神经内分泌癌:一例报告。
World J Clin Oncol. 2024 Sep 24;15(9):1239-1244. doi: 10.5306/wjco.v15.i9.1239.
7
Molecular markers help characterize neuroendocrine lung tumors.分子标志物有助于对神经内分泌性肺肿瘤进行特征描述。
Ann Thorac Surg. 1996 Sep;62(3):798-809; discussion 809-10. doi: 10.1016/s0003-4975(96)00435-3.
8
[Neuroendocrine small cell carcinoma of the bladder. Review of the literature and report of a case].[膀胱神经内分泌小细胞癌。文献综述及一例报告]
Arch Esp Urol. 2002 May;55(4):452-6.
9
Neuroendocrine Carcinoma of Gall Bladder: A Series of 19 Cases with Review of Literature.胆囊神经内分泌癌:19例病例系列及文献复习
J Gastrointest Cancer. 2015 Dec;46(4):356-64. doi: 10.1007/s12029-015-9745-9.
10
Neuroendocrine carcinomas of the larynx. A study of two types, one of which mimics thyroid medullary carcinoma.喉神经内分泌癌。两种类型的研究,其中一种酷似甲状腺髓样癌。
Am J Surg Pathol. 1985 Nov;9(11):771-90.

引用本文的文献

1
A case report of primary large cell neuroendocrine carcinoma of the urinary bladder.一例原发性膀胱大细胞神经内分泌癌的病例报告。
Urol Case Rep. 2025 Jul 16;62:103126. doi: 10.1016/j.eucr.2025.103126. eCollection 2025 Sep.
2
Large-cell neuroendocrine carcinoma of the bladder: A case report.膀胱大细胞神经内分泌癌:一例报告。
World J Clin Oncol. 2024 Sep 24;15(9):1239-1244. doi: 10.5306/wjco.v15.i9.1239.
3
Unusual Association of Large Cell Neuroendocrine Carcinoma of the Bladder and Prostatic Adenocarcinoma Within a 76-Year-Old Man.

本文引用的文献

1
Urinary Tract Large Cell Neuroendocrine Carcinoma: Diagnostic, Prognostic and Therapeutic Issues.尿路大细胞神经内分泌癌:诊断、预后和治疗问题。
Anticancer Res. 2020 May;40(5):2439-2447. doi: 10.21873/anticanres.14213.
2
Pure large cell neuroendocrine carcinoma of the bladder without urological symptoms.无泌尿系统症状的膀胱纯大细胞神经内分泌癌。
Pan Afr Med J. 2018 Jun 14;30:134. doi: 10.11604/pamj.2018.30.134.13437. eCollection 2018.
3
Estimating the global cancer incidence and mortality in 2018: GLOBOCAN sources and methods.
一名76岁男性膀胱大细胞神经内分泌癌与前列腺腺癌的罕见关联。
Cureus. 2024 Aug 24;16(8):e67651. doi: 10.7759/cureus.67651. eCollection 2024 Aug.
4
Primary large cell neuroendocrine carcinoma of the bladder: A case report.膀胱原发性大细胞神经内分泌癌:一例报告。
World J Clin Cases. 2024 Jul 26;12(21):4783-4788. doi: 10.12998/wjcc.v12.i21.4783.
5
Primary pure large cell neuroendocrine carcinoma of the urinary bladder: a case report and literature review.原发性膀胱纯大细胞神经内分泌癌:一例报告及文献复习
Front Oncol. 2024 Mar 11;14:1337997. doi: 10.3389/fonc.2024.1337997. eCollection 2024.
6
A Case of Bladder Large Cell Carcinoma with Review of the Literature.一例膀胱大细胞癌并文献复习
Case Rep Oncol. 2022 Mar 29;15(1):326-337. doi: 10.1159/000521607. eCollection 2022 Jan-Apr.
估算 2018 年全球癌症发病率和死亡率:GLOBOCAN 来源和方法。
Int J Cancer. 2019 Apr 15;144(8):1941-1953. doi: 10.1002/ijc.31937. Epub 2018 Dec 6.
4
Clinicopathological characteristics and survival outcomes of bladder neuroendocrine carcinomas: a population-based study.膀胱神经内分泌癌的临床病理特征及生存结局:一项基于人群的研究
Cancer Manag Res. 2018 Oct 11;10:4479-4489. doi: 10.2147/CMAR.S175286. eCollection 2018.
5
A case of large cell neuroendocrine carcinoma of the bladder with prolonged spontaneous remission.一例膀胱大细胞神经内分泌癌长期自发缓解的病例。
J Surg Case Rep. 2017 May 11;2017(5):rjw179. doi: 10.1093/jscr/rjw179. eCollection 2017 May.
6
Small-cell carcinoma of the urinary bladder: where do we stand?膀胱小细胞癌:我们目前的情况如何?
Clujul Med. 2017;90(1):13-17. doi: 10.15386/cjmed-673. Epub 2017 Jan 15.
7
Rare Occurrence of a Poorly Differentiated Neuroendocrine Tumor of the Bladder.膀胱低分化神经内分泌肿瘤的罕见病例
Case Rep Med. 2017;2017:4812453. doi: 10.1155/2017/4812453. Epub 2017 Jan 2.
8
The 2016 WHO Classification of Tumours of the Urinary System and Male Genital Organs-Part B: Prostate and Bladder Tumours.《2016 年世界卫生组织泌尿系统及男性生殖器官肿瘤分类-第 B 部分:前列腺和膀胱肿瘤》。
Eur Urol. 2016 Jul;70(1):106-119. doi: 10.1016/j.eururo.2016.02.028. Epub 2016 Mar 17.
9
Cancer incidence and mortality worldwide: sources, methods and major patterns in GLOBOCAN 2012.全球癌症发病与死亡:GLOBOCAN 2012 数据源、方法与主要模式。
Int J Cancer. 2015 Mar 1;136(5):E359-86. doi: 10.1002/ijc.29210. Epub 2014 Oct 9.
10
Large cell neuroendocrine carcinoma of the urinary bladder: case report and review.膀胱大细胞神经内分泌癌:病例报告及文献复习
Curr Urol. 2013 Feb;7(3):155-9. doi: 10.1159/000356270. Epub 2014 Feb 10.