• 文献检索
  • 文档翻译
  • 深度研究
  • 学术资讯
  • Suppr Zotero 插件Zotero 插件
  • 邀请有礼
  • 套餐&价格
  • 历史记录
应用&插件
Suppr Zotero 插件Zotero 插件浏览器插件Mac 客户端Windows 客户端微信小程序
定价
高级版会员购买积分包购买API积分包
服务
文献检索文档翻译深度研究API 文档MCP 服务
关于我们
关于 Suppr公司介绍联系我们用户协议隐私条款
关注我们

Suppr 超能文献

核心技术专利:CN118964589B侵权必究
粤ICP备2023148730 号-1Suppr @ 2026

文献检索

告别复杂PubMed语法,用中文像聊天一样搜索,搜遍4000万医学文献。AI智能推荐,让科研检索更轻松。

立即免费搜索

文件翻译

保留排版,准确专业,支持PDF/Word/PPT等文件格式,支持 12+语言互译。

免费翻译文档

深度研究

AI帮你快速写综述,25分钟生成高质量综述,智能提取关键信息,辅助科研写作。

立即免费体验

甲状旁腺腺瘤合并肋骨肿瘤作为原发性疾病:一例报告。

Parathyroid adenoma combined with a rib tumor as the primary disease: A case report.

作者信息

Han Lu, Zhu Xiao-Feng

机构信息

College of Medicine, Jiamusi University, Jiamusi 154000, Heilongjiang Province, China.

Department of Thoracic Surgery, The First Affiliated Hospital of Jiamusi University, Jiamusi 154000, Heilongjiang Province, China.

出版信息

World J Clin Cases. 2020 Oct 6;8(19):4681-4687. doi: 10.12998/wjcc.v8.i19.4681.

DOI:10.12998/wjcc.v8.i19.4681
PMID:33083434
原文链接:https://pmc.ncbi.nlm.nih.gov/articles/PMC7559667/
Abstract

BACKGROUND

Parathyroid adenoma is a benign parathyroid tumor, with serum parathyroid hormone and calcium ion concentrations as the typical basis for diagnosis. Its clinical manifestations are complex and changeable; thus it is easily missed or misdiagnosed. Approximately 85% of patients with parathyroid adenoma develop primary hyperparathyroidism, and abnormalities in bones, kidneys and other organs can occur. Brown tumors are rare.

CASE SUMMARY

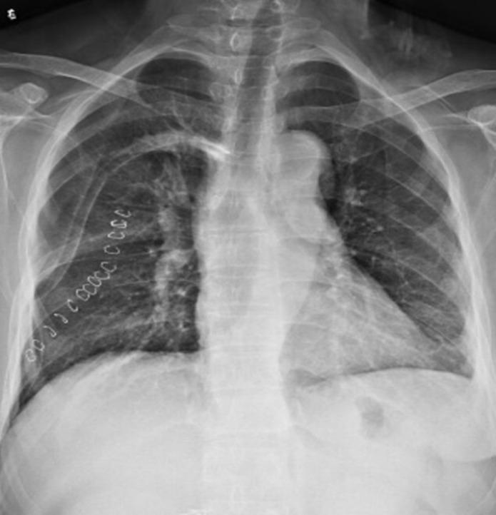
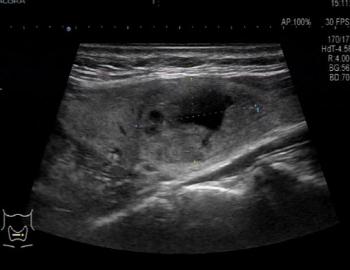
We report a rare case of fibrocystic osteitis associated with a parathyroid adenoma, which was discovered by chance due to a rib tumor. Abnormally elevated serum parathyroid hormone and calcium ion were found before surgery. We suspected primary hyperparathyroidism, and color Doppler ultrasound suggested the presence of a thyroid mass. With informed consent by the patient and her family, we first removed the rib tumor, and one week later, resection of the parathyroid adenoma and thyroid mass was performed on both sides, and the patient recovered well after surgery.

CONCLUSION

In the case of parathyroid adenoma combined with brown tumor, the bone cyst will gradually decrease in size with time without treatment. If not, surgery should be performed as soon as possible.

