Department of Molecular Pharmacology and Experimental Therapeutics, Mayo Clinic, Rochester, MN, 55905, USA.
Department of Oncology, Mayo Clinic, Rochester, MN, 55905, USA.
Nat Commun. 2020 Oct 23;11(1):5362. doi: 10.1038/s41467-020-19202-0.
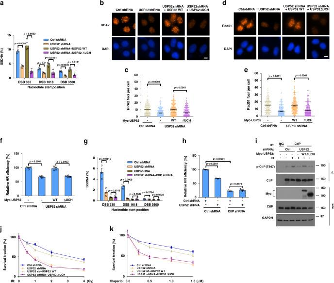
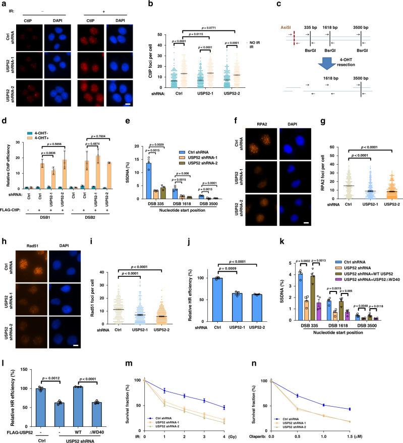
Human C-terminal binding protein (CtBP)-interacting protein (CtIP) is a central regulator to initiate DNA end resection and homologous recombination (HR). Several studies have shown that post-translational modifications control the activity or expression of CtIP. However, it remains unclear whether and how cells restrain CtIP activity in unstressed cells and activate CtIP when needed. Here, we identify that USP52 directly interacts with and deubiquitinates CtIP, thereby promoting DNA end resection and HR. Mechanistically, USP52 removes the ubiquitination of CtIP to facilitate the phosphorylation and activation of CtIP at Thr-847. In addition, USP52 is phosphorylated by ATM at Ser-1003 after DNA damage, which enhances the catalytic activity of USP52. Furthermore, depletion of USP52 sensitizes cells to PARP inhibition in a CtIP-dependent manner in vitro and in vivo. Collectively, our findings reveal the key role of USP52 and the regulatory complexity of CtIP deubiquitination in DNA repair.
人 C 端结合蛋白(CtBP)相互作用蛋白(CtIP)是起始 DNA 末端切除和同源重组(HR)的核心调节因子。几项研究表明,翻译后修饰控制 CtIP 的活性或表达。然而,目前尚不清楚细胞是否以及如何在未受应激的细胞中抑制 CtIP 的活性,并在需要时激活 CtIP。在这里,我们发现 USP52 直接与 CtIP 相互作用并使其去泛素化,从而促进 DNA 末端切除和 HR。在机制上,USP52 去除 CtIP 的泛素化,从而促进 CtIP 在 Thr-847 处的磷酸化和激活。此外,USP52 在 DNA 损伤后被 ATM 在 Ser-1003 磷酸化,从而增强 USP52 的催化活性。此外,USP52 的耗竭以 CtIP 依赖的方式在体外和体内使细胞对 PARP 抑制敏感。总之,我们的研究结果揭示了 USP52 的关键作用和 CtIP 去泛素化在 DNA 修复中的调控复杂性。