摘要

背景

甲状旁腺腺瘤是一种良性甲状旁腺肿瘤,以血清甲状旁腺激素和钙离子浓度作为典型诊断依据。其临床表现复杂多变,易漏诊或误诊。约85%的甲状旁腺腺瘤患者会发生原发性甲状旁腺功能亢进,可出现骨骼、肾脏等器官异常。棕色瘤较为少见。

病例摘要

我们报告1例与甲状旁腺腺瘤相关的纤维囊性骨炎罕见病例,该病例因肋骨肿瘤偶然发现。术前发现血清甲状旁腺激素和钙离子异常升高。我们怀疑为原发性甲状旁腺功能亢进,彩色多普勒超声提示甲状腺有肿物。在患者及其家属知情同意后,我们首先切除肋骨肿瘤,1周后双侧切除甲状旁腺腺瘤及甲状腺肿物,术后患者恢复良好。

结论

对于甲状旁腺腺瘤合并棕色瘤的病例,骨囊肿未经治疗会随时间逐渐缩小,否则应尽早手术。

https://cdn.ncbi.nlm.nih.gov/pmc/blobs/14dc/7559667/ceb0e92c6b41/WJCC-8-4681-g005.jpg
https://cdn.ncbi.nlm.nih.gov/pmc/blobs/14dc/7559667/6414cb30ac1f/WJCC-8-4681-g001.jpg
https://cdn.ncbi.nlm.nih.gov/pmc/blobs/14dc/7559667/5e2aca78ea7b/WJCC-8-4681-g002.jpg
https://cdn.ncbi.nlm.nih.gov/pmc/blobs/14dc/7559667/820fb7b101b0/WJCC-8-4681-g003.jpg
https://cdn.ncbi.nlm.nih.gov/pmc/blobs/14dc/7559667/08be0998ac7c/WJCC-8-4681-g004.jpg
https://cdn.ncbi.nlm.nih.gov/pmc/blobs/14dc/7559667/ceb0e92c6b41/WJCC-8-4681-g005.jpg
https://cdn.ncbi.nlm.nih.gov/pmc/blobs/14dc/7559667/6414cb30ac1f/WJCC-8-4681-g001.jpg
https://cdn.ncbi.nlm.nih.gov/pmc/blobs/14dc/7559667/5e2aca78ea7b/WJCC-8-4681-g002.jpg
https://cdn.ncbi.nlm.nih.gov/pmc/blobs/14dc/7559667/820fb7b101b0/WJCC-8-4681-g003.jpg
https://cdn.ncbi.nlm.nih.gov/pmc/blobs/14dc/7559667/08be0998ac7c/WJCC-8-4681-g004.jpg
https://cdn.ncbi.nlm.nih.gov/pmc/blobs/14dc/7559667/ceb0e92c6b41/WJCC-8-4681-g005.jpg

相似文献

1
Parathyroid adenoma combined with a rib tumor as the primary disease: A case report.甲状旁腺腺瘤合并肋骨肿瘤作为原发性疾病:一例报告。
World J Clin Cases. 2020 Oct 6;8(19):4681-4687. doi: 10.12998/wjcc.v8.i19.4681.
2
Huge brown tumor of the rib in an unlocatable hyperparathyroidism patient with "self-recovered" serum calcium and parathyroid hormone: A case report.血清钙和甲状旁腺激素“自行恢复”的难以定位的甲状旁腺功能亢进患者的肋骨巨大棕色瘤:一例报告
World J Clin Cases. 2019 Dec 26;7(24):4321-4326. doi: 10.12998/wjcc.v7.i24.4321.
3
Extensive brown tumors caused by parathyroid adenoma in an adolescent patient.一名青少年患者因甲状旁腺腺瘤引发广泛棕色瘤。
Eur J Pediatr. 2008 Jan;167(1):117-9. doi: 10.1007/s00431-007-0414-2. Epub 2007 Feb 2.
4
Osteolytic lesions (brown tumors) of primary hyperparathyroidism misdiagnosed as multifocal giant cell tumor of the distal ulna and radius: a case report.原发性甲状旁腺功能亢进症的溶骨性病变(棕色瘤)被误诊为尺骨和桡骨远端多灶性巨细胞瘤:一例报告
J Med Case Rep. 2018 Jun 25;12(1):176. doi: 10.1186/s13256-018-1723-y.
5
Misdiagnosis of brown tumour caused by primary hyperparathyroidism: a case report with literature review.原发性甲状旁腺功能亢进棕色瘤误诊:病例报告并文献复习。
BMC Endocr Disord. 2022 Mar 14;22(1):66. doi: 10.1186/s12902-022-00971-2.
6
Presentation of 6 cases with parathyroid cysts and discussion of the literature.6例甲状旁腺囊肿的病例报告及文献讨论
Exp Clin Endocrinol Diabetes. 2008 Aug;116(8):501-6. doi: 10.1055/s-2008-1058084. Epub 2008 Apr 1.
7
Resection of a large ectopic parathyroid adenoma: A case report.巨大异位甲状旁腺腺瘤切除术:一例报告
Int J Surg Case Rep. 2016;23:8-11. doi: 10.1016/j.ijscr.2016.04.007. Epub 2016 Apr 7.
8
Parathyroid carcinoma in a 13-year-old girl with a long-term survival.一名长期存活的13岁女孩的甲状旁腺癌。
Surg Case Rep. 2020 Jun 22;6(1):145. doi: 10.1186/s40792-020-00914-w.
9
Maxillary brown tumor as initial presentation of parathyroid adenoma: a case report.以甲状旁腺腺瘤为首发表现的上颌骨棕色瘤:1 例报告。
Kaohsiung J Med Sci. 2012 Jul;28(7):400-3. doi: 10.1016/j.kjms.2012.02.008. Epub 2012 Apr 19.
10
Primary hyperparathyroidism mimicking vaso-occlusive crises in sickle cell disease.镰状细胞病中模仿血管闭塞危象的原发性甲状旁腺功能亢进症。
Pediatrics. 2006 Aug;118(2):e537-9. doi: 10.1542/peds.2006-0337.

引用本文的文献

1
[The case of late diagnosis of giant parathyroid adenoma in combination with fibrocystic osteitis and brown tumor of the upper jaw: a case report].[巨大甲状旁腺腺瘤合并纤维囊性骨炎及上颌骨棕色瘤的迟发性诊断病例报告]
Probl Endokrinol (Mosk). 2021 Mar 14;67(2):49-56. doi: 10.14341/probl12713.

本文引用的文献

1
Weight gain after curative parathyroidectomy predicts increase in bone mineral density in patients with symptomatic primary hyperparathyroidism.治愈性甲状旁腺切除术后体重增加可预测有症状原发性甲状旁腺功能亢进症患者的骨密度增加。
Clin Endocrinol (Oxf). 2020 Jul;93(1):28-35. doi: 10.1111/cen.14195. Epub 2020 May 8.
2
Effects of PTH and PTH Hypersecretion on Bone: a Clinical Perspective.甲状旁腺激素及其分泌亢进对骨骼的影响:临床视角。
Curr Osteoporos Rep. 2020 Jun;18(3):103-114. doi: 10.1007/s11914-020-00574-7.
3
Symptomatic Hypercalcemia in Patients with Primary Hyperparathyroidism Is Associated with Severity of Disease, Polypharmacy, and Comorbidity.
原发性甲状旁腺功能亢进患者的症状性高钙血症与疾病严重程度、多种药物治疗及合并症相关。
Int J Endocrinol. 2019 Dec 30;2019:7617254. doi: 10.1155/2019/7617254. eCollection 2019.
4
Huge brown tumor of the rib in an unlocatable hyperparathyroidism patient with "self-recovered" serum calcium and parathyroid hormone: A case report.血清钙和甲状旁腺激素“自行恢复”的难以定位的甲状旁腺功能亢进患者的肋骨巨大棕色瘤:一例报告
World J Clin Cases. 2019 Dec 26;7(24):4321-4326. doi: 10.12998/wjcc.v7.i24.4321.
5
Classical complications of primary hyperparathyroidism.原发性甲状旁腺功能亢进的经典并发症。
Best Pract Res Clin Endocrinol Metab. 2018 Dec;32(6):791-803. doi: 10.1016/j.beem.2018.09.001. Epub 2018 Sep 12.
6
Primary hyperparathyroidism.原发性甲状旁腺功能亢进症。
Best Pract Res Clin Endocrinol Metab. 2018 Oct;32(5):593-607. doi: 10.1016/j.beem.2018.09.004. Epub 2018 Sep 22.
7
Osteitis fibrosa cystica of mandible in hyperparathyroidism-jaw tumor syndrome: A rare presentation and review of literature.甲状旁腺功能亢进-颌骨肿瘤综合征中下颌骨的纤维囊性骨炎:一种罕见表现及文献综述
Natl J Maxillofac Surg. 2017 Jul-Dec;8(2):162-166. doi: 10.4103/njms.NJMS_48_17.
8
Osteitis fibrosa cystica-a forgotten radiological feature of primary hyperparathyroidism.囊性纤维性骨炎——原发性甲状旁腺功能亢进症被遗忘的放射学特征。
Endocrine. 2017 Nov;58(2):380-385. doi: 10.1007/s12020-017-1414-2. Epub 2017 Sep 12.
9
Impaired calcium sensing distinguishes primary hyperparathyroidism (PHPT) patients with low bone mineral density.钙感知受损可区分出骨矿物质密度低的原发性甲状旁腺功能亢进症(PHPT)患者。
Metabolism. 2017 Sep;74:22-31. doi: 10.1016/j.metabol.2017.06.004. Epub 2017 Jun 19.
10
Brown tumor of the spine in patients with primary hyperparathyroidism.原发性甲状旁腺功能亢进患者的脊柱棕色瘤
Spine (Phila Pa 1976). 2014 Aug 15;39(18):E1073-9. doi: 10.1097/BRS.0000000000000455.